查看更多
密码过期或已经不安全,请修改密码
修改密码
壹生身份认证协议书
同意
拒绝
同意
拒绝
同意
不同意并跳过
7岁男孩,主因“右眼红肿1周,渐加重”入院。主要表现为发热、右眼红肿伴疼痛,视物不清。既往自诉“鼻塞”2年余。查体:右侧眼睑红肿明显,皮温增高,眼睑下垂遮瞳3/4,闭合不全,右眼球突出,向外下移位,上下转、内外转均受限,双侧瞳孔对光反射灵敏。查眼部核磁示右眼球突出、右侧筛窦、上颌窦异常信号,CT示右侧眼眶上象限肌锥外间隙异常密度影并合并泪腺、眼睑、眶周及颌面部软组织肿胀,延伸至眶尖区。右侧眼球明显突出,右侧泪腺脱垂,右侧额窦、筛窦、上颌窦及蝶窦炎。眼部超声示:右内上眼眶内浑浊液区,右眼眶内积脓。诊断右眼眶蜂窝织炎、眶内脓肿、急性鼻窦炎。急行鼻内镜下右侧全组鼻窦开放术+眶减压术+鼻窦支架置入术。术中探查脓肿位于眶上壁骨质和眶筋膜之间,可见大量白色稀薄脓液。术后予头孢哌酮舒巴坦静点,利奈唑胺口服抗感染,抗生素滴眼液滴眼等。患儿遗留右上睑下垂,自诉复视,眼超声示眶内脓肿吸收,眼专科检查(视力、眼位、眼底、视觉诱发电位等)均大致正常。
儿童眶脓肿
一、眼眶解剖结构
眼眶是呈水平位的锥形结构,有上、下、内、外四壁,尖端位于颅内。周围有鼻旁窦,即上方的额窦、内侧的筛窦和下方的上颌窦(图 1A)。眼眶覆盖有骨膜。眶隔是一层由眶骨膜延伸到睑板的薄膜,构成眶间隔的前界(图 1B)。眼眶内容物有眼球、视神经、眼外肌、泪腺、脂肪、血管、神经等。眼眶骨壁上及骨壁之间存在着许多解剖裂隙和管道,有血管和神经通过。眼眶内有组织间隙,一般分为:(1)骨膜下间隙:位于眶骨膜与眶骨之间,存在病灶时可伴骨质改变,可致眼球突出、并向病灶的对侧移位。(2)肌锥外间隙:位于眶骨膜与肌圆锥之间,前界为眶隔,存在病灶时眼球可突出、移位,且眼球运动可能受限。(3)肌锥内间隙:位于眼外肌及其肌间膜围成的肌圆锥内,存在病变时一般不累及眼睑及结膜,眼球可向前方突出,眼球转动可不受限,但视力可受影响。(4)巩膜周围间隙:位于眼球筋膜与巩膜之间的潜在间隙。

图1 眼眶解剖图 图1A示左眼眶及毗邻鼻窦;图1B示眼眶前后分隔,白色虚线为眶隔(源:2021 UpToDate, Inc. and/or its affiliates)
二、眶内蜂窝织炎与眶脓肿
眶隔前蜂窝织炎(图 2A)是眶隔前的软组织感染,眶内蜂窝织炎(图 2B)是眶隔后的感染。眶隔前蜂窝织炎通常为轻症,很少导致严重并发症,而眶内蜂窝织炎可能导致视力丧失甚至死亡。眶内蜂窝织炎最常见的并发症是眶骨膜下脓肿(图 2C)和眶内脓肿(图 2D)。1.眶骨膜下脓肿,最常见于筛骨纸板和眶骨膜(眶内侧壁)之间,也可位于眶上壁。在炎症阻塞窦腔时,细菌及炎症产物通过菲薄的眶纸板进入骨膜下间隙,由于骨膜的屏障作用使得炎症在骨膜外侧受阻,暂时不能进入眼眶,而在局部形成脓肿,即眶骨膜下脓肿。2.眶内脓肿,感染继续蔓延突破骨膜,或眶内蜂窝织炎加重,导致组织坏死,可形成眶内脓肿(图 2D)。此外,感染可继续蔓延至眶尖和/或颅内。累及眶尖时,可因眶压过高,或炎症和毒素直接侵犯视神经导致视力下降和瞳孔异常。累及颅内时,可引起硬膜外或硬膜下积脓、脑脓肿、脑膜炎、海绵窦血栓形成(图 2E) 或硬脑膜窦血栓形成。

