查看更多
密码过期或已经不安全,请修改密码
修改密码
壹生身份认证协议书
同意
拒绝
同意
拒绝
同意
不同意并跳过
病例分享:
宫卫东 空军军医大学唐都医院介入放射科
病例点评:
郭晨阳 河南省肿瘤医院微创介入科
原发性肝癌是我国最常见的恶性肿瘤之一,随着免疫治疗、靶向治疗药物的问世,肝癌的治疗方向逐渐从单一局部治疗向联合系统治疗转变。TACE是无法手术、无MVI及EHD的HCC首选治疗,随着时代的发展,TACE手术在治疗手段和理念上都不断得到发展。临床在治疗HCC治疗应用中,需要重点把握两个方面:即控制病灶和保护好肝功。理论上及各种临床研究证明:DEB-TACE在控制病灶和保护肝功上优势明显。但通常会联合分子靶向药物、PD-1等治疗方式。本病例是名晚期肝癌患者,通过评估后第一时间采用局部+系统治疗,进展后及时更换分子靶向药物(瑞戈非尼)联合PD-1,3个月后患者病灶达到CR,病情稳定,回访至今未见复发,二线治疗已经超过达18个月。


基本情况
患者焦某,男性,50岁。既往乙型肝炎病史多年。
本次入院实验室检查:AFP 169.70 ng/mL,PIVKA-Ⅱ 433 mAu/mL,活检确诊HCC。
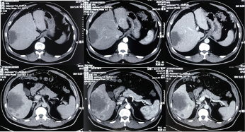
影像学检查:2019-01-23如图示。

2019-01-25彩超提示,1.恶性病变可能,2.不完全除外脓肿可能。
2019-01-26肝脏穿刺活检标本病理提示,上皮来源恶性肿瘤(癌),符合肝细胞癌。免疫组化结果显示:AE1/AE3(+),AFP(-),CK19(+),CK7(-),CK8/18(+),Glypican-3 (+),Hep (-),Hsp70 (+),P53 (-),Ki-67 标记指数局部约 45%。
诊 断
HCC-IIIa(PVTT-II),CPT-A5,ECOG评分0。
治疗过程
患者肿瘤情况处于进展期HCC(IIIa),PVTT-II。肿瘤负荷重,左右叶均有病灶,肝右叶主病灶超过5 cm,周围多发播散子灶。门静脉一级分支(右支癌栓),与右叶主病灶相关。肝功能好,体能好。遂予局部+系统治疗。
第一阶段方案
治疗方案:2019-01-29,行D-TACE+c-TACE术。

术后第7天,2019-02-04复查,情况如图示。

术后2月达CR。

第二阶段方案
术后七天开始口服索拉非尼,400 mg bid。
不良反应如图示。

2019-05-29,第一次介入术后4月复查提示PR。“肝癌介入术后改変”,与 2019-03-21平片比较,肝右叶异常密度影较前増多增大,病变周围新发多密度影,考虑转移瘤。肝左叶密度影较前缩小。

第三阶段方案
病灶局部进展,肝内多发播散病灶,肝功CPT-A5,ECOG-0分。
遂于2019-06-06,行D-TACE术。(系统治疗MTA如何抉择?)

2019-06-13,术后七天复查如图示。

第四阶段方案
综合治疗4个月后,患者肝内出现新发病灶,mRECIST评价标准评估为PD。
治疗方案:二线治疗应用瑞戈非尼(40 mg/d)+PD-1单抗(200 mg/mon),继续抗病毒。2020-03,腹部MR检查结果如图。

2020-06-30超声造影结果阴性。持续CR。
最后一次复查为2020-06-30,至今近18个月,持续CR。(MRI-CR,超声造影-肝功CPT-A5,PS 0分)
患者每天跑步5公里,2020-06,新疆自驾游一周。
治疗汇总:

小结及思考
1.HCC要坚持综合治疗策略。

该病例为男性,50岁乙肝多年,CT显示右叶主灶 > 5 cm,左右叶子灶,右支癌栓。但是有一个疑点左叶子灶与右叶病灶强化有所不同,查AFP:169.7 ng/mL,PIVKA II 433 mAu/mL,显示其AFP不够高,所以采用PIVKA II与之互补,体现了主治医生检查的细致、周全。此外,做肝穿活检HCC以弥补肿瘤标志物的不足,更体现该医生诊断的严谨性和规范性。诊断:CNLC;IIIa,肝功能 A5,ECOG评分 0。
治疗思路严谨,采用TACE联合靶向加上抗病毒,体现了治疗规范和全面性。主灶采用D-TACE的治疗方法,因为D-TACE较C-TACE其ORR更高短期可以取得比较好的疗效而且其VEGF升高会较C-TACE低;左叶子灶不易超选C-TACE,两种方法结合扬长避短,主灶子灶兼顾,值得我们临床学习。
靶向药物选择:一线选用索拉非尼,严格遵守诊疗规范,索拉非尼与TACE联合使用可以减少TACE次数提高TACE效率,保护肝功能,起到协同效应,显著延长病人的PFS和OS。
术后2月后AFP降至正常,CT左叶为CR,右叶应归于PR。二月复查门脉癌栓未表述,若MRI评价应更准确。
术后4月后AFP仍正常,CT左叶进一步缩小为CR,而右叶为PD,提示左叶子灶与右叶病灶理应不同,且AFP表达疗效不可靠。还提示2月前可能就是PR而非CR,更体现用MRI评价TACE疗效的重要性。
回顾本病例,不少细节都体现出作者对前期治疗的经验和教训总结,以及对后续治疗的思考,如:2019-06-06:C&D-TACE联合,两者取长补短;积极寻找肝外血供,查漏补缺。体现主治医生思维细腻;超选插管体现主治医生德艺双馨,不畏艰难。
2019-06-11:一线治疗患者病情进展,主治医生基于RESORCE研究证实,相较于其他二线靶向药物,瑞戈非尼更显著降低死亡风险,且序贯治疗中位OS达26个月选取瑞戈非尼作为二线治疗。瑞戈非尼作用靶点更为全面,具有协同免疫的机制,可以给病人带来更大的治疗获益,体现了主治医生治疗的规范性和对病人的责任感。针对前期TACE+靶向PR变PD,加入PD-1以期防范,体现作者能准确把握当今最新进展,作风果断、担当。
最后的疗效证明了这些思考和选择的正确性,本病例也能体现出作者极高的职业素养,值得我们借鉴学习。
(本篇内容由郭晨阳教授审校及点评)
更多精彩敬请期待!

查看更多