壹生大学

壹生身份认证协议书

本项目是由壹生提供的专业性学术分享,仅面向医疗卫生专业人士。我们将收集您是否是医疗卫生专业人士的信息,仅用于资格认证,不会用于其他用途。壹生作为平台及平台数据的运营者和负责方,负责平台和本专区及用户相关信息搜集和使用的合规和保护。
本协议书仅为了向您说明个人相关信息处理目的,向您单独征求的同意,您已签署的壹生平台《壹生用户服务协议》和《壹生隐私政策》,详见链接:
壹生用户服务协议:
https://apps.medtrib.cn/html/serviceAgreement.html
壹生隐私政策:
https://apps.medtrib.cn/html/p.html
如果您是医疗卫生专业人士,且点击了“同意”,表明您作为壹生的注册用户已授权壹生平台收集您是否是医疗卫生专业人士的信息,可以使用本项服务。
如果您不是医疗卫生专业人士或不同意本说明,请勿点击“同意”,因为本项服务仅面向医疗卫生人士,以及专业性、合规性要求等因素,您将无法使用本项服务。

同意

拒绝

同意

拒绝

知情同意书

同意

不同意并跳过

工作人员正在审核中,
请您耐心等待
审核未通过
重新提交
完善信息
{{ item.question }}
确定
收集问题
{{ item.question }}
确定
您已通过HCP身份认证和信息审核
(
5
s)

乳此安心③丨晚期一线维迪西妥单抗联合方案助36岁HER2阳性乳腺癌患者实现颅内多病灶缓解

2025-06-04作者:大白资讯

近年来,随着抗体偶联药物(ADC)的快速发展,HER2阳性(过表达)乳腺癌治疗格局持续革新。维迪西妥单抗作为我国首个自主研发上市的ADC,已在多癌种治疗中展现突破性潜力。


本期,郑州大学第一附属医院王楠教授为我们分享一例复杂HER2过表达型乳腺癌病例。患者36岁确诊为ⅢC期乳腺癌,伴腋窝及锁骨上淋巴结转移,新辅助治疗后仍存在残留病灶,术后更进展为脑转移。通过创新采用“维迪西妥单抗联合安罗替尼”方案,同步卵巢功能保护策略,实现颅内病灶快速退缩,影像学评估显示总疗效评价为部分缓解(PR),大部分病灶完全缓解(CR),为晚期HER2阳性乳腺癌治疗提供了新思路。同时,郑州大学第一附属医院郭广成教授将深入剖析该病例的诊疗亮点,探讨ADC在乳腺癌中的临床应用价值。


病例分享


王楠 医师



郑州大学第一附属医院乳腺外二科

副主任医师 医学博士

河南省抗癌协会乳腺癌分会青年委员

河南省健康科技学会乳腺专业委员会第一届委员

河南省人工智能与机器人医用学会乳腺外科专业委员会第一届委员

郑州大学第一附属医院青年工作委员会第一届委员

Frontiers in Oncology专题主编(Case Reports in Breast Cancer: 2022)

Frontiers in Oncology评审编辑(Oncology Reviews: Original Research)

Frontiers in Immunology客座编辑

主持河南省科技攻关联合共建项目1项、河南省科技攻关省部共建青年项目1项、河南省高等学校重点科研项目1项及河南省自然科学基金青年项目1项

以第一作者发表SCI文章8篇,核心期刊文章4篇

获批发明型专利2项,获河南省科学技术成果奖3次



基本情况


基本信息:女性,36岁。

初次就诊时间:2024-03-21。

主诉:发现左乳肿块3天。


现病史:

  • 3天前患者自我检查发现左乳肿块,约“鸡蛋”大小,位于左乳上方,边界欠清,活动度欠佳,无局部红肿、发热、疼痛等特殊不适。1天前至外院查彩超示:①左乳低回声结节BI-RADS 4b类;②左腋窝肿大淋巴结。为进一步诊治,收住入院。

  • 发病以来,精神好,食欲差,睡眠正常,大小便正常,体重无减轻。


既往史:4年前曾行“宫腔镜治疗”及“人工授精术”;2年余前行“剖宫产术”,余无特殊。

月经生育史:初潮12岁,每次持续3天/周期30天;末次月经时间2024-01-10。月经周期不规则,月经量少,颜色正常。无血块、无痛经;无流产及引产史,剖宫产1子。

