查看更多
密码过期或已经不安全,请修改密码
修改密码
壹生身份认证协议书
同意
拒绝
同意
拒绝
同意
不同意并跳过

点击可查看全部荐读章目
第二节
气管、支气管病变
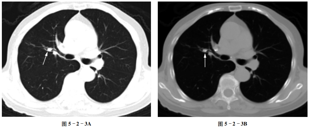
例3 支气管结石
【病史摘要】 女性,75岁。反复咳嗽,有糖尿病病史。

【CT征象】 右肺上叶后段局部支气管稍扩张,其管腔内见结节状钙化密度影(箭头),支气管管腔狭窄。右肺门见淋巴结钙化影(图5-2-3A、B)。
【重要征象】 支气管腔内结节状高密度影,CT值>100 HU。
【CT拟诊】 ① 支气管结石。② 支气管肿瘤。③ 支气管异物。
【病理诊断】 支气管结石。
【评述】
支气管结石是指支气管腔内存在钙化或骨化的物体,或支气管周围的结节致支气管树变形为特征的一种疾病,通常是慢性肉芽肿性炎症后钙化的淋巴结侵入邻近支气管内或使支气管扭曲走行,偶尔继发于腔内异物的钙化。临床主要表现为反复咳嗽、咯血、胸痛,偶尔咳出结石,可反复感染。
CT表现
① 钙化的物质多位于支气管内,少数位于支气管周围伴支气管变形。有时支气管周围的淋巴结亦钙化,在CT上位于支气管内,与部分容积效应有关。
② 支气管管腔阻塞或狭窄,此表现与支气管内钙化的淋巴结有关。支气管壁的水肿或出血而造成肉芽组织增生引起支气管管壁增厚时亦会引起此改变。
③ 可伴发阻塞性肺气肿、阻塞性肺炎及阻塞性肺不张,常由于支气管管腔狭窄引起。
④ 支气管扩张,多发生于慢性反复感染的患者。支气管结石没有软组织肿块影是一个重要特征。
鉴别诊断
① 支气管异物:诊断支气管异物最重要的是有吸入异物的病史,结合病史判断吸入异物的性质及其密度,与CT所见吻合则基本可以确定诊断。
② 肺癌、肺腺瘤等支气管腔内肿瘤:支气管内结节或肿块可引起支气管狭窄或阻塞,但支气管内肿块常无钙化。唯一例外的情况是类癌可致支气管内钙化或骨化,所以CT虽可诊断支气管结石,但需排除肿瘤后诊断,且应在CT诊断后建议行支气管镜检查。
活动页面累计签到4天获半年数字报
活动页面累计签到8天获1年数字报
活动页面累计签到15天同时阅读所有本书荐读章目者获实体书抽奖机会
[抽奖说明:本次活动抽奖名额根据书籍情况不同,本书抽奖限额2名,获奖者免费获赠《CT读片指南》实体书(附赠主编签名照)]

👆(截图至微信扫码享限时折扣优惠购书)👆
查看更多