壹生大学

壹生身份认证协议书

本项目是由壹生提供的专业性学术分享,仅面向医疗卫生专业人士。我们将收集您是否是医疗卫生专业人士的信息,仅用于资格认证,不会用于其他用途。壹生作为平台及平台数据的运营者和负责方,负责平台和本专区及用户相关信息搜集和使用的合规和保护。
本协议书仅为了向您说明个人相关信息处理目的,向您单独征求的同意,您已签署的壹生平台《壹生用户服务协议》和《壹生隐私政策》,详见链接:
壹生用户服务协议:
https://apps.medtrib.cn/html/serviceAgreement.html
壹生隐私政策:
https://apps.medtrib.cn/html/p.html
如果您是医疗卫生专业人士,且点击了“同意”,表明您作为壹生的注册用户已授权壹生平台收集您是否是医疗卫生专业人士的信息,可以使用本项服务。
如果您不是医疗卫生专业人士或不同意本说明,请勿点击“同意”,因为本项服务仅面向医疗卫生人士,以及专业性、合规性要求等因素,您将无法使用本项服务。

同意

拒绝

同意

拒绝

知情同意书

同意

不同意并跳过

工作人员正在审核中,
请您耐心等待
审核未通过
重新提交
完善信息
{{ item.question }}
确定
收集问题
{{ item.question }}
确定
您已通过HCP身份认证和信息审核
(
5
s)

生命的勇气——妊娠合并宫颈癌多学科团队诊疗1例

2025-12-25作者:壹生妇产学院病例

video

现病史

29岁患者,G1P0。平素月经规则,孕早期少量阴道血性分泌物,口服地屈孕酮保胎一周后缓解。孕8+5周在某市级妇幼保健院建卡产检,产检建卡时据查TCT、HPV。定期产检,孕12周NT筛查:CRL 55mm,大小符合孕周,NT 0.9mm。孕中期D-筛查未见明显异常。

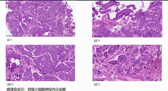
孕22+1周孕妇因少量阴道血性分泌物于建卡医院就诊,阴道窥视见宫颈上唇大小约3cm不规则赘生物,触之易出血。 阴道镜示:宫颈见表面不规则溃疡坏死外生型病灶,表面厚粗白上皮,结论:宫颈可疑CA; 当地医院宫颈赘生物活检病理示:宫颈低分化癌,倾向神经内分泌癌,P16(弥漫强+)、P40(-)、P53(野生型)、Ki67(+,60%)、CD56(局灶+)。

为进一步就诊,转至复旦大学附属妇产科医院母体病理产科。

2019年B超检查发现卵巢囊肿,予以GnRHa三个疗程,后未定期复查;2021年因尖锐湿疣HPV检查发现18(+)、52(+)、11(+),阴道镜活检见鳞状上皮棘层见挖空细胞,予以激光、冷冻物理治疗。 2022年复查HPV18(+)、 81(+)。余各系统回顾无特殊情况, 否认过敏史、传染病史、手术史 。

孕产史:0-0-0-0。

辅助检查

查体:阴道窥视宫颈见一灰黄白色大小约3cm病灶,双合诊病灶未累及阴道穹隆。

实验室检查:血液生化无特殊,肿瘤标志物(CA-125、CA-199、CEA、SccA、AFP、CA-724等)均无异常。

超声:胎儿大小符合孕周,估计体重530g。右侧卵巢内膜样囊肿可能(4cm);余肝胆胰脾、双肾输尿管、下肢深静脉超声未见明显异常。

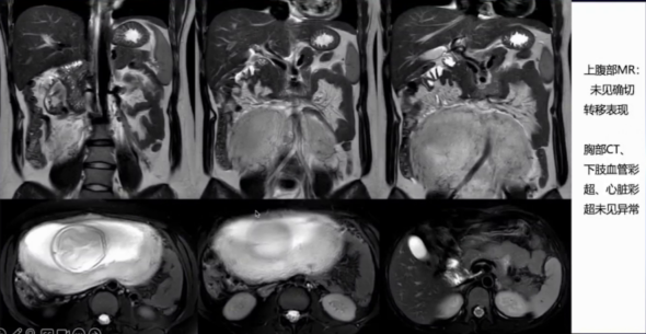
胸部CT:未见明显异常。

盆腔MRI:宫颈外口异常信号灶2.4cm×1.1cm,考虑MT。双侧附件内膜样囊肿可能(右4cm,左2cm)

诊疗经过

考虑孕妇妊娠合并宫颈癌ⅠB2期,母体病理产科发起并组织高危产科MDT会诊,参与科室包括产科、妇科、宫颈科、放射影像科、病理科、化疗科、新生儿科、麻醉科、药剂科及产科安全办公室。

