壹生大学

壹生身份认证协议书

本项目是由壹生提供的专业性学术分享,仅面向医疗卫生专业人士。我们将收集您是否是医疗卫生专业人士的信息,仅用于资格认证,不会用于其他用途。壹生作为平台及平台数据的运营者和负责方,负责平台和本专区及用户相关信息搜集和使用的合规和保护。
本协议书仅为了向您说明个人相关信息处理目的,向您单独征求的同意,您已签署的壹生平台《壹生用户服务协议》和《壹生隐私政策》,详见链接:
壹生用户服务协议:
https://apps.medtrib.cn/html/serviceAgreement.html
壹生隐私政策:
https://apps.medtrib.cn/html/p.html
如果您是医疗卫生专业人士,且点击了“同意”,表明您作为壹生的注册用户已授权壹生平台收集您是否是医疗卫生专业人士的信息,可以使用本项服务。
如果您不是医疗卫生专业人士或不同意本说明,请勿点击“同意”,因为本项服务仅面向医疗卫生人士,以及专业性、合规性要求等因素,您将无法使用本项服务。

同意

拒绝

同意

拒绝

知情同意书

同意

不同意并跳过

工作人员正在审核中,
请您耐心等待
审核未通过
重新提交
完善信息
{{ item.question }}
确定
收集问题
{{ item.question }}
确定
您已通过HCP身份认证和信息审核
(
5
s)

乘呼吸之翼,安生命之泵——系统性红斑狼疮相关弥漫性肺泡出血1例

2025-12-27作者:论坛报小璐资讯
原创

作者:青海省人民医院呼吸与危重症医学科 张秀丽 妥亚军


图片

病史摘要


主诉 咳嗽、咳痰,胸闷、气短3天,加重伴发热1天。

现病史 患者于入院前3天受凉后出现咳嗽、咳痰,咳少量白色黏痰,易咳出,感胸闷、气短,活动时加重,休息时略缓解,当时无发热,无鼻塞、流涕、咽痛、全身酸痛等症状,无痰中带血及咯血,自服“肺宁颗粒、三九感冒颗粒、奥司他韦”(具体剂量不详)等治疗,1天前,上述症状未见好转,并出现发热,体温最高39.4℃,自服“对乙酰氨基酚布洛芬”等药物降温治疗,患者体温下降;于1天前上述症状加重,于当地诊所静点“青霉素”(具体剂量不详)等药物治疗,效果欠佳,为求进一步诊治来我院就诊,于2024年9月17日11:03到达我院急诊门诊,患者神志清,精神差,监测血压103/55mmHg,呼吸30次/分,血血氧饱和度和度20%,心率148次/分,体温38.6℃,立即给予无创呼吸机辅助通气,患者血血氧饱和度和度上升至90%,给予“甲泼尼龙多索茶碱”静点,并完善相关化验检查(详见辅助检查项),经我科医师会诊后以“重症肺炎”收住我科。

既往史 “慢性乙型病毒性肝炎”病史14年,未行治疗,一月前开始口服“恩替卡韦”。于14年前、10年前分别于当地医院行剖宫产。余个人史、家族史均无特殊。半年前于我院血液风湿科诊断为“系统性红斑狼疮”,目前口服“泼尼松片48mg/qd”。

体格检查 T 38.6℃  P 124次/分  R 38次/分  BP 107/73mmHg,指尖血氧饱和度63%,H158cm  Wt 52.0 kg BMI 20.8。神志清,精神差,表情痛苦,面部蝶形红斑,颜面部及口唇发绀,双肺呼吸音粗,双下肺可闻及湿啰音,未闻及胸膜摩擦音。心率124次/分,心律齐,心音有力,各瓣膜听诊区未闻及病理性杂音。腹部无压痛,无四肢水肿,余查体未见明显阳性体征。

辅助检查

图片

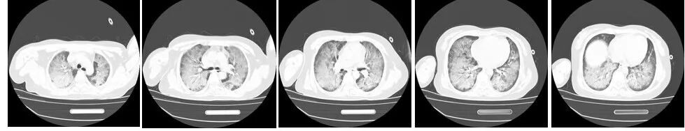
图1(2024年9月17日 D1)胸部CT示双肺弥漫性渗出性改变,伴磨玻璃影,实变影较少。