婚姻史:适龄结婚,爱人体健,夫妻感情可。

家族史及个人史:无特殊。


体格检查:双乳基本对称,双乳头居同一水平线,无内陷及湿疹样变。左乳皮肤水肿,于左乳12点位置,距乳头2cm处可及一肿物,约5cm×4cm大小,质韧偏硬,活动度差,边界欠清,无压痛。左腋窝可触及约3cm×3cm大小融合淋巴结,左锁骨上可触及约1cm×1cm大小肿大淋巴结,均质硬,活动度差,边界欠清,无压痛。右乳内未及明显肿块。右腋下及锁骨上下未触及肿大淋巴结。


辅助检查


乳房MRI:①左乳内多发异常信号,考虑BI-RADS 5类,请结合临床及病理;②左侧腋窝多发肿大淋巴结,考虑转移;③双侧乳腺增生。


图片1.png


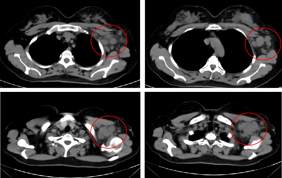
胸部CT:左乳上方局部腺体密度增厚,请结合专科检查;左腋窝及左侧胸廓内动脉旁肿大淋巴结;左肺下叶微小结节,建议动态观察。


图片2.png


乳房彩超:①左乳非肿块型实性占位性病变,范围约57mm×45mm×19mm(BI-RADS分类:4c类,考虑MT可能性大);②左侧腋窝多发异常肿大淋巴结,较大者约48mm×23mm(考虑转移);③左侧颈部Ⅴ区(锁骨上)两枚异常肿大淋巴结,较大者约8mm×7.2mm(考虑转移)。


PET-CT:①左侧乳腺多个软组织结节代谢活跃,左侧胸壁肌间及左侧腋窝多发肿大淋巴结代谢活跃,符合乳腺癌伴淋巴结转移表现;所见中央及外周骨髓代谢活跃,考虑反应性改变。②口咽双侧扁桃体代谢活跃,考虑炎性或生理性摄取;双侧筛窦及双侧上颌窦炎;双侧下鼻甲肥大;双颈部淋巴结代谢活跃,考虑炎性淋巴结。③双肺下叶少许炎症;右前胸壁皮下静脉港置入术后改变。④肝脏小囊肿。⑤肠管节段性代谢活跃,左侧附件区代谢活跃灶,考虑生理性摄取;盆腔少量积液。



穿刺活检病理:①(左乳肿块穿刺活检)浸润性癌,非特殊型,组织学分级:Ⅲ级。免疫组化AE1/AE3(+),CK5/6(-),P63(-),ER(约20%弱-中+),PR(约40%中-强+),Her-2(4B5)(3+),AR(约90%中-强+),E-cad(膜+),P120(膜+),GATA-3(+),TRPS1(+),Ki-67(约70%+)。肿瘤细胞PDL-1表达占比:0%。②(左腋窝淋巴结穿刺活检)乳腺癌浸润/转移。免疫组化:AE1/AE3(+),CK7(+),GATA-3(+),TRPS1(+),ER(40%中等+),PR(80%中等+),Ki-67(60%+),Her-2(4B5)(3+)。③(左锁骨上淋巴结TCT)镜下查见癌细胞。④基因检测示BRCA1基因体系突变。


初步诊断


1. 左乳浸润性癌(pT3N3cM0 ⅢC期,HR阳性、HER2过表达型)

2. 宫腔镜治疗术后

3. 剖宫产术后

4. 肝囊肿


诊疗经过:


  • 新辅助治疗


新辅助治疗方案:“表柔比星+环磷酰胺+吡咯替尼”×4周期,续贯“曲妥珠单抗+吡咯替尼+卡铂+白蛋白紫杉醇”×4周期。治疗过程中予卵巢功能抑制剂(亮丙瑞林3.75mg 皮下注射 q4w)保护生育能力。


疗效评估:最佳疗效评价为部分缓解(PR)。


图片3.png


  • 手术治疗


手术治疗:2024-09-23行“左乳癌改良根治术”。


术后病理:原发灶新辅助治疗后病理评估Miller-Payne分级系统:3级;残留病灶大小2.5×1.5×1.3cm,组织学Ⅱ级,未见明确脉管癌栓。ER(约60%中等+),PR(约60%中等+),Her-2(4B5)(3+),Ki-67(30%+)。左腋窝淋巴结可见转移癌(11/16);左腋尖淋巴结可见转移癌(3/3)。


