查看更多
密码过期或已经不安全,请修改密码
修改密码
壹生身份认证协议书
同意
拒绝
同意
拒绝
同意
不同意并跳过

近年来,随着靶向联合免疫治疗方案在肝癌领域深入的探索,靶向联合免疫药物的治疗方案已成为晚期肝癌一线治疗的重要模式之一。基于此,靶免联合方案在肝癌围术期治疗领域的探索正大量展开。但值得注意的是,目前尚未有大型III期研究取得成果并为临床实践提供高级别循证证据,同时也表明肝癌围术期系统治疗的探索仍然大有可为,亟需广大临床工作者突破探索。阿帕替尼联合卡瑞利珠单抗的“双艾”方案在原发性肝癌诊疗领域成绩斐然,同时也在可切除肝癌患者围手术期治疗中显示了十足潜力。CARES-310研究显示,“双艾”组合在晚期肝癌的一线治疗中具有良好的疗效与安全性。2023ASCO大会上,“双艾”方案用于伴中/高复发风险的可切除肝细胞癌患者治疗的II/III期研究重磅亮相,结果显示,双艾治疗组患者的主要病理缓解(MPR)率为46.2%(24/52),病理完全缓解(pCR)率为5.8%(3/52),充分展现了“双艾”方案用于可切除肝癌患者围术期治疗的潜能。
本期将为大家分享由复旦大学附属中山医院周晨浩医生带来的“双艾”组合用于肝癌患者围手术期治疗的经典案例,并特邀复旦大学附属中山医院易勇教授围绕该病例作精彩点评。
病例分享医生
复旦大学附属中山医院
周晨浩 医生
病例点评专家
复旦大学附属中山医院
易勇 教授
周晨浩 医生
复旦大学附属中山医院肝肿瘤外科医师、助理研究员
复旦大学“卓越住院医师”临床博士后
复旦大学与美国德州大学MD安德森癌症中心联合培养博士
长期从事肝癌微环境及临床转化相关研究
以第一或通讯作者(含共同)在Gastroenterology, Journal of hepatology, Theranostics等期刊发表SCI论著22篇(累计影响因子190分)、中文核心1篇
其中一篇成果被国家卫健委写入《原发性肝癌诊疗指南》
作为项目负责人主持国家自然科学基金青年项目、上海市青年科技英才扬帆计划、中国博士后科学基金面上及站中特别资助项目、复旦大学附属中山医院青年基金及科技创新基金孵化项目
基本情况

病例资料
患者男性,28岁。
首次入院时间:2023-2-17。
主诉:右上腹痛、发现肝占位1周。
既往史: 既往乙肝病史,规律口服“恩替卡韦”抗病毒治疗,否认高血压、糖尿病、心脏病等,否认手术外伤史,否认药物及食物过敏史。
辅助检查
生化检查:
HBsAg(+),HBeAg(+),HBeAb(+),HBcAb(+);AFP>60500ng/ml;CEA:2.4ng/ml;DCP:2561mAU/ml;PT:12.5s;Hb:134g/L;PLT:208X10^9/L;WBC:6.21X10^9/L;TB:10.6μmol/L;Alb:40g/L;ALT:25U/L;AST:32U/L;AFP-L3:0.9%。
肝脏弹性:肝右叶实质的弹性硬度测值平均为11.1kPa。
影像学检查:
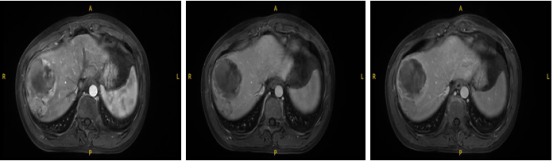
腹部MRI(2023-02-21): 肝右叶近膈顶及肝右叶下角处MT(恶性肿瘤);双肾小囊肿。
临床诊断
肝细胞癌(CNLC分期:IIa期;Child-Pugh A级 ;PS 0分),慢性乙型病毒性肝炎,乙肝后肝硬化,单纯性肾囊肿
