壹生大学

壹生身份认证协议书

本项目是由壹生提供的专业性学术分享,仅面向医疗卫生专业人士。我们将收集您是否是医疗卫生专业人士的信息,仅用于资格认证,不会用于其他用途。壹生作为平台及平台数据的运营者和负责方,负责平台和本专区及用户相关信息搜集和使用的合规和保护。
本协议书仅为了向您说明个人相关信息处理目的,向您单独征求的同意,您已签署的壹生平台《壹生用户服务协议》和《壹生隐私政策》,详见链接:
壹生用户服务协议:
https://apps.medtrib.cn/html/serviceAgreement.html
壹生隐私政策:
https://apps.medtrib.cn/html/p.html
如果您是医疗卫生专业人士,且点击了“同意”,表明您作为壹生的注册用户已授权壹生平台收集您是否是医疗卫生专业人士的信息,可以使用本项服务。
如果您不是医疗卫生专业人士或不同意本说明,请勿点击“同意”,因为本项服务仅面向医疗卫生人士,以及专业性、合规性要求等因素,您将无法使用本项服务。

同意

拒绝

同意

拒绝

知情同意书

同意

不同意并跳过

工作人员正在审核中,
请您耐心等待
审核未通过
重新提交
完善信息
{{ item.question }}
确定
收集问题
{{ item.question }}
确定
您已通过HCP身份认证和信息审核
(
5
s)

八年坚持不懈,浙大二院填补领域空白!难治性骨与软组织肿瘤临床研究领域取得重大突破!

2025-10-27作者:CMT琳资讯
原创


2025年8月28日,国际知名医学期刊《Med》(Cell出版社医学旗舰刊)在线发表了浙江大学医学院附属第二医院骨科叶招明教授团队牵头完成的一项重要原创性临床研究成果,题为《PD-1抗体联合安罗替尼对比单用安罗替尼治疗难治性软骨肉瘤:一项多中心、非随机、Ⅱ期FLAIL-C试验》 (Anti-PD-1 antibody plus anlotinib vs. anlotinib alone in patients with refractory chondrosarcoma: A multicenter, non-randomized phase 2 FLAIL-C trial)。



该研究标志着浙大二院骨科在难治性骨与软组织肿瘤临床研究领域取得重大突破,开始在国际舞台上引领诊疗发展方向。

骨科

难治性软骨肉瘤:只能听天由命?

研究成果有什么临床意义?

软骨肉瘤是一种对化疗和放疗均不敏感的罕见原发恶性骨肿瘤。对于晚期不可切除或转移性患者,国际上迄今为止仍缺乏标准治疗方案,预后极差,一直是骨与软组织肿瘤领域面临的重大临床挑战。


叶招明教授领导的浙大二院骨肿瘤团队多年深耕骨软肿瘤领域的临床与转化研究,积累了丰富的经验。为解决这一临床难题,团队基于前期研究成果(Clinical Cancer Research,2021),设计并牵头开展了这项全国多中心临床研究(FLAIL-C试验):



(1)本研究作为全球首个在软骨肉瘤中探索免疫治疗有效性的对照性临床研究,基于前期成果设计临床试验,采用联合治疗方案,为难治性软骨肉瘤患者提供了新的治疗选择。


(2)研究证实联合治疗方案疗效显著:在全人群中将6个月无进展生存率提高两倍,疾病进展风险降低86%。特别是在恶性程度最高的去分化软骨肉瘤亚型中,联合治疗将治疗有效率提升近四倍,中位总生存期延长55.4%,创造了该疾病治疗的新纪录。


(3)团队通过深入的转化研究揭示了疗效背后的科学机制:首次发现肿瘤内"效应记忆T细胞(Tems)"的数量与治疗反应显著相关,且所有治疗有效的患者均存在IDH1/2基因突变,为未来实现精准的个体化治疗提供了重要生物标志物。


(4)研究成果具有直接的临床指导价值,为晚期软骨肉瘤患者,特别是去分化软骨肉瘤这一预后最差亚型的患者提供了明确的治疗选择,填补了该领域空白,有望改写临床实践指南。


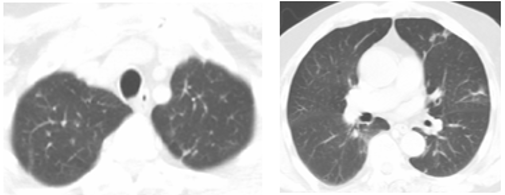
图:治疗前,肺部多发转移

(蓝箭头标出)


图:治疗后,病灶几乎完全消失


本文最后通讯作者叶招明教授认为,本研究基于该瘤种迄今为止全球范围内最高级别的临床证据证实,手术无法切除的软骨肉瘤可通过联合疗法得到较为满意的治疗效果,为这一罕见肿瘤的治疗提供了新的契机。本研究体现了骨科对浙大二院“回答别人没有回答的问题,解决前人没有解决的问题”历史使命的深入理解,展现了坚持创新发展的理念,构建了从基础研究到临床实践的完整科学研究链条,是骨科坚持以临床问题为导向开展研究的典范。目前,骨科作为全球Ⅲ期多国多中心临床试验的中国区牵头单位,已开展进一步的软骨肉瘤临床研究。


本文第一作者、试验设计者李冰皓副主任医师表示,本研究从2017年的基础研究起步,到2021年开始协调临床试验,通过长达八年的持续探索,最终得出了可靠的临床结论,体现了团队对靶向免疫治疗理解的新高度。研究团队将继续开展骨与软组织肿瘤的前沿研究,致力于解答领域内的国际难题。


该研究由浙江大学医学院附属第二医院骨科牵头,联合北京大学人民医院谢璐教授团队、南京大学医学院附属金陵医院周光新教授团队、天津医科大学肿瘤医院杨吉龙教授团队等全国7个三甲医院的骨肿瘤团队共同完成。


《Med》是细胞出版社(Cell Press)旗下综合性医学旗舰期刊,旨在发表具有广泛医学影响力和重要临床意义的转化医学研究,是中国科学院医学1区Top期刊。


解读人介绍



李冰皓

浙大二院骨科

副主任医师 博士生导师


国家公派哈佛医学院联合培养博士,浙江大学“临床拔尖青年人才”培育对象,浙江省杰青基金获得者,中国临床肿瘤学会(CSCO)肉瘤专家委员会委员。师从骨肿瘤专家叶招明教授及肿瘤免疫专家Mark C. Poznansky教授。


主持国家自然科学基金3项,作为第一或通讯作者发表基础及临床研究论著10余篇,作为PI主持GCP临床试验3项、研究者发起多中心临床试验2项,Key-Sub-I参与临床试验10余项,多次受邀在骨肿瘤国际权威学术会议ISOLS口头讲演骨肿瘤相关研究。


来源 | 浙大二院


200 评论

查看更多