查看更多
密码过期或已经不安全,请修改密码
修改密码
壹生身份认证协议书
同意
拒绝
同意
拒绝
同意
不同意并跳过
病史摘要
62岁老年男性,主诉间断黑便1月余。
既往史无特殊。
查体无明显阳性体征。
胃镜:胃小弯处有一巨大溃疡,形状不规则、体积大,底部凹凸不平,表面附着白色脓苔,边缘呈结节状隆起,周围黏膜中断。

病理检查:溃疡组织内存在低分化腺癌。

诊断:远端胃腺癌
诊疗过程
(1)术前评估
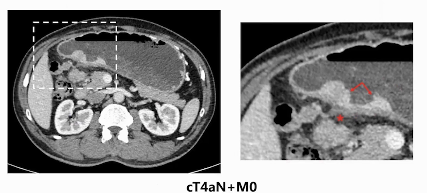
通过腹部增强CT检查,可见肿瘤位于胃窦部,呈溃疡型,周边胃壁浆膜层形态不规则,似累及胃壁浆膜层,同时胃周有可疑肿大淋巴结,判断临床分期可能为CT4aN+M0。

(2)手术治疗
基于上述分期,患者需接受手术治疗。完善术前准备后,为患者行腹腔镜手术。此次手术采用标准无瘤法操作,在腔镜下完成远端胃切除及第二站淋巴结清扫。

肿瘤切除:胃癌手术核心在于完整切除原发肿瘤。对于远端胃癌,一般推荐远端胃切除,切除范围约为远端胃的2/3。
淋巴结清扫:胃周淋巴结清扫是手术重点和难点。在东亚胃癌高发国家,D2淋巴结清扫术已成为标准胃癌根治性手术。D1根治术是将胃所属第一站淋巴结连同病灶胃大部分切除,类似传统胃大部分切除术加大网膜切除并剔除肉眼可见肿大淋巴结;而D2淋巴结根治术不仅要充分切除病灶,还要完整廓清胃周第一站和第二站淋巴结,并完整切除大网膜、小网膜,且整个过程需遵循无瘤原则。以远端胃根治术为例,第二淋巴结清扫应包含贲门右、胃小弯、幽门上区、幽门下区、胃大弯淋巴结,以及胃左动脉、肝总动脉、脾动脉、胃右动脉淋巴结。
消化道重建:完成原发灶切除和淋巴结清扫后,需对残余消化道进行重建。胃癌消化道重建一般有Billroth吻合和Roux-en-Y吻合两种方式。考虑到Roux-en-Y吻合术后患者生活质量较高,胆汁反流和烧心症状较Billroth吻合少见,因此本病例采用Roux-en-Y吻合。其手术步骤为:远端胃大部分切除后,常规缝合关闭十二指肠残端,在距离十二指肠悬韧带10-15cm处切断空肠,将胃与远端空肠进行端侧或端端吻合,再在距离胃肠吻合口以下45-60cm处行近端空肠与远端空肠的端侧吻合。Roux-en-Y吻合可有效防止术后胆胰液反流入胃,减少反流症状及反流性胃炎发生,提高患者术后生活质量。
(3)术后病理
术后病理证实患者为胃低分化腺癌,部分呈印戒细胞样构象,肿瘤侵犯胃壁浆膜下层,胃周小弯处7枚淋巴结转移,胃周组织脉管内有癌栓,胃两侧断端及网膜组织切片无肿瘤残留。

(4)术后治疗
术后24-48小时建议患者严格禁食,一般术后48小时胃肠功能初步恢复,出现通气通便后,开始进行常规饮食管理,包括全流质、半流质和软食,每个阶段持续两天,之后逐步向正常饮食过渡。该患者术后恢复良好,无手术相关并发症。
术后根据肿瘤科建议,患者接受SOX方案化疗(奥沙利铂联合S-1口服),推荐该方案6-8个疗程后,进行5年随访复查。5年内每半年复查CT和肿瘤标志物,每年复查1次胃镜,评估肿瘤是否远处复发。目前该患者随访恢复良好,无复发征象。

查看更多
专家点评
本病例为一例胃窦腺癌患者,采用了腹腔镜辅助下的D2+CME胃癌根治术。经过十年深耕,本团队构建了完善的胃癌外科治疗理论框架:首先,提出了“胃癌第五转移模型”,为深入理解肿瘤转移机制及科学界定手术范围奠定了理论基础。其次,建立了PSD解剖学模型,旨在精准解析胃系膜的解剖结构,为手术中的精细操作提供了明确的解剖学依据。最后,创新性地提出了“D2+CME手术”理念,在传统D2淋巴结清扫的基础上,强调了胃系膜的完整切除,从而实现了更为彻底的根治性治疗目标。
该手术方案展现了多方面的核心优势。在近期疗效方面,相关研究成果已发表于Nature Medicine,证实该术式在缩短患者术后恢复时间、减少并发症发生等方面表现优异。在远期疗效方面,目前的随访数据初步显示,D2+CME手术能够显著提高患者的3年生存率,其远期生存获益已开始显现,完整的数据仍在进一步收集与统计之中。此外,该方案的理念具有显著的创新性,它将系膜的完整切除与规范的淋巴结清扫有机结合,突破了传统手术的局限,为胃癌的根治性治疗提供了更为科学的外科路径。