壹生大学

壹生身份认证协议书

本项目是由壹生提供的专业性学术分享,仅面向医疗卫生专业人士。我们将收集您是否是医疗卫生专业人士的信息,仅用于资格认证,不会用于其他用途。壹生作为平台及平台数据的运营者和负责方,负责平台和本专区及用户相关信息搜集和使用的合规和保护。
本协议书仅为了向您说明个人相关信息处理目的,向您单独征求的同意,您已签署的壹生平台《壹生用户服务协议》和《壹生隐私政策》,详见链接:
壹生用户服务协议:
https://apps.medtrib.cn/html/serviceAgreement.html
壹生隐私政策:
https://apps.medtrib.cn/html/p.html
如果您是医疗卫生专业人士,且点击了“同意”,表明您作为壹生的注册用户已授权壹生平台收集您是否是医疗卫生专业人士的信息,可以使用本项服务。
如果您不是医疗卫生专业人士或不同意本说明,请勿点击“同意”,因为本项服务仅面向医疗卫生人士,以及专业性、合规性要求等因素,您将无法使用本项服务。

同意

拒绝

同意

拒绝

知情同意书

同意

不同意并跳过

工作人员正在审核中,
请您耐心等待
审核未通过
重新提交
完善信息
{{ item.question }}
确定
收集问题
{{ item.question }}
确定
您已通过HCP身份认证和信息审核
(
5
s)

因地制宜,精研创新,影像破局——血吸虫病CT筛查在桑给巴尔奔巴岛的攻坚之路丨中国援外医疗步入新时代

2026-02-26作者:论坛报晶资讯
原创

235-1.png

中国援外医疗步入新时代

为弘扬“不畏艰苦、甘于奉献、救死扶伤、大爱无疆”的中国医疗队精神,奋力开创援外医疗工作新局面,为推动构建人类卫生健康共同体作出更大贡献。在国家卫生健康委国际交流与合作中心的指导下,中国医学论坛报开辟“中国援外医疗步入新时代”主题宣传专栏,展现中国援外医疗队在受援国因地制宜开展临床和科研工作,使更多的医疗卫生专业人员了解中国援外医疗队“一流医生”在外开展的专业性工作,鼓舞医疗队员士气,增强中国援外医疗队员的使命感、归属感与荣誉感,激励更多优秀卫生健康工作者加入援外医疗事业。


血吸虫病是桑给巴尔奔巴岛的地方性高发疾病,其中泌尿系血吸虫病因其病程隐匿、晚期损害严重,持续威胁当地居民健康。受限于当地常用的传统筛查手段精准度不足,大量患者未能及时确诊,延误了治疗时机。第35批援桑给巴尔中国医疗队(以下简称医疗队)队员、连云港市第二人民医院副主任医师耿磊抵达奔巴岛后,依托自身影像专业优势,将“优化泌尿系血吸虫病CT筛查方案、提升诊断精准度”确立为核心任务,通过实施联合本土机构构建筛查网络、改良CT检查流程、细化扫描参数等一系列措施,在阿卜杜拉姆才医院(奔巴岛上规模最大、硬件设备最好的医院)逐步建立起一套科学、高效的影像筛查体系,以技术创新助力奔巴岛血吸虫病防控工作。


01
筛查困境:资源有限与诊断不足


奔巴岛泌尿系血吸虫病主要通过接触疫水传播,传统筛查依赖于尿液虫卵检测,但该方法存在明显局限,一方面,虫卵排出具有间歇性,易出现假阴性;另一方面,即使检测阳性,也无法精准评估泌尿系统(肾脏、输尿管、膀胱)的器质性损害程度,难以指导临床精准治疗。


而当地CT检查资源同样紧张——阿卜杜拉姆才医院仅配备1台CT设备,且扫描参数为通用设置,未针对泌尿系血吸虫病的影像特征进行优化。此外,医护人员对该病的CT诊断经验不足,检查流程缺乏标准化,导致既往CT筛查阳性率偏低,未能充分发挥影像诊断的优势。如何突破“筛得准、能评估”的瓶颈,是医疗队需要考虑的问题。


