查看更多
密码过期或已经不安全,请修改密码
修改密码
壹生身份认证协议书
同意
拒绝
同意
拒绝
同意
不同意并跳过
基本资料
性别:女性
年龄:82岁。
主诉:因“结肠癌术后3年余,多发转移1年半余”于2019-6-12入院。
既往史:有“高血压”史40年余,口服“施慧达 2.5mg qd”,血压控制可。有“冠心病”史10年余,口服“拜阿司匹林 0.1 qd+瑞舒伐他汀片10mg qd”,控制可。
个人史、婚育史及家族史:无殊。
辅助检查
查体:慢性病容,PS评分1分,浅表LN(-),心肺听诊无殊,腹软,无压痛,腹部手术疤痕愈合良好,肝脾肋下未及,双下肢不肿。
治疗经过:
2016-3-19在上海行“结肠癌根治术”。
术后病理: 1、回盲部盘状隆起型多发性中-低分化腺癌(2灶,肿块最大径2.8-3cm),浸润至浆膜外脂肪组织,侵犯神经束。 2、肠周淋巴结:肿块周围4/14颗;癌结节(1颗)。 3、上下切缘均阴性。 免疫组化:P53(3+)、Ki-67(+,约80%)、CEA(+)、E-cadherin(3+)、Topo-Ⅱ(2+)、CDX-2(2+)。错配修复基因:MLH1(+)、MSH2(+)、MSH6(+)、PMS2(+)。
术后分期:pT4aN2MO IIIB期
术后于2016-04-15开始行“希罗达 1.5g bid d1-14”单药化疗8次,耐受性可,末次时间为2016-09-30。
2017-12-04胸部CT:右肺下叶背段结节较前增大;
2018-01-08胸部CT:右肺下叶背段结节较前稍增大;
2018-01-11PET/CT:后腹膜淋巴结转移,右侧肾上腺转移瘤,直肠子宫窝软组织结节,考虑转移,右肺下叶背段结节,考虑转移。
于2018-01-15至03-26外科行“希罗达 1.5g bid d1-14”化疗4次。
2018-04底就诊我科,查基因检测:K-Ras突变。
2018-05-04胸部CT:1.右肺下叶背段结节,较前(2018.01.08)缩小;原右肺下叶斜裂旁小结节,考虑纤维灶。2.左肺少量纤维灶,右肺上叶钙化灶。2018-05-08全腹部CT:1.回盲部MT术后改变,未见复发征象。 2.胆囊炎,胆囊多发结石,胆总管下端结石较前相仿。 3.右肾囊肿,左肾萎缩较前相仿。4.子宫右后方结节。
2018-05-04心超:室间隔稍增厚,主动脉瓣钙化,左室舒张功能欠佳(EF72%)。
疗效评价:缩小的SD
2017-12-04胸部CT:右肺下叶背段结节较前增大;
2018-01-08胸部CT:右肺下叶背段结节较前稍增大;
2018-01-11PET/CT:后腹膜淋巴结转移,右侧肾上腺转移瘤,直肠子宫窝软组织结节,考虑转移,右肺下叶背段结节,考虑转移。
于2018-01-15至03-26外科行“希罗达 1.5g bid d1-14”化疗4次。
2018-04底就诊我科,查基因检测:K-Ras突变。
2018-05-04胸部CT:1.右肺下叶背段结节,较前(2018.01.08)缩小;原右肺下叶斜裂旁小结节,考虑纤维灶。2.左肺少量纤维灶,右肺上叶钙化灶。2018-05-08全腹部CT:1.回盲部MT术后改变,未见复发征象。 2.胆囊炎,胆囊多发结石,胆总管下端结石较前相仿。 3.右肾囊肿,左肾萎缩较前相仿。4.子宫右后方结节。
2018-05-04心超:室间隔稍增厚,主动脉瓣钙化,左室舒张功能欠佳(EF72%)。
于2018-05-04予“安维汀 400mg d1+希罗达 1.5g bid d1-14,q3w”治疗,1次治疗后出现Ⅲ度手足综合征(四肢皮肤皮疹伴脱屑,趾甲脱落伴少量出血),骨髓抑制Ⅱ度(WBC最低3.3*10^9/l,N1.1*10^9/l)。
于2018-06-11、2018-07-19、8-27予“安维汀 400mg d1+希罗达 1.0-1.5 bid d1-14”减量治疗3次,第3次期间出现“结膜炎伴局部出血”,暂停“安维汀”于9-28口服“希罗达 1.0-1.5 bid d1-14”单药行第5次化疗,予“左氧氟沙星滴眼液”后结膜炎好转。
期间2018-8-16胸腹部CT疗效评价SD
于2018-11-07、12-19、2019-01-16、02-28予“安维汀 400mg d1+希罗达 1.0-1.5 bid d1-14”治疗4次。
2019-2-19胸部CT:1.右肺下叶背段结节,较前(2018.08.16)相仿。2.右肺下叶及左肺少量纤维灶,右肺上叶钙化灶。3.主动脉瓣区钙化。
2019-2-20腹部CT:1.回盲部MT术后改变,局部淋巴结显示。 2.胆囊炎,胆囊多发结石,胆总管下端结石,较前(2018.08.16)相仿。 3.脂肪肝,右肾囊肿,左肾萎缩较前相仿。4.子宫右后方结节较前相仿。
后“安维汀400mg d1+希罗达1.0-1.5 bid d1-14”治疗4次。
疗效评价SD
2019-6-12全腹部CT:1.回盲部MT术后改变,局部淋巴结显示,腹膜后肿大淋巴结。2.子宫右后方占位,较前片(2019.02.20)增大。3.胆囊炎,胆囊多发结石,胆总管下端结石较前相仿。4.脂肪肝,右肾囊肿,左肾萎缩较前相仿。
2019-6-13胸部CT:1.右肺下叶背段结节,较前(2019.02.19)增大。2.两下肺胸膜下多发结节灶,部分较前片增大,结合病史考虑转移。两肺少量纤维灶,右肺上叶钙化灶。3.主动脉瓣区钙化。
疗效评价PD
其实肺、后腹膜淋巴结及盆腔占位2019-02即存在