  • 发现患者脑转移


放疗:患者病理缓解未达理想状态,术后行局部放疗,同时申请入组“新辅助治疗后存在浸润癌残留的HER2阳性乳腺癌辅助治疗研究”。放疗期间进行临床研究入组筛选时,发现患者存在脑转移,肿瘤负荷大。


图片4.png


  • 一线治疗


治疗方案:于放疗科行头部转移灶放疗,同期开始“维迪西妥单抗(2.0mg/kg 静脉滴注 q2w+安罗替尼(12mg qd po 服药两周,停药1周)”方案治疗,治疗过程中继续予卵巢功能抑制剂(亮丙瑞林3.75mg 皮下注射 q4w)保护生育能力。截至2025-04-17,患者维迪西妥单抗已用药9个周期。


疗效评估:颅内病灶迅速缩小,总疗效评价为PR,大部分病灶呈影像学完全缓解状态(CR)。


  • MRI(2025-02-07):右小脑半球病灶、右侧顶叶病灶明显缩小,左额叶病灶、左颞叶病灶影像学CR。

  • MRI(2025-04-17):右小脑半球病灶明显缩小且强化减弱,右侧顶叶病灶、左额叶病灶、左颞叶病灶影像学CR。

图片6.png


图片7.png


图片8.png


不良反应:治疗过程中无明显恶心呕吐等消化道反应,偶出现骨髓抑制,短效粒细胞集落刺激因子(G-CSF)可以纠正。



病例点评
guo.jpg

 郭广成 教授



郑州大学第一附属医院乳腺外科 副主任医师 医学博士

河南省医学会乳腺病学分会委员

河南省健康科技学会乳腺专业委员会常务委员

河南省中西医结合学会乳腺病分会常务委员

河南省医学会乳腺病学分会青年委员会委员

河南省抗癌协会肿瘤整形外科专业委员会委员

河南省预防医学会肿瘤预防和控制专业委员会委员

河南省抗癌协会癌症筛查与早诊早治专业委员会委员


乳腺癌的诊疗需以动态评估与精准决策为核心,尤其对于年轻、高肿瘤负荷且伴内脏转移的复杂病例,每一步治疗选择均需权衡疗效证据、耐药机制及患者个体化需求。本病例为36岁HR阳性/HER2阳性乳腺癌患者,初诊时即表现为高肿瘤负荷(原发灶5cm×4cm,腋窝及锁骨上淋巴结转移,cT3N3M0 ⅢC期),且基因检测提示BRCA1体系突变。其诊疗历经新辅助治疗、手术、脑转移后的系统治疗,全程通过动态评估与多维证据整合制定决策,最终采用局部放疗联合维迪西妥单抗+安罗替尼方案实现颅内病灶缓解,为HER2阳性乳腺癌脑转移的个体化治疗提供了重要参考。

患者初诊时肿瘤分期晚、侵袭性强,且为年轻患者,心理压力大,治疗需兼顾快速缩瘤与远期生存。主诊团队依据指南、共识及临床研究证据,选择了"表柔比星+环磷酰胺+吡咯替尼"续贯"曲妥珠单抗+吡咯替尼+卡铂+白蛋白紫杉醇"的新辅助方案,并予亮丙瑞林保护卵巢功能。该决策基于以下考量:①年轻高危患者的大肿瘤负荷需保留蒽环类药物的强效抗肿瘤作用;②避免蒽环类药物与曲妥珠单抗的心脏毒性叠加;③ER和HER2通路存在crosstalk,曲妥珠单抗联合吡咯替尼可能具有更佳疗效;④BRCA1突变提示铂类敏感性。然而,患者完成既定新辅助治疗后的术后病理评估显示,原发灶缓解不足(Miller-Payne 3级,残留灶2.5cm,腋窝淋巴结转移11/16),残留病灶Ki-67达30%,提示肿瘤的耐药倾向与高侵袭性,为后续发现脑转移埋下伏笔。

患者在术后放疗期间发现多发性脑转移(累及右小脑半球、顶叶、额叶及颞叶),传统治疗面临挑战。主诊团队经综合评估后制定"局部放疗+维迪西妥单抗+安罗替尼+亮丙瑞林”方案,决策依据包含以下三重核心考量:


