查看更多
密码过期或已经不安全,请修改密码
修改密码
壹生身份认证协议书
同意
拒绝
同意
拒绝
同意
不同意并跳过
转入后相关检查
有创通气(PS/CPAP),FiO2 50%,PEEP 5 cmH2O,PC 16 cmH2O。pH 7.468,PaO2 74.1 mmHg,PaCO2 39.7 mmHg。氧合指数148 mmHg。
BALF mNGS回报流感嗜血杆菌、肺炎克雷伯菌、金黄色葡萄球菌、幽门螺杆菌。
血常规:PLT 89×109/L,LYM绝对值0.43×109/L,WBC 6.29×109/L,Hb 99 g/L,NEU% 85%。
生化:Na+ 134 mmol/L,Ca2+ 2.19 mmol/L,白蛋白29.7 g/L,总蛋白56.4 g/L,ALT 99 U/L,AST 169 U/L,γ-GT 188 U/L,ALP 227 U/L。
痰培养(2020-12-12):金黄色葡萄球菌(MRSA)。
床旁电子气管镜:气道黏膜充血水肿,有血性分泌物(图4)。

图4 床旁电子气管镜检查
转入后诊断
吸入性肺炎,ARDS。
脓毒症休克。
肺栓塞。
双侧胸腔积液。
意识障碍查因:急性酒精中毒?感染中毒性脑病?
贫血、血小板降低。
低蛋白血症。
调整治疗方案
抗感染:患者转入ICU后,体温最高达到39℃,肺部病变进展快速,且考虑患者长期在海南生活,不排除重症军团菌感染的可能,选择哌拉西林他唑巴坦(4.5 g q8h)+莫西沙星(0.4 g qd);结合痰培养结果,加入替考拉宁(0.4 g qd);根据气管镜检查结果,不能排除真菌感染,故加用两性霉素B雾化。
抗炎:甲强龙40 mg qd,3 d。
呼吸支持:与家属沟通后行间断俯卧位通气;第一次行俯卧位通气时气管插管意外脱出,监测患者血气后,改为HFNC。
其他:低分子肝素4100 IU q12h;人免疫球蛋白针10 g。
相关检查
呼吸ICU送检2次BALF培养,结果回报鲍曼不动杆菌和肺炎克雷伯菌,且肺炎克雷伯菌对复方新诺明、替加环素、多西环素、多黏菌素敏感。
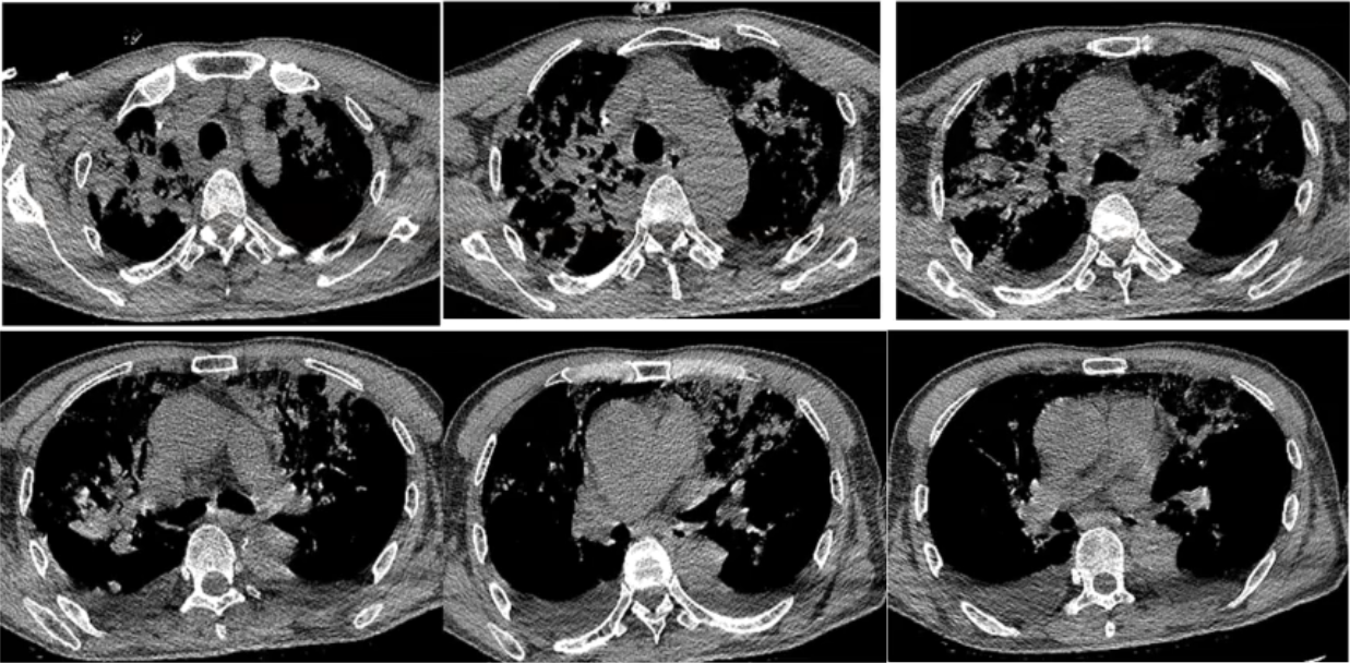
复查胸部CT(2020-12-16):双上肺病变仍然较重,双下肺重力依赖区实变影明显吸收,双侧少量胸腔积液(图5)。


图5 患者胸部CT(2020-12-16)
复查床旁电子气管镜(2020-12-17):气道糜烂及血性分泌物较前好转(图6)。

图6 床旁电子气管镜检查(2020-12-17)
治疗效果及患者转归
患者体温逐步趋于稳定,甲强龙剂量逐渐减量(20 mg qd,5 d→10 mg qd,3 d)。
2020年12月23日复查胸部CT:双上肺病变明显吸收,遗留少量斑片条索影,双下肺吸收良好(图7)。

图7 患者胸部CT(2020-12-23)
12月20日,患者体温波动(低于38℃)。12月22日,体温恢复正常。12月25日,患者转至我院干部病房继续治疗。抗感染药物为头孢吡肟(2.0 g q8h)+多西环素(0.2 g qd)。
意识状态变化:12月8日昏迷;12月9日,嗜睡,呼唤可睁眼;12月15日,谵妄——精神科会诊考虑戒断综合征,给予奥氮平后逐渐好转;12月19日,神志清。
12月29日,患者出院。
治疗体会
回顾患者治疗经过(图8),有如下体会:
应提高对吸入性肺炎的认识。
ARDS患者俯卧位通气很重要。
对mNGS结果判读需要结合临床。

图8 患者治疗经过
今日病例|意识障碍12小时入院,4天后加重入呼吸ICU,究竟是谁惹的祸(上)?
来源:重症肺言 作者:郑州大学第一附属医院 高景
查看更多