图片

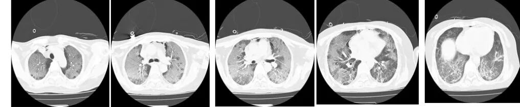
图2(2024年9月20日 D4)胸部CT双肺弥漫性渗出性改变,伴磨玻璃影较前增多。


图片

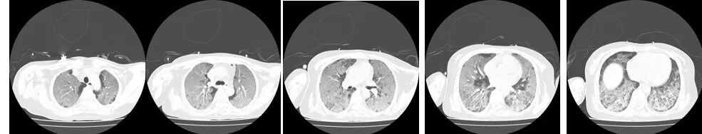
图3(2024年10月3日 D17)胸部CT双肺弥漫性渗出改变较前略吸收,伴磨玻璃影。


图片

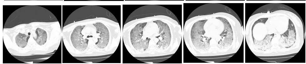
图4(2024年10月8日 D22)胸部CT示双肺弥漫性渗出性改变较前吸收,双下肺渗出较前明显吸收。


图片

图5(2024年10月15日 D29)胸部CT示双肺弥漫性渗出性改变较前明显吸收,仅双上肺可见。


心脏彩超 轻度肺动脉高压并三尖瓣少量反流,左室收缩功能正常。残存欧式瓣。

腹部彩超 肝胆胰脾未见明显异常。

双下肢静脉彩超双下肢静脉未见明显栓塞。

血气分析(FiO233%)PH 7.33,PO250mmHg,PCO218mmHg,Lac 9.7mmol/L,HCO39.5mmol/L,SO263.2%,OI 151。

炎症指标 血常规 WBC 2.5×109/L,N88.7%,PLT88×109/L,HGB109g/L;ESR40mm/h,PCT 4.850ng/ml,IL-6 18.6pg/ml,CRP 152.874mg/L。血G试验 110.519(阳性),GM试验阳性。

脏器功能 肝功 ALT106U/L,AST357U/L,肾功 Cr72μmol/L,电解质Na+124mmol/L。 K+3.6mmol/L。

凝血功能 APTT 35.5,Fbg 5.07g/L,D-二聚体11.95μg/ml,FDP 16.13μg/ml。

痰培养 革兰阳性球菌。

电子支气管镜肺泡灌洗液NGS结果

图片


便常规、心肌酶、BNP、肿瘤标志物、呼吸道病原体、新冠核酸检测、结核分枝杆菌涂片检查、结核分枝杆菌核酸检测、结核抗体检测、γ干扰素释放试验、结核菌素试验(PPD)未见明显异常。

诊断 重症肺炎、ARDS、系统性红斑狼疮

鉴别诊断 对于弥漫性间质性肺炎鉴别,需要从感染性病变和非感染性病变相鉴别,该患者存在明确感染因素,且既往系统性红斑狼疮病史,影像学符合SLE-ILD的影像学表现,故治疗上需要在积极抗感染治疗基础上,达到CTD-ILD双达标。

治疗 患者入院后给予无创呼吸机辅助通气、抗感染[莫西沙星0.4g qd+卡泊芬净首70 mg/50 mg qd维持+更昔洛韦0.25g q12h+伏立康唑(首小时)0.4g 、0.2g q12h维持]、抗炎(甲泼尼龙40mg qd)、改善肝功能(甘草酸铵半胱氨酸200ml qd)、营养支持(肠内+肠外)治疗4天后,患者症状未改善,氧合指数下降,胸部CT可见双肺弥漫性渗出较前增多,经呼吸与危重症医学科、血液风湿科、重症医学科、临床药学科会诊后,将治疗方案调整为:无创呼吸机辅助通气、清醒俯卧位、抗感染方案(注射用头孢哌酮钠舒巴坦钠3g q12h+卡泊芬净50 mg qd+更昔洛韦0.25g q12h+伏立康唑0.2g q12h+复方磺胺甲噁唑3粒 q6h)、甲泼尼龙80mg bid、血浆置换、控制并发症、营养支持等对症治疗30天,患者胸闷、气短,咳嗽、咳痰症状较前改善、体温降至正常、氧合指数较前上升、复查胸部CT可见双肺弥漫性渗出较前吸收。