图2 眼眶蜂窝织炎分类:图2A示眶隔前蜂窝织炎,蓝线示眶隔;图2B示单纯性眶内蜂窝织炎;图2C示眶骨膜下脓肿;图2D示眶内脓肿;图2E示海绵窦血栓。(源:Periocular Infections. Mandell, Douglas, and Bennett’s Principles and Practice of Infectious Disease.January 1, 2020)
三、儿童好发因素及感染途径
1.儿童好发眶脓肿的原因:(1)鼻腔及鼻道狭窄,鼻窦发育不全,感染后黏膜肿胀较重,分泌物较多,导致窦腔内短期积累大量脓液,窦腔内炎症反应可向薄而不连续的纸样板扩散,或经无静脉瓣静脉系统扩散,发展迅速;(2)儿童机体免疫系统尚未发育成熟;(3)额筛缝及颌筛缝多未封闭;(4)眼眶周围组织血管和淋巴管比较丰富。
2.感染途径:(1)直接感染,如眼外伤(眼球挫伤、眶内异物或球内异物),昆虫叮咬;(2)血性感染,尤其是头、面部疖肿;(3)眶旁组织炎症蔓延,如筛窦炎、上颌窦炎、全鼻窦炎、副鼻窦炎、上颌骨骨髓炎、牙周炎、流行性腮腺炎,眼部疾病(如麦粒肿、急性结膜炎、急性或慢性泪囊炎、全眼球炎等)。急性鼻窦炎是儿童眼眶蜂窝织炎的主要致病原因,筛窦炎最常见,全鼻窦炎及上颌窦炎也常见。眼眶的解剖结构特点(裂隙、裂孔、管道)及与鼻窦的毗邻关系是鼻眼相关疾病发生的基础。
四、眶脓肿的临床特点
1.临床表现难以区分单纯性眶内蜂窝织炎和眶脓肿:二者均起病急,进展快,好发于儿童,冬、春季节高发。临床表现:(1)眼睑红肿,球结膜高度充血、水肿,甚至暴露于睑裂之外;眼球突出;眼球运动受限,且伴眼球转动时疼痛(图3);(2)多伴有明显的全身中毒症状,如急性重病面容、体温升高、头痛、神志改变等;(3)出现视力下降和瞳孔异常提示累及眶尖;出现颅神经麻痹、剧烈头痛、呕吐、精神状态改变提示累及颅内。但是,眶脓肿患者眼球突出、眼球运动受限、眼球运动痛通常重于单纯性眶内蜂窝织炎。
2.不同位置的眶骨膜下脓肿,眼位可不同。眶内壁骨膜下脓肿,眼位外移;眶内下壁骨膜下脓肿,眼位常向外上方移位;眶上壁骨膜下脓肿,眼位下移,可出现上睑下垂(本例患儿)。不行影像学检查,难以鉴别眶骨膜下脓肿和眶内脓肿。

图3 眶内蜂窝织炎:可见右侧眼睑红肿,球结膜充血、水肿,眼球突出,眼位不正(向下移位)(源:Periocular Infections. Mandell, Douglas, and Bennett’s Principles and Practice of Infectious Disease.)
3.实验室检查及影像学检查:
(1)血常规+C反应蛋白(CRP)等示炎症指标升高。
(2)影像学检查:①鼻窦及眼眶CT是儿童眼眶蜂窝织炎临床诊断及鉴别诊断的必要依据,具有重要临床意义。可以协诊病变范围和程度、毗邻骨壁和眼外肌累及情况、鼻窦炎程度及其与眼眶感染的关系,显示脓肿形成及部位,提示切开排脓的手术时机、方法、路径等。应作为常规检查方法。眶骨膜下脓肿和眶内脓肿在CT片上表现为低密度积液,常邻近筛窦。骨膜下脓肿位于骨膜和骨性窦壁之间(图4A)。②眼眶MR显示眶内软组织较CT好,但对于眶壁骨质改变不如CT 敏感和准确。③眼彩超简便迅速,眶内脓肿彩超表现为不规则暗区。

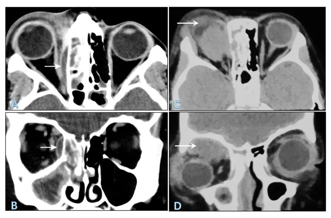
图4 眼眶和鼻窦CT:图4A眼眶软组织窗横断位,图4B冠状位,箭头示眶内侧壁骨膜下脓肿;图4C横断位,图4D冠状位,箭头示眶内脓肿,位于右侧眼眶上象限肌锥外间隙(源:图4A,4B Copyright © 2004 Lippincott Williams &Wilkins.图4C,4D源自本患儿影像资料.)
(3)病原学检查:经常难以确认,血培养阳性率0~33%不等。手术干预时可从眼眶、鼻窦取样进行培养。眶内蜂窝织炎最常见的病原体是金黄色葡萄球菌和链球菌,常见需氧菌和厌氧菌混合感染。
五、诊断及鉴别诊断
1.眶脓肿诊断标准:(1)临床表现:眼眶软组织或眶深部的红肿热痛,眼球突出,眼球运动障碍,眼球转动时疼痛等;发热、头痛,合并颅内感染时伴意识障碍等。(2)实验室检查:白细胞、CRP明显增高。(3)影像学检查:眼眶/鼻窦 CT、MRI等示眶骨膜下和/或眶内脓肿形成。2、鉴别诊断:(1)眶隔前蜂窝织炎:两者均可表现为眼痛、眼睑红肿,发热,可以是同一疾病的不同阶段,可以相互扩展。但是,眶隔前蜂窝织炎一般仅表现为眼睑的红肿、疼痛,而眼球未受累,不伴眼球突出、眼球运动障碍及眼球转动时疼痛,视力良好,瞳孔对光反射正常。CT有助早期诊断。(2)海绵窦血栓。(3)累及眼眶的毛霉菌病或曲霉菌病。(4)横纹肌肉瘤。(5) 甲状腺功能障碍性突眼。(6)眼眶炎性假瘤。
六、眶脓肿治疗
1.早期足量合适抗生素是关键。
2.手术治疗:(1)手术标准尚存在争议,有研究认为脓肿体积是手术的重要标准;另有研究认为眼球突出程度为手术干预的唯一显著预测因素。(2)建议:①对于脓肿较大(直径>10mm)的患者,强烈考虑手术治疗;②对于脓肿较小的患者,密切观察临床情况以及复查影像学,担心视力受损时需考虑手术;③若药物治疗24~48小时内临床表现或CT扫描结果无改善,则通常需手术引流;④感染蔓延至颅内的患者几乎都需要手术治疗;⑤伴重度破坏性鼻-鼻窦炎的患者需行鼻窦手术清创。
3.糖皮质激素治疗,最新研究仍没有足够证据得出使用糖皮质激素治疗眼眶蜂窝织炎的结论。在临床实践中如何使用激素差异较大。
作者:于泽谋、冯文雅
本文首发自BCH儿童感染
查看更多