壹生大学

壹生身份认证协议书

本项目是由壹生提供的专业性学术分享,仅面向医疗卫生专业人士。我们将收集您是否是医疗卫生专业人士的信息,仅用于资格认证,不会用于其他用途。壹生作为平台及平台数据的运营者和负责方,负责平台和本专区及用户相关信息搜集和使用的合规和保护。
本协议书仅为了向您说明个人相关信息处理目的,向您单独征求的同意,您已签署的壹生平台《壹生用户服务协议》和《壹生隐私政策》,详见链接:
壹生用户服务协议:
https://apps.medtrib.cn/html/serviceAgreement.html
壹生隐私政策:
https://apps.medtrib.cn/html/p.html
如果您是医疗卫生专业人士,且点击了“同意”,表明您作为壹生的注册用户已授权壹生平台收集您是否是医疗卫生专业人士的信息,可以使用本项服务。
如果您不是医疗卫生专业人士或不同意本说明,请勿点击“同意”,因为本项服务仅面向医疗卫生人士,以及专业性、合规性要求等因素,您将无法使用本项服务。

同意

拒绝

同意

拒绝

知情同意书

同意

不同意并跳过

工作人员正在审核中,
请您耐心等待
审核未通过
重新提交
完善信息
{{ item.question }}
确定
收集问题
{{ item.question }}
确定
您已通过HCP身份认证和信息审核
(
5
s)

一图读懂丨异位胰腺发生部位及相关并发症

2024-03-04作者:论坛报小塔资讯
非原创

异位胰腺最常见的受累部位和可能的相关并发症

可发现的异位胰腺的发生部位包括胃肠道、梅克尔憩室、肠系膜、肝胆系统和脾以及其他少见的胃肠外位置如纵隔、肺、输卵管、脐和大网膜。

常见的胃肠道位置包括胃、十二指肠和近端空肠,可能是由于它们共同起源于原始前肠。

与原位胰腺一样,异位胰腺也容易患胰腺炎、假性囊肿形成和胰腺肿瘤。与位置相关的并发症包括胃肠道出血、肠梗阻和肠套叠。

十二指肠旁胰腺炎可能是由于十二指肠内侧壁中的异位胰腺组织导致腹痛和十二指肠梗阻而引起的,并且可引起肠套叠。

食道和胃病变可能表现为吞咽困难、上腹疼痛、胃食管反流病和可能的咯血。



异位胰腺炎 

Heterotopic Pancreatitis

图片
图片
图片

图片

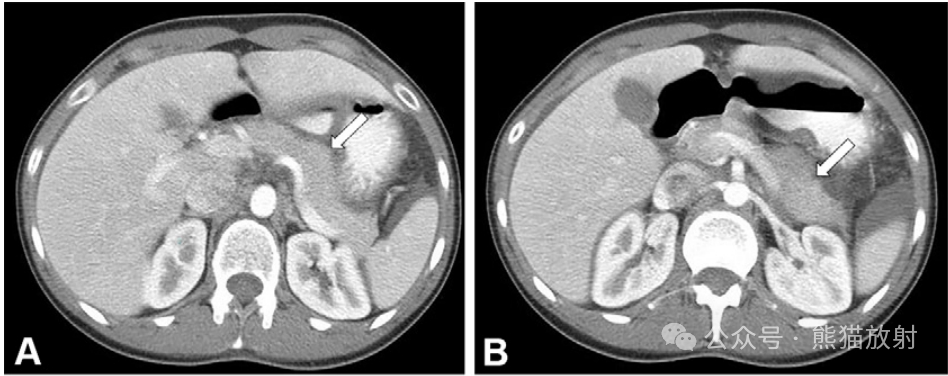
28岁女性,异位胰腺并发急性胰腺炎,伴有腹痛恶心(血清脂肪酶水平升高至1300U/L)。轴位增强CT图像显示正常原位胰腺,无炎症证据(A、B中的白箭)。胃窦可见一外生性分叶状肿块(C-F中的白箭头),与原位胰腺外观和增强相似,周围脂肪间隙浑浊。还注意其中心有一个原始管状结构(C、D中的黑箭)。

  • 异位胰腺最常见的CT表现:壁内肿块,边缘轻度分叶、边界欠清;其密度和增强特征与组织学成分相关:腺泡占主导地位的病变表现出明显均匀强化,而导管占主导地位的表现为乏血供和不均质性。


作者:花人青

来源:熊猫放射


好文推荐


▶ 令狐恩强教授:2023年度消化内镜领域的应用进展盘点

▶ 张澍田教授:2023年度消化道早癌诊疗新进展

▶ 吴开春教授:2023年炎症性肠病研究进展回顾

▶ 吕农华教授:2023年度幽门螺杆菌临床研究进展回顾

▶ 古塞奇尤单抗可诱导缓解中重度活动性溃疡性结肠炎

▶ 活检组织中不可忽视的细节-阿米巴性肠炎

▶ APASL2024:日本京都盛大召开,迎接全球肝病领域同道

▶ 5个诀窍学会腹痛诊断,和误诊说再见!


200 评论

查看更多