查看更多
密码过期或已经不安全,请修改密码
修改密码
壹生身份认证协议书
同意
拒绝
同意
拒绝
同意
不同意并跳过
40岁中年男性,主诉发热5天,加重伴胸闷、气促3天。
5天前无诱因发热,热峰40℃,伴畏寒寒战、咳嗽咳黄黏痰,痰量少且不易咳出,无异味及拉丝。自行口服头孢及感冒药,病情未好转,体温不退,出现胸闷气促、乏力纳差。10月10日至上海瑞金医院就诊。
既往史
消化道溃疡伴出血、2型糖尿病病史,未规律使用降糖药,仅饮食控制,血糖控制尚可。
个人史
20年吸烟史,已戒烟,无饮酒史。
辅助检查
(1)体格检查
体温38.7℃,呼吸45次/分,窦性心动过速126次/分,血压159/80mmHg,神志偶有模糊,精神萎靡,呼吸急促,口唇无发绀,双肺闻及湿啰音,心律不齐,可闻及早搏,各瓣膜听诊区未闻及病理性杂音,全腹软,无压痛反跳痛和肌紧张,双侧皮下及双下肢无浮肿,无杵状指。
(2)实验室检查
血常规示白细胞、中性粒细胞明显增高;血磷高达220.93mg/L,有肝功能异常、电解质异常(低钠血症)、心肌酶谱异常,氧合指数降至180mmHg。
(3)影像学检查
心电图显示窦性心动过速伴室性早搏、完全性右束支传导阻滞。
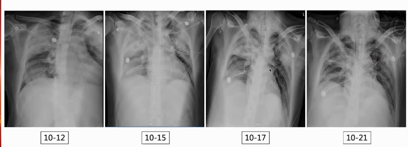
胸部CT显示双肺散在斑片状磨玻璃影伴实变。

初步诊断
1、重症肺炎;2、急性呼吸窘迫综合征;3、心律失常(频发室性早搏);4、2型糖尿病;5、消化道溃疡;6、电解质紊乱
治疗经过
初步治疗:
(1)高流量吸氧;
(2)抗感染:美罗培南 1g q8h、利奈唑胺 0.6g q12h、米诺环素 100 q12h;
(3)激素:甲泼尼龙 40mg抗炎;
(4)免疫调节:丙种球蛋白、胸腺肽免疫支持;
(5)其他支持:“比索洛尔” 控制心室率,“奥美拉唑” 抑酸护胃,“依诺肝素” 抗凝预防血栓形成、补液支持。
患者仍有咳嗽咳痰,呼吸急促,30-50次/分,高热不退38℃以上,呼吸支持需求高-高流量吸氧(40L/min,氧浓度77%),SpO2 95%,呼吸30-50次/分。
进一步检验显示肿瘤标志物轻度升高,病原学检查未获阳性依据。入院后行血液宏基因组检测,检出嗜肺军团菌,序列数达659个,心电图显示QT间期轻度延长。
根据军团菌肺炎临床特征及指南推荐,因左氧氟沙星和阿奇霉素杀菌作用明显,能在细胞内达到较高浓度并穿透肺组织,为军团菌肺炎首选治疗用药。一般治疗至少5天,临床情况稳定且至少48小时无发热可停药,重症或有慢性疾病患者可能需治疗7-10天。轻症社区获得性肺炎可选用多西环素或米诺环素单药治疗,重症或有耐药菌感染风险患者可选用四环素类药物联合治疗,入住ICU的有基础疾病或老年患者推荐联合用药。考虑到患者心电图QT间期延长,未选择喹诺酮和大环内酯类药物联合运用,最终的抗感染方案为莫西沙星(拜复乐)、美罗培南和米诺环素联合治疗。但调整方案后,患者呼吸衰竭未改善,呼吸窘迫症状加重。
10月13日下午,对患者进行经口气管插管和呼吸机辅助通气治疗,同时给予镇痛镇静支持治疗。完善气管镜检查,气管镜的肺泡灌洗液NGS显示适配菌群,菌群序列数40321。考虑心肌炎诊断,给予磷酸肌酸钠和辅酶Q10营养心肌治疗。经进一步抗感染治疗,患者外周血炎症标志物下降,血气分析酸碱失衡好转,心酶谱下降。
10月21日复查床边胸片,肺部病灶基本吸收。
10月22日顺利拔除气管插管,抗生素降阶梯调整为头孢他啶抗感染。

10月23日,患者血白细胞、中性粒细胞升高,考虑与外周留置的深静脉导管有关,拔除右下肢深静脉导管并培养,停用头孢他啶,加用替加环素抗革兰阴性菌感染治疗。

10月26日,患者痰培养药敏回报耐药鲍曼不动杆菌,将抗生素调整为硫酸黏菌素、舒巴坦联合莫西沙星抗感染方案。
10月28日复查胸部CT显示较前双肺炎症明显吸收,但转普通病房后患者仍反复低热,白细胞和CRP升高,考虑抗生素未覆盖非典型病原体。

11月4日加用米诺环素100mg bid联合莫西沙星治疗,同时继续硫酸黏菌素和舒巴坦抗菌治疗。

患者在心内科完善冠脉CT,未见冠脉明显狭窄。经抗感染方案调整,患者炎症指标、心肌酶和proBNP降至正常范围,复查心超未见明显异常,考虑之前心肌酶升高由军团菌所致心肌炎可能性大。
查看更多
专家点评
该患者中年男性,有糖尿病基础,起病急,进展快,短期出现呼吸衰竭,除呼吸道症状外,全身症状显著,合并心律失常,血生化检查提示肝酶、肌酸激酶、肌钙蛋白、pro-bnp升高,严重低钠血症,胸部影像学提示多叶受累,呈现磨玻璃影合并实变影,48小时内范围增加50%以上;外院初始抗感染效果不佳。首先考虑全身性疾病(感染 or 非感染),而感染性疾病首先需考虑非典型病原体,尤其是军团菌;其次病毒,再次是细菌感染。军团菌肺炎精准诊断的关键在于及时、快速开展恰当病原学检测,常用军团菌检测技术包括分离培养、抗原抗体检测及以核酸扩增技术等;该患者入院当天立即送检了血及气道分泌物tNGS,12h内即得到阳性结果。
对于疑似军团菌肺炎者,在获得确切病原学依据前,应适时启动经验性抗感染治疗。国内外指南均推荐CAP经验性治疗时应选择覆盖非典型病原体,包括氟喹诺酮类或大环内酯类抗生素。根据近期流行病学数据,非典型病原体对大环内酯类耐药率高,且患者心电图提示Q-T间期延长,顾及药物安全性,故入院时初始选择米诺环素。明确军团菌肺炎(重症)诊断后,联合莫西沙星(静脉用拜复乐),效果显著,安全性好。
军团菌肺炎是一种罕见但高病死率的肺部感染类型,精准识别疑似患者,及时进行病原学检测以采取恰当诊治,是降低病死率、改善远期预后的关键。