图片

文献回顾

危重患者器官插管时机





在一项欧洲的前瞻性多中心队列研究中发现1,在147例初始使用无创呼吸支持(NIV)的ARDS患者中,NIV降低了呼吸机相关肺炎发生率和ICU病死率,且有54%的患者避免了气管插管,但如果在NIV治疗1 h以后患者氧合指数仍低于175 mmHg(1 mmHg=0.133 kPa),则NIV失败可能性大。

该患者在NIV治疗1 h以后氧合指数大于175 mmHg,暂不建议插管,继续无创呼吸机辅助通气、清醒俯卧位,事实证明,该患者恢复良好,减少了插管创伤。


患者是否存系统性红斑狼疮 - 弥漫性肺泡出血(SLE-DAH





01



急性狼疮性肺炎(ALP)与DAH无论在临床症状、影像学或病理特点及自然病程上几乎完全相同2-3。两者是肺泡-毛细血管急性损伤导致肺部病变的同一疾病谱中的两种表现。

02



SLE-DAH患者中近1/3有合并肺部感染2-3,病原菌主要有葡萄球菌、巨细胞病毒、单纯疱疹病毒、曲霉菌、孢子等。

03



DAH多见于年轻女性,主要表现为咯血、呼吸困难、低氧血症、咳嗽、贫血,超过一半的患者必须行机械通气。

04



咯血可能缺如2-3(约42%-66%),许多严重的肺泡出血甚至可能一直完全没有咯血表现。血红蛋白下降及红细胞比容减低是肺泡出血特征性表现,尤其对于没有咯血表现的患者来说是一个重要线索。



图片

本例分析

综上所述:该患者符合SLE-DAH,在治疗过程中,根据SLE-DAH的诊治方案取得良好疗效。


图片

专家简介


图片

张秀丽

青海省人民医院

呼吸与危重症医学科主治医师

参与国家级科研项目2项,省级科研项目1项

以第一作者发表SCI论著1篇,核心期刊论著2篇

获得青海省西宁市抗疫“最美白衣天使”称号

获得2024年全国“ILD临床规范化诊疗青年医师病例演讲比赛”大区赛三等奖

获得青海省第一届间质性肺疾病病历比赛 一等奖

获得第五届ILD临床规范化诊疗青年医师病例演讲比赛-2024 甘青宁新四省病例比赛  二等奖


图片

妥亚军

青海省人民医院

呼吸与危重症医学科主任、主任医师、硕士研究生导师                                    

青海省人民医院呼吸与危重症医学科呼吸介入及肺血管病亚专业负责人

中华预防医学会呼吸病预防与控制委员会第二届委员会委员

中国康复医学会呼吸康复专业委员会第二届委员会委员

中华医学会内科学分会第十五届委员会青年学组成员

中国老年保健医学研究会呼吸病学分会第二届委员会委员

中国健康促进与教育协会县域呼吸专业委员会委员

青海省医学会呼吸病学分会副主任委员

青海省医学会呼吸病预防与控制委员会副主任委员

青海省医师协会感染科医师分会副主任委员

青海省医学会变态反应分会副主任委员

成都高新医学会西部间质性肺疾病专业委员会副主任委员

先后主持科技厅、卫生健康委科研课题10余项

发表SCI论文4篇,中文核心论文20余篇


图片

参考文献


1.Antonelli M , Conti G , Esquinas A ,et al. A multiple-center survey on the use in clinical practice of noninvasive ventilation as a first-line intervention for acute respiratory distress syndrome[J]. Crit Care Med, 2007,35(1):18-25.

2.Badsha H, The CL, Kong KO, et al. Pulmonary hemorrhage in systemic lupus erythematosus. Semin Arthritis Rheum 2003; 33: 414-21.

3.Kim JS, Lee KS, Koh EM, et al. Thoracic involvement of systemic lupus erythematosus: clinical, pathologic, and radiologic findings. J Comput Assist Tomogr 2000; 24: 9-18.



END

图片


本文由中国医学论坛报呼吸与危重症编委会编委、空军军医大学西京医院呼吸与危重症医学科宋立强教授组稿

200 评论

查看更多