宫颈科进行阴道镜检查评估,病灶局限在宫颈,大小约2.5cm,表面厚醋白上皮,表面轮廓不规则,见异型血管。舟状窝、会阴后联合见中厚醋白上皮,考虑低级别病变,后联合病灶活检送病理检查(后续病理提示未见明显癌灶或其他病变)。

图片1.png 

图片2.png 

图片3.png 

图片4.png 

第一次MDT会诊意见指出,宫颈小细胞神经内分泌癌预后极差,放疗不敏感,病理类型不符合宫颈癌保育类型,不建议继续妊娠。若坚持妊娠,需告知目前孕周无法行淋巴结清扫术,需行化疗治疗,指南推荐顺铂+依托泊苷方案,但化疗药物可能对胎儿致畸并增加新生儿远期血液系统肿瘤风险。需充分与家属和患者沟通,告知病情及预后,由患者知情选择。孕妇及家属知晓风险后,仍坚持保胎并行宫颈癌化疗。在医务科及产科安全办公室监督下完成录像谈话签字。

考虑胎儿毒性,化疗方案调整为紫杉醇联合顺铂,计划32-34周终止妊娠,孕期进行三次化疗。每次化疗前后均进行生化指标及影像学指标评估

图片5.png 

孕妇化疗后不良反应较小,血象三系基本正常,肿瘤标志物无明显异常,宫颈外口病灶有缩小趋势。

孕31+5周,母体病理产科发起并组织第二次高危产科MDT会诊,确定于32+5周终止妊娠,满足终止妊娠前3周化疗结束,确定手术人员团队;术前无需促胎肺成熟,需硫酸镁负荷量静脉滴注脑保护。术前谈话在产安办督导下,由产科和妇科共同进行。

患者于32+5周腰硬联合麻醉下行子宫下段剖宫产术,娩出一活女婴,出生体重1800g,Apgar评分2-8-8分。术后改为全身麻醉,行广泛全子宫+双附件切除+盆腔淋巴结清扫+腹主动脉旁淋巴结清扫,术中出血1600ml,给予相应输血治疗,手术顺利,术后患者安返病房,由产科和妇科共同管理。新生儿出生后立即转运至NICU,查血气分析等,给予相应治疗,病情好转后继续观察。

术后1周病理诊断报告显示,宫颈为小细胞神经内分泌癌,HPV相关性,肿块大小3.2cm×1.8cm×1cm,浸润宫颈中1/3纤维肌层,合并宫颈原位腺癌,见脉管内癌栓,未见神经侵犯,癌灶未累及阴道穹隆等,双侧宫旁组织及阴道壁切缘未见癌累及,子宫内膜、双侧卵巢及输卵管等有相应改变,左右盆腔髂淋巴结及腹主动脉旁淋巴结均未见癌转移。

术后拟行依托泊苷+顺铂化疗方案,计划术后进行3个周期,并同步放疗,建议完善基因检测指导后续靶向治疗。

专家点评

本病例为一例妊娠合并宫颈小细胞神经内分泌癌(SCNEC)的复杂病例,其诊疗过程充分体现了在缺乏明确指南的罕见、高危情况下,通过多学科协作(MDT)实现个体化精准治疗的重要性。

随着妊娠年龄推迟,妊娠合并恶性肿瘤的发生率有所上升。既往化疗被视为妊娠禁忌,但现有数据表明,在妊娠中晚期进行化疗相对安全。此阶段胎儿器官已基本形成,主要进行生长与成熟,发生严重畸形风险较低。大多数于此期间接受化疗的新生儿可健康分娩,长期随访显示其生长发育、认知功能与同龄儿童无显著差异,但需关注少数可能出现的低出生体重、轻微畸形及极远期第二肿瘤风险。

本例患者于孕23周确诊宫颈SCNEC,该病理类型在所有宫颈癌中占比不足2%,但侵袭性极强,早期易转移,5年生存率低。面对患者强烈的继续妊娠意愿,治疗团队面临巨大挑战。在充分告知预后风险并尊重患者选择的基础上,启动了MDT诊疗模式。

治疗决策的核心在于平衡抗肿瘤治疗与胎儿安全。经过多次MDT讨论,制定了周密的个体化方案:1.为避免依托泊苷潜在的远期第二肿瘤风险,选择了对胎儿相对更安全的TP方案,并密切监测与处理化疗相关副作用。2.每三周通过MRI、CT及超声进行全身与产科评估,监测肿瘤反应与胎儿生长发育。3.计划于孕32-34周,胎儿相对成熟时行剖宫产终止妊娠,并同期或后续进行根治性手术。4.针对术中可能的新生儿抢救、产后出血等制定了详细预案。最终,患者经新辅助化疗后病情得到控制,顺利在孕32周剖宫产分娩,并接受了后续根治性手术,未来将根据情况接受同步放化疗等综合治疗。

200 评论

查看更多