02
筛查体系构建:建立“尿液初筛+CT精查”联动机制


为提升筛查效率,首先需要建立精准的病例输入途径。耿磊主动对接奔巴岛血防所,构建“尿液初筛+CT精查”的协同机制,并明确以下流程。①血防所负责辖区内高危人群(如经常接触疫水的渔民、农民)的尿液采集与检测,对虫卵阳性患者进行登记造册,并开具CT检查转诊单;②血防所安排专人定期将转诊患者送至阿卜杜拉姆才医院CT室,避免患者因交通不便或认知不足延误检查;③医院CT室提前对接血防所,根据转诊名单预留检查时段,缩短患者等待时间,确保筛查流程闭环。


这种联动模式既发挥了血防所的基层动员优势,又让CT检查精准聚焦高危人群,避免了盲目筛查,提高了资源利用率。通过这一流程,首批纳入筛查的尿液阳性患者均顺利完成CT检查,为后续精准诊断奠定了基础。


03
精准优化:CT检查流程与技术参数改良


针对当地CT设备条件和疾病特征,耿磊从流程、方法、参数三方面进行系统性改良,形成“奔巴岛泌尿系血吸虫病CT筛查优化方案”。


患者到院后,由CT室护士先核对血防所转诊单及尿液阳性报告,简要询问患者症状(如血尿、尿频、腰痛)及疫水接触史,录入电子台账;检查前40分钟,指导患者口服500~800 ml温水(当地无静脉造影剂肠道准备药物,采用饮水充盈膀胱,既经济又安全),确保膀胱处于中度充盈状态,便于观察膀胱壁病变。


检查时,先进行全泌尿系CT平扫,覆盖范围从肾上极至膀胱下缘,避免遗漏输尿管中段病变;平扫完成后,行增强扫描——经肘静脉注射非离子型对比剂(根据患者体重调整剂量,成人为50~70 ml,儿童按1.5 ml/kg计算),注射速率2.5~3.0 ml/s,分别于注射后30s(动脉期)、90s(静脉期)、3min(延迟期)进行扫描,重点观察肾脏灌注、输尿管通畅度及膀胱壁强化情况(关键技术改良要点见表1)。


表1 关键技术改良要点

image.png


检查结束后,结合尿液检测结果出具影像分析报告,明确是否存在泌尿系血吸虫病及病变部位、程度(如膀胱壁增厚、输尿管狭窄、肾积水等),并同步反馈给血防所及临床医生,指导后续治疗。


结合病例,耿磊也总结了当地患者泌尿系血吸虫病CT典型征象——①膀胱壁弥漫性增厚(厚度>5 mm),黏膜面凹凸不平,增强后强化明显;②输尿管中下段管壁增厚、管腔狭窄,近端输尿管及肾盂积水;③肾脏体积增大,皮质变薄,增强后强化不均;④慢性期患者膀胱内或输尿管壁可见钙化灶(国内报道的病例多以局灶性病变或早期改变为主)。通过明确这些征象,大幅提升了诊断的准确性。


04
实施成效:筛查阳性率显著提升


经过流程优化与技术改良,阿卜杜拉姆才医院泌尿系血吸虫病CT筛查工作成效显著。数据显示,优化前尿液阳性患者的CT筛查阳性率仅为65%,优化后提升至92%——不仅精准确诊了大量既往漏诊病例,“饮水充盈法”联合延迟增强扫描的应用,还使输尿管狭窄及肾积水检出率从50%显著提升至85%,为临床制定手术或药物治疗方案提供了关键依据(成效对比见表2)。


表2 阿卜杜拉姆才医院泌尿系血吸虫病CT筛查流程优化前后成效对比表

image.png


注 筛查阳性定义:CT影像符合泌尿系血吸虫病典型征象(膀胱壁增厚、输尿管狭窄、肾盂积水等),且结合临床症状及实验室检查确诊;