第一,耐药机制导向的ADC优选策略


患者在治疗期间发生脑转移进展,这提示曲妥珠单抗与吡咯替尼原发耐药。新一代HER2靶向ADC阻断HER2信号通路、具有ADCC效应,载药释放后的细胞毒作用全面发挥肿瘤杀伤作用[1-2]。基础研究已经证明,ADC在克服曲妥珠单抗耐药和吡咯替尼耐药方面具有显著潜力[1-3]。因此,对于该患者,ADC作为后续治疗的优选方案。


第二,维迪西妥单抗的疗效与安全性优势


作为国产创新ADC,维迪西妥单抗的设计特点支撑优异临床表现:人源化IgG1抗体实现高亲和力结合与高效内吞;载药MMAE在肿瘤组织的暴露量达血清260倍,发挥精准细胞毒作用;可裂解连接子设计结合MMAE的高膜通透性,通过旁观者效应覆盖HER2异质性区域肿瘤[4-5]


Ⅲ期RC48-C006研究证实,对于既往接受过曲妥珠单抗和紫杉类药物治疗的HER2阳性晚期乳腺癌伴肝转移患者,维迪西妥单抗单药的疗效获益显著优于拉帕替尼联合卡培他滨,中位PFS翻倍获益(9.9个月vs4.9个月),且安全性良好[6]。另一项真实世界研究也证实,维迪西妥单抗作为新一代靶向HER2 ADC,在HER2表达晚期乳腺癌患者中显示出有前景的抗肿瘤活性,脑转移患者也可获益,且毒性可控[7]


大量临床试验中,维迪西妥单抗也表现出良好的安全性,主要不良反应如白细胞减少和周围神经毒性也都在可控范围,对于ADC药物常伴的FDA黑框警告如肝脏毒性、心脏毒性、间质性肺炎/肺病等, 维迪西妥单抗也未涉及或发生率非常低,是真正无需过多关注不良反应的ADC。


第三,联合治疗的协同增效机制


抗血管生成药物可促进肿瘤血管正常化,增强ADC向病灶的递送。一项回顾性研究显示,在曲妥珠单抗(97.01%)和吡咯替尼(100%)经治患者中,维迪西妥单抗联合方案的中位PFS达8.97个月,显著优于单药(4.99个月)[8]。安罗替尼作为多靶点TKI,通过抑制VEGFR2/PDGFR/FGFR等靶点发挥抗血管生成及直接抑瘤作用,回顾性数据亦支持其对脑转移的控瘤能力[9]


以上考量在本例患者身上得到了有效验证。依从性方面,患者规律接受既定方案治疗,截至2025-04-17,维迪西妥单抗已用药9个周期;疗效方面,脑转移病灶缩瘤快速且显著,右小脑半球病灶明显缩小且强化减弱,右侧顶叶病灶、左额叶病灶、左颞叶病灶均已影像学CR;安全性方面,患者无明显恶心呕吐等消化道反应,偶出现轻度可控的骨髓抑制(经短效G-CSF纠正)。


综上所述,本例患者的治疗历程,既是ADC临床价值的生动体现,也为复杂HER2阳性乳腺癌提供了可复制的临床路径:乳腺外科、肿瘤内科、放疗科及影像科紧密协作,将年轻患者的生育需求和心理状态纳入决策考量,基于最前沿的循证证据与指南/共识建议,结合患者个体化情况,制定最合适的治疗方案,并进行规范的动态监测与评估。本病例的成功印证了“精准分型指导方案迭代、动态评估驱动决策优化”的诊疗理念,未来,随着多组学技术的深度应用与创新药物的序贯布局,乳腺癌诊疗将迈向更高效、更人性化的个体化医学新高度,为更多患者创造生存新曙光。



参考文献:

1. Sandra M Swain et al. Nat Rev Drug Discov. 2023 Feb;22(2): 101-126.

2. Schlam I et al. Cancers (Basel). 2022 Aug 18;14(16): 3996.

3. Park J, et al. Sci Rep. 2023 Dec 19;13(1):22648.

4. Jiang J, et al. Eur J Pharm Sci. 2016;93:274-286.

5. Li L, et al. Eur Rev Med Pharmacol Sci. 2020 Dec;24(24):12929-12937.

6. Jiayu Wang, et al. 2024 SABCS PS8-06.

7. Can Yang, et al. 2024 ASCO. Abstract e13011

8. Yiqun Li, et al. 2024 ASCO. Abstract e13022

9. Qian Y, et al. Front Oncol. 2022;12:1042451. Published 2022 Dec 9.



200 评论

查看更多