查看更多
密码过期或已经不安全,请修改密码
修改密码
壹生身份认证协议书
同意
拒绝
同意
拒绝
同意
不同意并跳过
现病史
59岁中年男性,主诉发现右肾结石并反复尿路感染十年余。10年前由于右腰部隐痛,当地医院发现右侧肾透明细胞癌,行右肾部分切除术。术后反复出现尿路感染,尿频、尿急、尿痛、尿血等症状,持续10余年。外院检查提示右肾结石(5mm),尿路感染(粪肠球菌感染),保守治疗10余年,效果不佳。
既往史
既往有糖尿病、马蹄肾病史;10年前于当地医院行马蹄肾部分切除术 + 双肾融合部离断。
辅助检查
(1)实验室检查
尿常规显示白细胞异常,尿培养证实为粪肠球菌感染,可确定为细菌性尿路感染。结核相关检查如尿抗酸杆菌为阴性。血常规、肝肾功能、电解质无明显异常。
(2)影像学检查
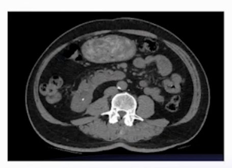
泌尿系CT平扫:右肾下盏有6mm小结石。
双肾ECT:评估左侧GFR为23ml/min,右侧为13ml/min。


初步诊断及初步治疗
(1)初步诊断:尿路感染;右肾结石伴右肾积液;马蹄肾;右侧肾恶性肿瘤术后;2型糖尿病。
(2)初步治疗:抗感染治疗;处理结石。
诊治经过
(1)行右侧输尿管软镜碎石取石术
术中发现三个关键问题:①肾盂内尿液浑浊;②使用钬激光碎石时,结石呈丝状且藕断丝连,难以打成颗粒;③结石实际大小远超CT所示的6mm,超过2cm。



因手术时间长、结石负荷大且尿液感染,遂在击碎部分结石后放置双J管并终止手术。

(2)术后回顾病史及检查
术前B超显示:右肾上盏有一颗21mm×30mm的大结石,与CT所见不符。

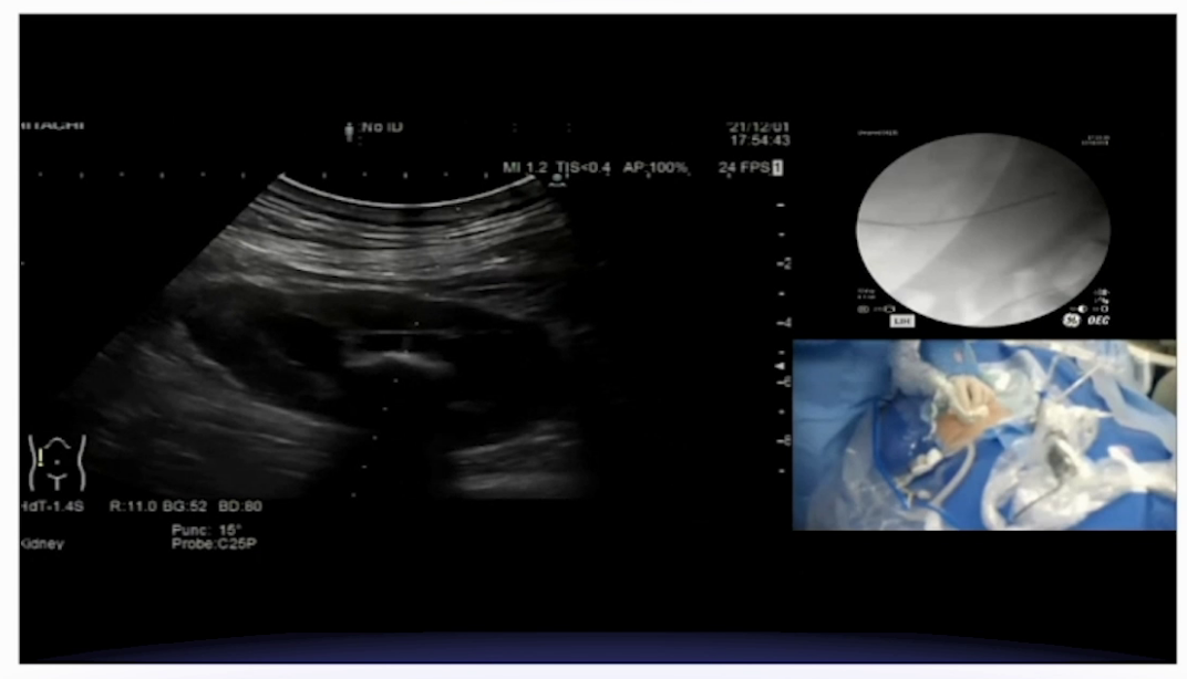
(3)2周后行右侧PCNL,取出结石
2周后,鉴于患者结石负荷大,行B超引导下经皮肾镜取石术。该结石为X线及CT阴性结石,成功穿刺右肾上盏后,打造影剂显示集合系统有明显充盈缺损,结石表面黄褐色。使用气压弹道轻易击碎结石,并通过负压吸引取出。


(4)术后分析
术后对结石成分进行分析,本地红外光谱分析未得出常见结石成分,后经南京孙西钊教授团队分析,确定结石成分为α-羟基丙酸丁酯,属于医用黏合剂α-氰基丙烯酸酯。追溯病史,患者十年前肾部分切手术中,当地医院使用了该医用黏合胶用于缝合止血。


查看更多
专家点评
患者有右侧肾部分切除术病史,CT提示的结石大小与术中实际发现不一致,超声检查结果与实际结石负荷更吻合;术后结石成分分析确诊为氰基丙烯酸酯,该成分与患者肾部分切除术中用于止血、减少尿外渗的粘合剂相关,属于临床罕见结石类型。
本例患者诊疗的关键难点在于,其一是术前影像学评估存在偏差,CT虽为结石检查的“金标准”,但本例中未能准确反映结石实际大小,需警惕特殊病史患者的检查局限性;其二是结石处理难度大,该类粘合剂成分结石质地坚硬,软镜下激光碎石难以奏效,最终通过经皮肾镜直接击碎取出,提示特殊成分结石需针对性选择手术方式。
针对有肾脏手术史等特殊病史的患者,术前检查不可单一依赖CT,应采用“超声+IVP+CT平扫”或“超声+CTU”的联合检查方案,整合不同检查的优势,全面获取结石大小、位置等信息。在进行肾部分切除术时应注意操作规范,术中若集合系统存在较大破裂,需采用 “两层缝合” 技术(细针线缝合集合系统 + 肾实质外层缝合),谨慎使用氰基丙烯酸酯类粘合剂,避免粘合剂渗入集合系统,为后续结石形成埋下隐患。此外,结石成分是追溯病因的关键,尤其对于罕见结石,若未进行成分分析,难以发现氰基丙烯酸酯这类特殊成因,因此有条件的医疗中心应将结石成分分析纳入术后规范流程,为病因诊断和后续预防提供依据。