查看更多
密码过期或已经不安全,请修改密码
修改密码
壹生身份认证协议书
同意
拒绝
同意
拒绝
同意
不同意并跳过
患者28岁女性,胸闷气促伴咳嗽、盗汗5天,加重1天。
患者5天前情绪激动后出现胸闷气促,伴咳嗽、盗汗,为干咳,感畏寒,无发热,无全身肌肉酸痛,无恶心呕吐,无头痛头晕,遂至当地诊所就诊,予输液(具体药物不详)及口服阿莫西林、头孢药物治疗后,自诉无明显好转。今患者感胸闷气促加重,仍有咳嗽、盗汗,咳少许痰,痰中带血丝,无胸痛心悸,无黑矇晕厥,至我院急诊,查血常规+SCRP 白细胞 12.30×109/L↑,中性粒细胞百分数 76.9%↑,淋巴细胞百分数 15.2%↓,高敏C反应蛋白 21.34mg/L↑;心超提示心包积液,胸腔积液B超示双侧胸腔积液,请我科会诊后,拟“心包积液、胸腔积液”收住入院。
病来,患者神清,精神可,胃纳、睡眠不佳,大小便如常,近期体重增减不详。
患者过去体质良好。否认高血压,糖尿病,心脏病等疾病史,否认肝炎,结核等传染病史。预防接种史:按国家规定接种。否认食物、药物过敏史。有手术史为鼻整形术。否认外伤史。否认输血史。否认中毒史。否认长期用药史。否认可能成瘾药物史。
否认近2周内从中高危疫区或境内其他有病历报告的社区或境外疫情严重国家或地区返回,否认接触过以上地区人员,否认发热,有呼吸道症状为咳嗽、咳少许痰(带血丝)。偶有饮酒。否认吸烟。否认特殊嗜好。否认长期工业粉尘、毒物及放射性物质接触史。否认冶游史。
已婚。20岁结婚,配偶身体健康,育有1子。子女的健康状况良好。
月经史无特殊。
父亲有高血压。母亲有高血压。兄弟姐妹健康状况:1姐因高血压去世。患者否认两系三代家族性遗传病史。患者否认有遗传倾向的疾病。无类似疾病史。
T 38.1℃,P 124次/分,R 30次/分,BP 138/84mmHg。神志清,精神可,口唇无紫绀,两侧瞳孔等大等圆,对光反应灵敏,颈软,颈静脉无怒张,气管居中,胸廓无畸形,呼吸运动对称,左肺呼吸音明显减低,未闻及明显干湿性啰音,心音低远,心前区无隆起,心界无扩大,心前区未触及明显震颤,心率124次/分。腹平软,无压痛及反跳痛,肝脾肋下未触及,双下肢无浮肿,神经系统检查阴性。周围血管征检查阴性。
2021-03-13 我院血常规+SCRP 白细胞 11.51×109/L↑,中性粒细胞百分数79.1%↑,淋巴细胞百分数12.8%↓,血小板计数384×109/L↑,高敏C反应蛋白19.15mg/L↑;
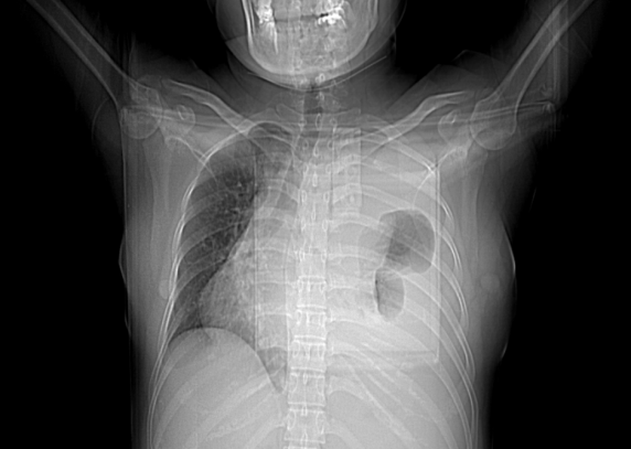
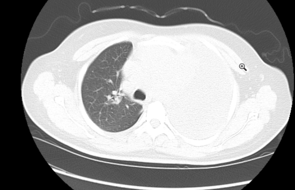
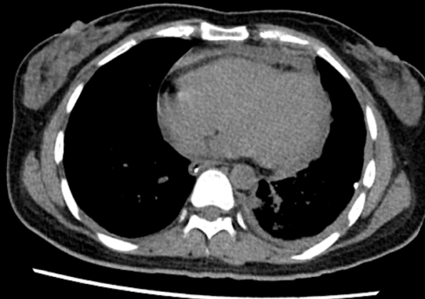
2021-03-13 我院心脏超声示心包积液。胸部超声示双侧胸腔积液。腹部超声示腹腔未见明显积液。胸部平扫(CT)提示前纵隔占位性病变,左侧心膈角区淋巴结;左侧大量胸腔积液,右侧少量胸腔积液,左肺局部膨胀不全,右肺中叶小结节,纵隔略右偏,心包大量积液。