入院诊断:
结肠癌(右半)术后多发转移(两肺、右侧肾上腺、腹腔及后腹膜淋巴结,K-ras突变型,MSS)
高血压病
冠状动脉粥样硬化性心脏病
下一步诊治?
对于这样一位82岁的老年女性,晚期右半结肠癌患者,一线希罗达+安维汀治疗后进展 (肺、肾上腺、后腹膜淋巴结、盆腔转移)
下腹部坠胀不适明显,
二线拒绝静脉化疗
如何选择后续治疗?
2019NCCN指南二线推荐

2019CSCO指南二线推荐

2019NCCN指南二线推荐(瑞戈非尼)

2019CSCO推荐瑞戈非尼作为标准三线治疗
治疗过程:
患者坚决要求试用口服药,最好是靶向药物。
推荐:试用瑞戈非尼。
2019-6-18开始口服“瑞戈非尼 120mg qd d1-21,q4w”靶向治疗。
服药1周后自觉下腹坠胀不适加重,严重影响日常生活,放疗科会诊后建议可局部联合姑息性放疗:
2019-6-27予盆腔转移灶局部放疗,具体为:10MV-X线盆腔转移灶IMRT计划照射PGTV,60Gy/30F。
瑞戈非尼治疗后第一次复查:
2019-7-16胸部:1.两肺下叶多发结节,转移可能,较前(2019.06.13)相仿。2.两肺少量纤维灶,右肺上叶钙化灶。3.主动脉瓣区钙化。
2019-8-7盆腔CT:1.回盲部MT术后改变,腹膜后淋巴结显示。2.子宫右后方占位,较前片(2019.06.12)缩小,建议MR检查。3.右侧输卵管积液考虑。4.右肾囊肿较前相仿。胆囊结石。
治疗上:继续口服“瑞戈非尼 120mg qd d1-21,q4w”靶向治疗。
疗效评价:肺部SD,盆腔PR