治疗方案
2023年2月27日起予以患者甲磺酸阿帕替尼250mg qd + 卡瑞利珠单抗200mg q3w的“双艾”方案进行治疗。
疗效评价1
经评估对比,用药后肿瘤稳定,对比之前肿瘤活性减弱,肿瘤边界清晰,具备手术条件。
用药后腹部MRI(2023-4-3):肝右叶近膈顶及肝右叶下角处MT,较2023-02-21片病灶部分坏死;双肾小囊肿;肝门部及腹膜后稍大淋巴结。
治疗经过2
2023-04-06综合评估后行肝右叶部分切除术:特殊肝段切除术(VIII段病灶:φ9*8cm;V段病灶:φ2.5cm;III段病灶:φ0.5cm)+ 肝十二指肠韧带淋巴结清扫术,术顺。
术后病理:肝细胞癌;VIII段病灶部分坏死,残留肿瘤约40%;V段病灶凝固型坏死;III段病灶有活性;肝门淋巴结(-);肝切缘未见癌累及,周围肝组织未见结节性肝硬化。
疗效评价2
术后情况:患者术后精神、食纳及睡眠可。大小便正常,体重无明显下降。因考虑癌组织侵犯肝被膜等复发因素,术后1月预防性TACE(EADM 40mg + 碘油3mI制成混悬液栓塞)一次。患者体能和肝功能状况良好,对药物耐受性良好,因此,术后辅助治疗继续予以甲磺酸阿帕替尼250mg qd + 卡瑞利珠单抗200mg q3w。未次随访时间为2023年10月9日,AFP正常,未复发。
AFP及DCP变化趋势:
开始治疗至今AFP及DCP变化趋势图
诊疗历程
病例小结
本例患者被确诊为肝细胞癌(CNLC-IIa期;Child-Pugh A级),考虑到患者较为年轻,身体状况及肝功能转态良好,为获得更高的手术安全性,减少微血管侵犯与微转移灶,减少术后复发风险,决定予以靶免联合方案的新辅助治疗后再行手术切除。遂于2023年2月27日起予以“双艾”方案进行术前靶免联合治疗。2023年4月3日复查腹部MRI,显示患者用药后肿瘤稳定,活性减弱,边界清晰,已具备手术条件。2023年4月6日,综合评估后行肝右叶部分切除术,术后患者状况良好。为预防癌组织侵犯肝被膜等复发因素,术后1月行预防性TACE1次。再次评估,患者体能及药物耐受性均良好,因此,继续予以“双艾”方案术后辅助治疗,降低术后复发。随访至今,患者AFP保持正常,未见疾病复发。
专家点评
易 勇 教授
复旦大学附属中山医院肝外科副主任医师、副教授、硕士生导师
兼任上海市肝病学会肝肿瘤学组组员
主要从事肝癌复发转移的基础与临床工作擅长肝癌微创外科(腹腔镜)治疗肝切除主刀经验两千余例,具有复杂肝癌、肝门胆管癌切除、晚期肝癌转化治疗等丰富临床经验
主要研究方向为微环境与肝癌转移复发负责两项国家自然科学基金项目以第一作者或通讯作者(含共同)在Journal of Hepatology等杂志发表SCI论文二十余篇
入选2013年度上海市教委晨光计划及2016年度上海市优秀青年专科医师培养资助计划
根治性手术仍为肝癌首选疗法,靶免方案蓄力围手术期治疗成最强辅助
我国原发性肝癌发病率在恶性肿瘤中排名第五、肿瘤致死病因排名第二。超过2/3的肝癌患者就诊时已处于中晚期阶段或肝病负担较重,无法接受根治性治疗,但目前根治性治疗仍然是肝癌患者获得长期生存的重要手段,肝癌的根治性治疗手段包括手术切除、肝移植和射频消融,并以手术切除为主,然而接受根治性手术切除的肝癌患者术后5年复发率一直高居不下。近年来,随着新型药物的问世,多种新型治疗模式及治疗理念逐渐普及,联合治疗特别是免疫联合靶向药物的治疗方案已在肝癌围手术期治疗中取得了值得肯定的治疗效果,肝癌的围手术期系统治疗也逐渐被提及和重视。
