200
评论
查看更多
密码过期或已经不安全,请修改密码
修改密码
壹生身份认证协议书
同意
拒绝
同意
拒绝
同意
不同意并跳过
现病史
58岁中年男性,主诉左腹股沟可复性肿块2年。
既往史、家族史、个人史
无特殊。
辅助检查
(1)体格检查:左腹股沟区站立位可触及直径约3cm肿块,质地软,不进入阴囊,平卧可自行回纳。
(2)实验室检查:无异常。
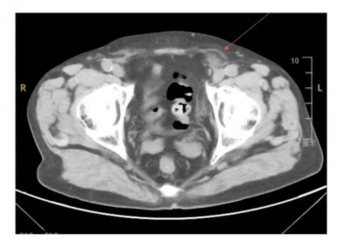
(3)影像学检查:腹部B超提示左侧腹股沟区肿块与腹腔相通,为左侧腹股沟疝;腹部平扫CT显示左侧腹股沟区突出的疝块,且疝块不大。

初步诊断
左腹股沟复发疝
手术及术中情况
拟定手术:TAPP术式。
手术依据:鉴于患者首次手术为开放腹部修补手术,此次复发选择腹腔镜术式。
术中情况(详细解析见原视频)
术后情况及预后
(1)手术区域愈合好,阴囊无血肿;
(2)术后24小时出院;
(3)术后随访无复发。
查看更多
专家点评
本病例为一例复发性腹股沟疝患者,其病情具有典型的复杂性。患者首次手术为斜疝,复发后疝的类型转变为直疝。尽管直疝疝囊的分离相对容易,但复发导致局部形成了严重的瘢痕粘连。
手术面临的核心难点在于,由粘连和解剖结构紊乱引发的双重风险。
首先是瘢痕粘连带来的直接风险。在分离粘连组织时极易引发出血,导致手术视野模糊,严重影响了对解剖结构的辨认。此外,解剖结构的紊乱叠加腹腔空腔脏器的粘连,最常见的意外是肠管被切开,其发生率可达10%-20%。一旦发生,将使原本的无菌手术转为污染手术,显著增加治疗的难度。
其次是解剖与补片相关的间接挑战。目前尚无完全防粘连的补片材料,补片与肠壁发生粘连后可能引发脓肿、窦道等并发症,若发生感染则需将补片取出,这对医生的粘连分离技巧与临床经验提出了很高要求。
处理此类病例的关键原则在于,将术前评估与精细操作置于核心地位。首先,术前评估必须优先于手术操作。术者应通过腹腔粘连CT分级评估,明确粘连的范围与严重程度,从而避开前次手术疤痕粘连严重的部位来选择最佳手术入路。其次,精细的解剖分离是手术成功的前提。粘连松解是复发疝手术的核心步骤,只有通过彻底而谨慎的分离,才能清晰地显露解剖结构,从而有效降低出血与脏器损伤的风险,提升手术成功率。最后,需谨慎把控手术策略与具体操作。在腹腔镜手术中应始终坚持精细操作,避免因出血或视野不清而轻易决定中转开放;同时,必须高度重视补片相关问题,充分考虑补片可能加剧粘连的潜在影响,以及一旦感染后需取出补片的复杂后续处理,这些均考验着医生长期积累的临床经验。