查看更多
密码过期或已经不安全,请修改密码
修改密码
壹生身份认证协议书
同意
拒绝
同意
拒绝
同意
不同意并跳过
男女之间情到浓时,
常常会以亲吻来表达满腔爱意,
脖子也成为“种草莓”的佳地,
俗称:爱的么么哒~~

然而“吻痕”形成的机械性紫斑,可能会导致颈内动脉内膜损伤,导致血栓形成,借此我们看看脑梗死那些典型分布区。
先看病例


看到这个病例你能想到什么?诊断新手估计仅仅考虑脑梗死,而有经验的诊断医生则会想到深层次的病因——脑静脉性梗死。

上图为Labbe静脉引流区梗死。平扫(红箭头)可见横窦内高密度血栓以及梗死区内的出血;增强(蓝箭头)可见横窦内的充盈缺损
诊断脑静脉性梗死难不难?掌握其典型的分布区即可正确诊断,如下图:

记住这些典型分布区,对诊断脑静脉性梗死帮助很大。因为影像科医生或临床医生不熟悉本病的分布区,便会将其当作位于非典型部位或非动脉供血区的梗死。
简述
脑静脉性血栓不典型,易漏诊。常见症状包括:头痛90%,癫痫40%,不能解释的意识障碍,意识丧失,视乳头水肿等。
静脉性血栓引起高静脉压从而导致受累区域白质出现血管源性水肿;当这个进程进一步持续下去时,将会导致梗死和细胞毒性水肿的出现;不像动脉性梗死仅有细胞毒性水肿,而没有血管源性水肿。由于高静脉压,出血在静脉性梗死中更为常见。
脑静脉血栓依次见于:
大的静脉窦:上矢状窦,横窦,直窦和乙状窦;
皮质静脉:Labbe静脉,颞叶引流静脉,Trolard静脉,最大的皮质静脉引流至上矢状窦;
深静脉:大脑内和丘脑纹状体静脉;
海绵窦

由于许多静脉位于中线,静脉梗死常常是双侧的。下面为大家介绍三种常见静脉性血栓。
1、上矢状窦血栓
上矢状窦作为静脉性血栓最常发生的血管,一旦栓塞出现梗死的概率可达75%。影像改变多见于旁矢状面,而且多为双侧性。60%的病例出现出血。

旁矢状面的水肿以及亚急性出血

矢状位重建像可见上矢状窦血栓导致的双侧旁矢状面出血。增强(红箭头)可见血栓所致的充盈缺损
2、Labbe静脉血栓
labbe静脉血栓也可表现为一种典型的静脉梗死。如下图所示。

左侧颞叶白质以及相对更少的灰质区的低密度影,梗死区的线样稍高密度影为出血。左侧横窦内细微的高密度影(红箭头)是诊断的关键
另一例

这种改变[血管源性水肿(红箭头)、细胞毒性水肿和出血(蓝箭头)]以及发病部位(颞叶)应该要想到Labbe静脉血栓形成所致的静脉性梗死,下一步需CT或MRI增强证实。
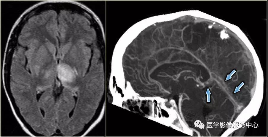
3、大脑深静脉血栓

Flair序列显示左侧丘脑及右侧基底节区高信号影,双侧异常需要考虑大脑深静脉血栓的可能性,CT增强矢状位显示直窦和大脑大静脉的充盈缺损(蓝箭头)
总结
看完本篇内容,大家会有什么思考?诊断新手与老手的区别是——看到一种影像表现,新手的思维仅会停留在表象,而老手则会去思考内因。这也就是经验的重要性。
来源:医学影像服务中心
查看更多