查看更多
密码过期或已经不安全,请修改密码
修改密码
壹生身份认证协议书
同意
拒绝
同意
拒绝
同意
不同意并跳过
患者女性,18岁。
波动性右眼视力下降4个月,左下肢感觉异常3周,右手不自主抖动2周。

右眼光感较左眼弱,右眼视野缺损。
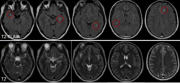
影像学检查方面,头颅MRI平扫显示,在FLAIR序列上,右侧颞叶、左侧海马旁回及左侧额叶均有病灶,呈T2-FLAIR高信号、T2稍高信号,病变位于皮层及近皮层区域。


颈椎MRI平扫及增强、胸椎MRI平扫结果显示,颈椎矢状位T2WI压脂像上髓内有多处T2稍高信号的短节段病灶,轴位显示病灶位于右侧侧索,T1WI稍低信号,增强可见轻度环状强化;胸髓可见点状T2稍高信号。

(一)颅内病灶分析

据此将疾病谱锁定为脱髓鞘类病变,并对其中常见的视神经脊髓炎(NMOSD)、髓鞘少突胶质细胞糖蛋白抗体相关疾病(MOGAD)、急性播散性脑脊髓炎(ADEM)进行分析排查。
·疾病数目:NMOSD、MOGAD及ADEM均为多发病灶,无法区分。
·病变位置:NMOSD多位于脑室周围、下丘脑、脑干背侧及胼胝体,与本病例不符;MS常见于脑室周围,也可位于皮质及近皮质区域,本病例符合;ADEM位于深部白质、基底节、丘脑、脑干,与本病例不符。
·病灶形态:MS幕上病变体积大、云雾状与本病例不符,位于脑室周围时的直角脱髓鞘征及Dawson指征本病例未出现,但位于皮质及近皮质区域时呈卵圆形与本病例相符;ADEM呈斑片状,边界模糊,垂直中线,T2及FLAIR序列高信号,且有坏死及小出血灶。
·强化特点:急性期均有强化,缓解期无明显强化。
(二)髓内病灶分析

对髓内病变的三种疾病进行鉴别:
·病灶数量:三者均多发,难以区分。
·病灶范围及位置:NMOSD病灶累及中央灰质及部分白质,横截面积大于2/3脊髓横断面;MS位于侧索,局灶性,边界清楚,多发短节段,每个病灶小于2个椎体节段;ADEM累及脊髓中央,为长节段病灶。
·信号特点:均为T2高信号,急性期均有强化。

结合颅内及髓内病灶分析,该病例从影像学上初步倾向于MS。

综合影像分析及临床特点补充,影像学诊断为多发性硬化。回顾病灶特点,颅内病灶多发,经典部位在脑室周围,也可位于皮质及近皮质区域,脑室周围可表现为直角脱髓鞘病灶、Dawson手指征及卵圆形,T2和T2 FLAIR高信号,增强扫描可强化;髓内病灶位于侧索,局灶性、短节段,T2高信号,急性期有强化。临床特殊检查结果显示血的AQP4阴性,脑脊液的寡克隆区带阳性,最终临床结合病史及检查,诊断为复发缓解型多发性硬化。

复发缓解型多发性硬化
查看更多
专家点评
(一)多发性硬化特点
MS在临床上并不少见,具有空间和时间的多样性。典型征象为双侧侧脑室旁且垂直于侧脑室分布,即直角脱髓鞘征或多发性病灶,增强强化提示病变活动期,不强化为非活动期。
(二)少见鉴别诊断病例
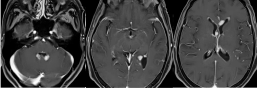
68岁女性,因记忆力减退、认知障碍伴精神症状就诊,表现为分不清上下午、自言自语与已故亲人说话。病变位于第四脑室旁、侧脑室三角区周围及胼胝体。与MS相比,年龄、症状不同,脑室旁及胼胝体受累表现不符合MS。起初一线检查报为老年性脱髓鞘改变,后经增强检查,所有病灶明显且均匀强化,室管膜也有异常强化,最终确诊为中枢神经系统淋巴瘤,PET检查也证实了该诊断。