壹生大学

壹生身份认证协议书

本项目是由壹生提供的专业性学术分享,仅面向医疗卫生专业人士。我们将收集您是否是医疗卫生专业人士的信息,仅用于资格认证,不会用于其他用途。壹生作为平台及平台数据的运营者和负责方,负责平台和本专区及用户相关信息搜集和使用的合规和保护。
本协议书仅为了向您说明个人相关信息处理目的,向您单独征求的同意,您已签署的壹生平台《壹生用户服务协议》和《壹生隐私政策》,详见链接:
壹生用户服务协议:
https://apps.medtrib.cn/html/serviceAgreement.html
壹生隐私政策:
https://apps.medtrib.cn/html/p.html
如果您是医疗卫生专业人士,且点击了“同意”,表明您作为壹生的注册用户已授权壹生平台收集您是否是医疗卫生专业人士的信息,可以使用本项服务。
如果您不是医疗卫生专业人士或不同意本说明,请勿点击“同意”,因为本项服务仅面向医疗卫生人士,以及专业性、合规性要求等因素,您将无法使用本项服务。

同意

拒绝

同意

拒绝

知情同意书

同意

不同意并跳过

工作人员正在审核中,
请您耐心等待
审核未通过
重新提交
完善信息
{{ item.question }}
确定
收集问题
{{ item.question }}
确定
您已通过HCP身份认证和信息审核
(
5
s)

病例分享|一例系膜增生性肾小球肾炎治疗

2024-07-22作者:医学论坛报醒醒资讯
一例系膜增生性肾小球肾炎治疗分享

重庆大学附属中心医院  向莎

病史简介

  • 基本信息:邹XX,28岁,男,未婚,无业,于2024-01-05就诊于我院

  • 主诉:水肿伴少尿7天

  • 现病史:入院前7天,患者无明显诱因出现眼睑、腹部、双下肢水肿,眼睑水肿晨起明显,午后自行减轻,腹部、双下肢水肿无昼夜差异,伴尿量减少,自诉24小时尿量小于500ml,具体量及次数不详,偶有进食后呕吐少量胃内容物,非喷射性,无鲜血及咖啡色物质,伴腹泻1-2次每天,呈少量黄色稀糊样便,无皮肤红斑、皮疹,无发热、畏寒、寒战,无头晕痛、视力下降,偶有间断干咳,无咳痰、呼吸困难,无关节疼痛、四肢乏力等不适,患者遂就诊于重庆市高新区第一人民医院,完善血常规:白细胞6.69×109 ,血红蛋白183g/l,中性粒细胞百分率77.5%,淋巴细胞百分率17.8%,尿常规:蛋白质3+,白细胞21.5个/ul,红细胞24.8个/ul,透明管型1.3个/ul,异常红细胞17.1个/ul,病理管型1.3个/ul,肝功能:丙氨酸氨基转移酶61.6U/L,总蛋白45.56g/l,白蛋白17.3g/l,肾功:肌酐121.2umol/L,尿素12.98mmol/L,血脂:甘油三酯4.33mmol/L,总胆固醇15.89mmol/L,低密度脂蛋白12.99mmol/L,乙肝两对半未见异常。

  • 此次患病以来,患者精神、食欲、睡眠一般,尿量明显减少,自诉24小时尿量小于500ml,病程中腹泻1-2次每天,呈少量黄色稀糊样便;近1周体重增加10kg

  • 既往史:无特殊

  • 族史:无特殊

  • 入院诊断:肾病综合征 急性肾损伤

辅助检查

  • 血常规:

    7930b6f76ea13658a4aac21cd09897a.png

  • 尿常规:

    ad5116ba5cf157176135421d1ab56e2.png

  • 凝血象:

    c07d0f6fc859302140fbfe7f4c3bce4.png

  • 肝功能:

    fb72d6efaf799f8dfea55f64b0e2b75.png

  • 肾功能+电解质:

    06a0f4d9106931d5ba5b8bd72400105.png

  • 血脂:

    9f876271cd1cce931c2f31bde6fbf28.png

  • 24h尿蛋白定量:

    37455f613b29f63e3d42ca287764dcc.png

  • 血型:B型,RhD阳性。

  • 粪便常规、心肌酶谱、乙肝两对半、丙肝抗体、梅毒抗体初筛、艾滋病抗原/抗体初筛、抗磷脂酶A2受体抗体检测、抗核抗体谱、降钙素原、IL-6、甲状旁腺素未见异常。

  • 免疫球蛋白+补体:IgG 5.56g/L,C3 1.44g/L,C4 0.60g/L。

  • ASO+RF+CCP:RF 28.3IU/mL。

  • 2024-01-16他克莫司浓度:2.86ng/ml

  • 腹部+泌尿系彩超:

    • 肝脏:大小形态正常,肝脏包膜光滑,实质回声均匀。肝静脉走行清晰,门静脉内径10mm。

    • 胆囊:饮水后,大小形态正常,囊壁毛糙,囊内透声良好。胆总管内径约4mm。

    • 胰腺:形态规则,轮廓清晰。胰腺实质回声均匀,主胰管不扩张。

    • 脾脏:大小正常,轮廓清楚,脾门切迹清晰可见,实质回声均匀,脾静脉不扩张。

    • 肾脏:双肾大小分别约:98*45mm(右肾)、100*49mm(左侧),实质回声稍增强,皮髓质分界欠清楚,集合系统不分离,其内未见团块。CDFI:未见异常血流信号。

    • 输尿管:双侧输尿管未见明显扩张。

    • 膀胱:充盈欠佳,内未见团块。

    • 前列腺:大小形态正常,轮廓清楚,包膜光滑,实质回声均质,内未见异常回声。                患者卧位:双侧胸腔均可探及无回声区,间距分别约:38mm(右侧)、21mm(左侧),其内透声可,CDFI显示其内未见血流信号。          肝周、肝肾间隙、脾周、左髂窝、右髂窝、盆腔均可探及液性暗区,间距分别约:18mm、24mm、16mm、63mm、52mm、59mm。

    印象:1、饮水后胆囊;2、双肾回声改变,请结合肾功;3、膀胱充盈欠佳;4、双侧胸腔积液;5、盆腹腔积液;6、双侧输尿管未见明显扩张;  7、肝脏、胰腺、脾脏、前列腺未见明显异常。

  • 血管彩超:双上肢腋、肱、尺、桡动、静脉及双下肢股、腘、胫前、后动、静脉未见明显异常

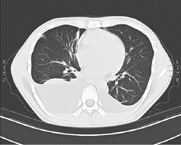
  • 胸部CT平扫:胸廓对称,气管纵隔居中。双肺支气管血管束增多、模糊,双肺散在少许条片影。纵隔内未见明显肿大淋巴结影,心脏不大,心包见少许积液。双侧胸膜无增厚,双侧胸腔见较多积液。腹腔可见积液

    印象:1、双侧胸腔积液伴双肺下叶膨胀不全,双肺少量不张;心包少量积液;腹腔积液,建议进一步检查

image.png

  • 肾穿刺活检:结合临床、光镜、免疫荧光结果,考虑足细胞病

    image.png

image.png

诊疗经过

01.05-01.11开始甲泼尼龙琥珀酸钠80mg qd,艾司奥美拉唑抑酸护胃、碳酸钙D3补钙、立普妥降脂、呋塞米40mg(01.05-01.08)、呋塞米100mg qd(01.08-01.11)人血白蛋白50ml*3天、依诺肝素4000IU ih qd抗凝等对症治疗.

01.08肾穿刺活检:足细胞病

01.11泼尼松50mg qd+他克莫司1mg bid+艾司奥美拉唑抑酸护胃+碳酸钙D3补钙+立普妥降脂

image.png

足细胞与足细胞病概述

病历分享-向莎_01.png

基于足细胞的靶向治疗策略

病历分享-向莎_01(1).png

基于足细胞靶向治疗策略的优势

病历分享-向莎_01(2).png

200 评论

查看更多