变化幅度计算方式:(优化后数值-优化前数值)/优化前数值×100%(阳性率以“百分点”直接对比);

数据来源:阿卜杜拉姆才医院CT筛查项目临床统计数据(2025年1-11月)。


优化前漏诊典型病例分享


基础信息:患者男,42岁,尿血吸虫虫卵阳性,血清抗体1∶128,尿常规微量红细胞,无明显症状;采用通用泌尿系CT平扫(肾脏至耻骨联合,120kV/150mA,无延迟期,膀胱未充盈)。


影像表现与漏诊原因:双肾大小形态正常、密度均匀,平扫难辨早期间质炎症及肾功能异常;双侧输尿管无扩张增厚,5 mm层厚遗漏黏膜细微病变;膀胱半充盈、黏膜欠光滑,未充盈掩盖早期黏膜增厚,平扫无法识别炎症(图1)。


病情进展:半年后右侧腰痛,复查CT平扫示右肾盂重度扩张、肾实质变薄,右侧输尿管下段增厚狭窄、钙化,膀胱壁钙化,系早期漏诊延误干预。


优化后确诊典型病例分享


基础信息:患者女,48岁,尿血吸虫虫卵阳性,偶左下腹隐痛,血清抗体1∶256,尿常规红细胞(+);采用定制CT方案(肾上极至膀胱下缘,100 kV/80 mA,术前40分钟服800 ml水充盈膀胱)。


影像表现与诊断价值:CT平扫示膀胱前壁增厚(图2A),左肾盂轻度扩张(1.8 cm,图2B),肾盏增宽,薄层重建及功能评估识别可逆性肾损伤。左输尿管下段管壁增厚(3 mm)、节段性狭窄(1.5 cm长,最窄1.5 mm),近端轻度扩张(图2C),延迟期清晰显示病变、减少肠道干扰。


干预与预后:吡喹酮治疗,1个月后复查示输尿管狭窄减轻、肾盂积水消失,肾功能恢复,精准诊断避免不可逆损伤。


image.png

image.png

图1

A:5 mm层厚泌尿系CT平扫冠状位示双肾大小形态正常、密度均匀,双侧输尿管无扩张增厚;

B:5 mm层厚泌尿系CT平扫轴位示膀胱半充盈、黏膜欠光滑


image.png

image.png

image.png

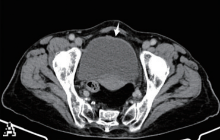
图2

A:3 mm层厚泌尿系CT平扫轴位示膀胱前壁增厚约6 mm(箭头);

B:左肾盂轻度扩张(1.8 cm)(箭头),肾盏增宽;

C:左输尿管下段管壁增厚(3 mm)(箭头)、节段性狭窄(1.5 cm长,最窄1.5 mm)


耿磊将优化后的筛查流程、技术参数及诊断标准整理成册,并对当地CT室医护人员进行系统培训,通过手把手带教与定期病例讨论,逐步提升了本土医疗团队的诊断能力。目前,已有2名CT技师熟练掌握了优化扫描流程、1名医生可独立识别典型病例,为奔巴岛泌尿系统血吸虫病筛查工作的可持续发展奠定了人才基础。


从联合血防所构建筛查网络,到因地制宜优化CT检查技术,这些实践不仅为当地提供了可复制、可推广的影像筛查方案,更以精准的CT诊断筑牢了血吸虫病防控的“影像防线”,体现了中国援外医疗“授人以渔、精准帮扶”的初心与担当。在奔巴岛的血吸虫病防控道路上,中国医疗技术正以切实的成效,守护着当地居民的健康。


版面概览


援外特刊封面_01(1).png

424a3_00.jpg


作者丨第35批援桑给巴尔中国医疗队 耿磊

整理丨中国医学论坛报社 桂晶晶


END


200 评论

查看更多