查看更多
密码过期或已经不安全,请修改密码
修改密码
壹生身份认证协议书
同意
拒绝
同意
拒绝
同意
不同意并跳过
基本资料
性别:男
年龄:66岁
身高:171cm
体重:64kg
主诉: 腹部不适月余,诊断为直肠恶性肿瘤
现病史:直肠恶性肿瘤
既往史/家族史:无
辅助检查
体格检查:良好
2017-9行腹腔镜下直肠癌根治术(Dixon)+末端回肠造口术,术后进行8周期CapeOX辅助化疗。
治疗方案:
一线治疗方案:
2018-9出现肺转移,给予XELIRI方案治疗4周期。
病理检查结果:无
二线治疗方案:
2018-12出现肝转移,给予FOLFOX6方案化疗,同时进行肝穿刺活检行基因检测-KRAS2突变,加用贝伐珠单抗。3周期后PD。
2019-2中旬CT评估:

基因检测结果:

具有临床意义的变异:
KRAS 基因p.Gly13Asp
APC 基因 p.Glu1538*
APC 基因 p.Arg332*
APC 基因 p.Tyr935*
FBXW7 基因 p.Arg479*
MET 基因 拷贝数扩增
TP53 基因 p.Gly245Ser
肿瘤突变负荷(TMB)
11.9 个突变/Mb
胚系致病变异
未检出
三线治疗方案:
2019-2,瑞戈非尼( ReDOS给药方法),一月后疗效评价:SD(RECIST1.1标准增大13.1%)
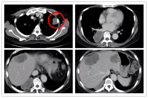
2019-2中旬CT评估

2019-3下旬CT评估

2019-4-10后线治疗:
瑞戈非尼80mg 3w/1w+纳武单抗 200mg q2w,接受4次纳武单抗后进行评估。
2019-3下旬CT评估

2019-5下旬CT评估

疾病进展检查结果:
CT评估(肺部病灶)




病例总结:
1.REGONIVO方案在多线治疗后的MSS晚期结直肠癌患者中,体现出了较常规方案更高的疗效。
查看更多