1、多浆膜腔积液(病因待查)
2、纵隔肿物
3、肺结节
1、重症监护,告病危,监测生命体征。
2.呼吸系统方面 患者入院时胸闷气促明显,伴有氧饱和度偏低,最低SPO2 85%左右,予氧疗支持后逐渐改善,监测血气及氧合情况,指导呼吸支持方案;患者存在胸腔积液,必要时行胸腔穿刺抽液引流;患者急诊查血常规示白细胞、CRP升高,同时伴有发热情况,治疗上予哌拉西林钠他唑巴坦钠3.375克静推Q8H抗感染治疗,送检痰培养等病原学检查,监测炎症指标情况。
3.多浆膜腔积液 患者心超示大量心包积液,且存在呼吸急促及胸闷情况,评估血流动力学状态,请相关科室会诊,必要时行心包穿刺;患者多浆膜腔积液,送检结核、肿瘤、病毒等相关病原学检查。
4、其他治疗 预防深静脉血栓,营养支持治疗。详细向患者家属交代病情,告知风险。
入院后予完善相关检查,排除了结核、病毒感染的可能。
















患者有胸闷气促及氧合差的情况,予行心包穿刺及胸腔穿刺,同时送检了心包积液及胸腔积液的相关检查。








患者经过穿刺引流后氧合明显改善,鼻导管吸氧下呼吸氧合可,血流动力学基本稳定,转普通病房治疗。同时复查了肺部CT。








患者存在纵隔肿块,经过同意后予超声引导下行肿块穿刺活检。病理结果提示:恶性淋巴瘤。后期血液肿瘤科进行了专科治疗。


多浆膜腔积液是一种常见的临床现象,患者同时或相继出现胸腔积液、腹水、心包积液。最常见病因:恶性肿瘤,其次为结缔组织疾病、结核、肝硬化、心功能不全等。
其中导致多浆膜腔积液的恶性肿瘤主要有卵巢癌、肺癌、肝癌及其他消化道肿瘤。主要为年龄>40岁,无发热或稍有低热,体重明显下降,痰中带血,缓慢起病,进行性加重,消耗症状重,治疗效果差。多存在顽固性胸痛、检查提示存在多浆膜腔积液、抗炎及抗结核治疗无效等。多为渗出液,血性或洗肉水样,非化脓性积液表现。
结核性积液多发病较年轻,有全身中毒症状如乏力、午后低热、消瘦、盗汗等。PPD试验强阳性、有结核病密切接触史、抗结核治疗有效等。多为渗出液。
结缔组织疾病相关者多为病变累及胸膜和心包壁引起的炎性渗出,多为渗出液,少数为血性。细胞分类以淋巴细胞为主。主要表现为长期不规则发热,不同程度的皮肤、关节、内脏损害,病情反复,缓解与交替反复发作。检查提示免疫球蛋白增高、抗核抗体阳性。抗生素治疗无效。而糖皮质激素能够缓解。
疾病发生机制
1.毛细血管内静水压增高
2.血浆白蛋白下降,胶体渗透压降低
3.肾排钠排水减少造成水钠潴留
4.微血管通透性增高
5.淋巴回流受阻
前3条为形成漏出液机制,后两条则是渗出液机制。
临床上患者出现多浆膜腔积液首先应明确积液性质,是漏出液还是渗出液,不同性质积液的病因不同。
渗出液多为局部炎症,它的病因主要是:①结核、细菌或病毒感染,胸膜临近病变如膈下脓肿、胰腺炎等;②肿瘤;③结缔组织疾病;④肺栓塞;⑤Meigs综合征。
漏出液多为非炎症,它的病因是①各种肾病;②充血心衰,静脉栓塞;③严重营养不良,晚期肝硬化病变;④肿瘤(因恶性肿瘤由多种机制参与,其引发的积液性质难以明确,多见于渗出液)。具体治疗方案则根据具体病因选择合适的诊疗方案。
作者 杭州师范大学附属医院重症医学科 张宁
本文转载须申请授权
查看更多