瑞戈非尼治疗后第二次复查:
2019-9-11胸部CT:1.两肺下叶多发结节,转移可能,较前(2019.07.16)相仿。2.两肺少量纤维灶,右肺上叶钙化灶。3.主动脉瓣区钙化。右侧部分肋骨陈旧性骨折考虑,局部椎体密度欠均匀,请结合临床。
2019-9-11全腹部CT:1.结肠癌术后,右侧肾上腺、主动脉旁多发转移考虑,较前(2019.06.12)略增大,右肾上极转移可疑。2.子宫右后方占位,较前缩小;原右侧输卵管积液现基本消失。3.胆囊炎,胆囊结石,胆总管下端结石。4.脂肪肝,右肾囊肿,左肾萎缩。
血肿瘤指标升高,咨询浙二袁瑛教授:
建议继续瑞戈非尼,可局部放疗。

疗效评价:
肺部SD
肾上腺及LN:SD
盆腔PR


我科诊治+第三次复查:
治疗上:继续口服“瑞戈非尼 120mg qd d1-21,q4w”靶向治疗。
放疗科会诊后于2019-10-28起行腹腔肾脏边肿块(右侧肾上腺、主动脉旁多发转移)放疗,具体为:10MV X线 IMRT放疗,予GTV 95% 4976cgy/DT/22F,予CTV95%4224cgy/DT/22F。
放疗后下腹部坠胀不适明显缓解。
2019-11-22上腹部CT:1.结肠癌术后,右侧肾上腺、主动脉旁多发转移考虑,较前(2019.09.11)略增大,右肾上极转移可疑。2.肝囊肿,胆囊炎,胆囊结石,胆总管下端结石。3.右肾囊肿,左肾萎缩。
疗效评价:
肾上腺及LN:SD


药物调整:
2020-01出现血压控制不佳(160-170/90-105mmHg),患者在既往“施慧达2.5mg qd”基础上联合“安博维150mg qd”治疗,后血压控制好转。
2020-01开始调整为“瑞戈非尼 80mg qd d1-21,q4w”靶向治疗(患者想过个安耽年)。

瑞戈非尼治疗后第四次复查:
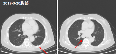
2020-3-20胸部CT:1.两肺下叶多发结节,较前(2019.09.11)部分增大,转移考虑。2.两肺少量纤维灶,右肺上叶钙化灶。3.主动脉瓣区钙化。
2020-3-20腹部CT:1.结肠癌术后,右侧肾上腺、主动脉旁多发转移考虑,较前(2019.11.22)稍缩小,右肾上极转移可疑,较前相仿,建议进一步检查。2.子宫右后方结节,较前缩小。3.胆囊炎,胆囊结石,胆总管下端结石。4.右肾囊肿,左肾体积小。
疗效评价:
肺部增大SD
肾上腺及LN:SD
盆腔PR



瑞戈非尼治疗后第五次复查:
2020-5-26胸部CT:1.两肺多发结节,较前2020.04.28大致相仿;右侧肺门区淋巴结肿大,较前相仿;右肺上叶钙化灶;主动脉及冠脉钙化。
2020-5-27腹部CT:1.结肠癌术后,右侧肾上腺、主动脉旁多发转移考虑,较前(2020.03.20)相仿,右肾上极转移可疑较前相仿;盆腔少量积液较前略增多。2.胆囊炎,胆囊结石,胆总管下端结石。3.膀胱壁增厚,原子宫后方结节未见明显显示。4.右肾囊肿,左肾萎缩,右肾代偿性增大。5.肝左叶小囊肿。
血肿瘤指标再次升高。患者出现腹泻,6-7次/天,有时便中少许血丝。
疗效评价:
肺部 SD
肾上腺及LN:SD
盆腔 CR


瑞戈非尼治疗期间血肿标变化:

瑞戈非尼治疗AE情况:
II度高血压,经药物调整后血压控制良好。
I度蛋白尿,I度手足综合征,无水肿,未发现血栓表现。
偶有便中带血丝情况。
病例总结:
疑问:
本患者瑞戈非尼为二线用药(纯属个体化治疗),尚需循证支持。
二线PFS近1年,OS近2年半(高龄,右半结肠癌)。
目前影像学SD,但血肿瘤指标升高(CEA、CA199),
出现腹泻,6-7次/天,有时便中少许血丝。
后续处理:
1.瑞戈非尼是否继续?
REGNIVO研究的引入(瑞戈非尼+PD-1)?
2.化疗+抗血管:
如伊立替康+贝伐?
TAS102?
查看更多