查看更多
密码过期或已经不安全,请修改密码
修改密码
壹生身份认证协议书
同意
拒绝
同意
拒绝
同意
不同意并跳过
作者:首都医科大学附属北京天坛医院 杨中华
Susac综合征是一种罕见的影响大脑、视网膜和内耳的疾病,可能由免疫介导的内皮病变引发。诊断该综合征基于临床表现和辅助检查结果(脑磁共振成像、荧光素血管造影术和听力测定)。最近,血管壁MR成像(VW-MRI)在检测实质、软脑膜和前庭耳蜗的细微强化方面显示出更高的灵敏度。在本报告中,描述了在6名Susac综合征患者中使用该技术发现的一项独特发现,并讨论了其对诊断检查和随访的潜在价值。
在这6名患者中,4名确诊为Susac综合征,2名疑似为Susac综合征(3名女性和3名男性;平均年龄36.3岁;年龄范围19-57岁)。所有患者都接受了广泛的检查,以排除其他可能的疾病,如脱髓鞘综合征、脑炎和血管炎。
表1. 这6例患者的VW-MRI人口学数据,临床和增强模式:


图1. VW-MR成像的不同增强模式:点状(A)、局灶性(箭头,B)、血管周围(箭头,C)、软脑膜(D和E)和硬脑膜(箭头,F)。图像A、B、D和E为患者2,图像C和F为患者1

图2. VW-MR成像的叶间软脑膜强化。沿着小脑蚓部和半球小叶(folia),呈多发,薄、短、强化,分散。患者1(A)、患者2(B和E)、患者3(C)和患者6(D和F)

图3. 患者6。增强3D T1梯度回波序列-FSPGR(A和B)、增强3D FLAIR(C和D)和增强VW-MRI(E和F)之间的比较。注意,与增强FSPGR和增强3D FLAIR相比,增强VW-MRI对小实质(E上箭头)和软脑膜(F上箭头)病灶更加明显

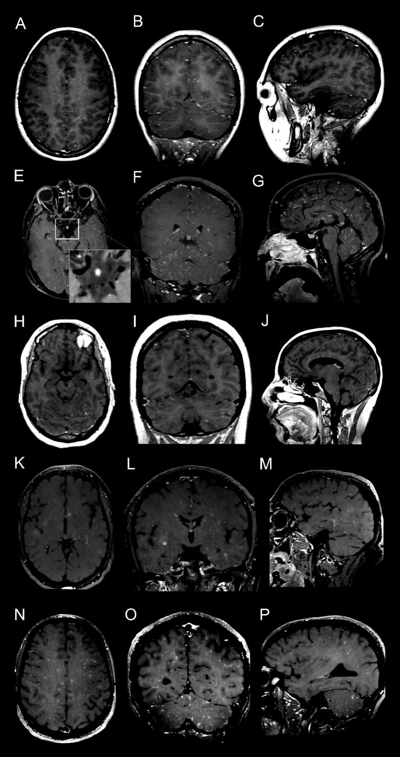
图4. 增强VW-MRI阳性结果总结。第1-5行分别显示了患者1-3、5和6。轴位(第一列)、冠状位(第二列)和矢状位(第三列)重建显示了主要发现。图像E中的插图,显示Willis环中没有血管壁增强

图5. 患者6。最初的增强T1加权VW MRI(A和B)显示幕上多灶性实质和幕下软脑膜增强。治疗1年后的随访增强T1加权VW-MRI(C和D)显示强化完全消失
来源:脑血管病及重症文献导读
神经影像解剖及血供范围分布图-颅脑CT/MR【矢状位】
神经影像解剖及血供范围分布图-颅脑CT【轴位】
查看更多