术前术后双布局,靶免方案一线围术期治疗潜力十足
靶免联合方案可以改善肝癌生物学行为:靶向药物和免疫药物具有协同抗肿瘤的作用。应用靶免方案新辅助治疗,可使机体释放更多肿瘤抗原和更多数量和亚群的T细胞,充分唤醒免疫应答,进而引起更大范围的抗肿瘤免疫反应。此外,有研究显示,靶免联合治疗后,肝癌患者的微血管侵犯(MVI)发生率显著下降。综上所述,靶免联合治疗对肝癌生物学行为的改善作用及MVI阳性率的降低,是患者治疗缓解后接受手术切除,获得长期生存的根本所在。
靶免联合治疗已经成为晚期肝癌的标准治疗方案,同时新的诊疗模式也正向着肝癌的术前新辅助治疗和术后辅助治疗延伸。其中,阿帕替尼联合卡瑞利珠单抗的“双艾”方案在晚期肝癌围术期治疗中显示出了十足潜力:
1.“双艾”方案一线治疗晚期肝癌疗效出众:今年7月,“双艾”组合一线治疗晚期不可切除肝细胞癌的全球多中心III期临床研究(CARES-310研究)在线发表于《柳叶刀》主刊,充分证明了“双艾”组合的出色疗效,其mOS为22.1个月,给患者带来最长生存获益希望,同时TTR1.9个月,更快的至缓解时间,减少了手术等待时间,增加患者手术的机会,达到根治手术结果。
2. “双艾”方案肝癌围术期治疗领域逐步探索:“双艾”方案联合局部治疗作为 HCC 新辅助治疗方案的疗效和安全性已被初步证实。2023年ASCO大会上,“双艾”组合的探索继续延伸至围术期治疗领域,再次掀起了晚期肝癌诊疗的研学风暴。由复旦大学附属中山医院周俭教授牵头开展的阿帕替尼联合卡瑞利珠单抗(“双艾”方案)用于伴中/高复发风险的可切除肝细胞癌患者治疗的II/III期研究结果同样震撼。结果显示,在接受手术治疗的患者中约46.2%达到MPR,而pCR约为5.8%,充分展现了“双艾”方案用于可切除肝癌患者围术期治疗的十足潜力。
3.“双艾”方案在术后辅助治疗领域也进行了重点布局:2023ESMO大会上,中国医学科学院肿瘤医院赵宏教授团队的一项Ⅱ期研究成果入选壁报交流(大会摘要号:724P)。该研究在根治性切除术后HCC患者中采用“双艾”作为辅助治疗,展现了良好的疗效和安全性。此外,一项由樊嘉院士牵头开展的“双艾”用于肝细胞癌根治性手术或消融后伴高复发风险人群辅助治疗的 III 期临床正在火热开展中,期待该研究早日公布最终结果,为肝癌辅助治疗带来全新优效选择。
综上,靶免联合治疗方案可以改善肝癌生物学行为,提升根治性手术成功率,降低复发。考虑患者较年轻,体能状况良好,为抑制肿瘤生长,降低患者肝功能负担,综合手术时间间隔、缩瘤效果及药物可及性,临床医生选择“双艾”方案对该患者进行围手术期治疗,为患者争取最大获益。
近年来,肝癌围术期治疗的探索取得了一定突破,以靶免联合治疗方案为代表的药物治疗潜能逐渐被发掘。但临床中并非所有患者都能从中获益,不同的患者人群究竟适合哪种治疗方案,目前还没有定论,未来还需进一步探索围术期治疗的生物标志物和预后指标,来帮助临床医生细分不同患者人群并选择不同的方案,从而实现个体化、精准化的围术期肝癌治疗。
查看更多