壹生大学

壹生身份认证协议书

本项目是由壹生提供的专业性学术分享,仅面向医疗卫生专业人士。我们将收集您是否是医疗卫生专业人士的信息,仅用于资格认证,不会用于其他用途。壹生作为平台及平台数据的运营者和负责方,负责平台和本专区及用户相关信息搜集和使用的合规和保护。
本协议书仅为了向您说明个人相关信息处理目的,向您单独征求的同意,您已签署的壹生平台《壹生用户服务协议》和《壹生隐私政策》,详见链接:
壹生用户服务协议:
https://apps.medtrib.cn/html/serviceAgreement.html
壹生隐私政策:
https://apps.medtrib.cn/html/p.html
如果您是医疗卫生专业人士,且点击了“同意”,表明您作为壹生的注册用户已授权壹生平台收集您是否是医疗卫生专业人士的信息,可以使用本项服务。
如果您不是医疗卫生专业人士或不同意本说明,请勿点击“同意”,因为本项服务仅面向医疗卫生人士,以及专业性、合规性要求等因素,您将无法使用本项服务。

同意

拒绝

同意

拒绝

知情同意书

同意

不同意并跳过

工作人员正在审核中,
请您耐心等待
审核未通过
重新提交
完善信息
{{ item.question }}
确定
收集问题
{{ item.question }}
确定
您已通过HCP身份认证和信息审核
(
5
s)

复杂根尖病变的诊疗策略与关键技术

2026-01-20作者:Luoxiaofeng资讯
原创

banner-二维码.png

↑点击图片或扫描图中二维码查看课程详情↑



如今,微创保牙理念与功能美学需求正在重塑口腔临床诊疗逻辑,慢性根尖周病变的科学诊疗作为临床核心难点,其规范化、阶梯化治疗路径已成为口腔医师必备的核心技能。对于口腔临床医师,尤其是年轻医师而言,掌握从基础根管治疗到高阶显微手术的全流程技术,不仅是提升复杂病例处理能力的关键,更是为患者提供更精准、更微创、更具长期疗效治疗方案的必然选择。

了帮助广大口腔医生系统学习慢性根尖周病变的全流程诊疗逻辑,我们特别邀请了北京大学口腔医院门诊部翁金龙博士主讲,“优先保留天然牙” 为核心理念系统搭建 “根管治疗→根管再治疗→显微根尖手术→意向性牙再植术”的阶梯式诊疗体系,四大核心策略层层递进,覆盖从基础规范到高阶手术的全场景需求。课程深度拆解橡皮障规范使用、根管冲洗液选择、显微根尖手术10步标准流程、Kim分类评估、GTR 技术应用等关键要点,更具针对性破解美学区域诊疗痛点与 “无望患牙” 的挽救方案。

全程以大量典型临床病例为依托,通过术前术后影像对比、长期随访结果展示,深入解析治疗失败原因及解决方案,全方位直观呈现诊疗全流程。





↑扫描上方二维码/点击上方图片进入报名↑


课程时间


2026年1月29日-2026年2月4日


复杂根尖病变诊疗的诊疗策略与关键技术】训练营
由北京大学口腔医院门诊部翁金龙博士授课
以根管治疗、根管再治疗、显微根尖手术、意向性牙再植四大核心技术
系统知识体系 + 典型病例解析 + 实操步骤拆解
真正打通从诊断到治疗的全流程逻辑
助力精准提升慢性根尖周病变诊疗能力与天然牙保留率




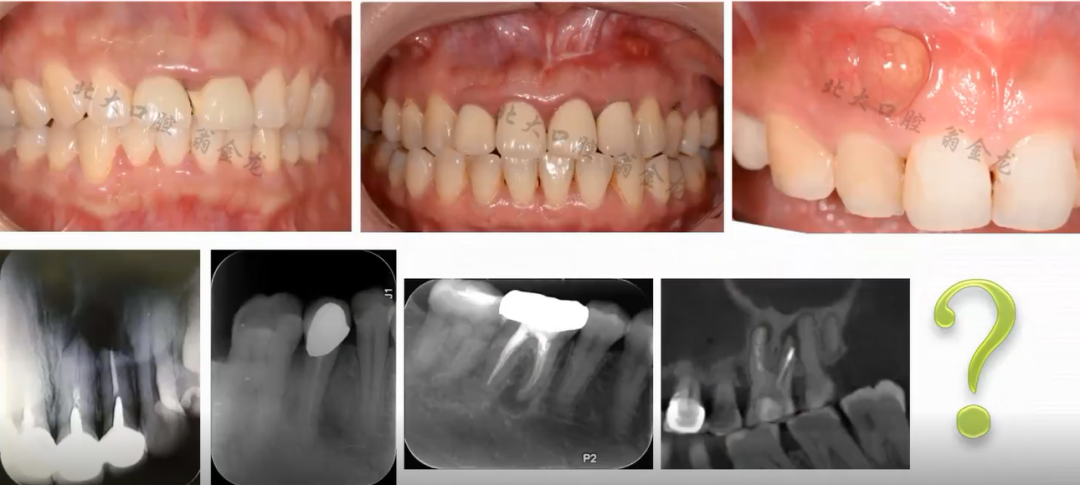
以下病例,您会考虑怎么做?
图片来源于训练营




查看课程详情与报名
↓点击图片/扫描下方图片二维码↓





200 评论

查看更多