查看更多
密码过期或已经不安全,请修改密码
修改密码
壹生身份认证协议书
同意
拒绝
同意
拒绝
同意
不同意并跳过
在2020年,替雷利珠单抗先后公布了一线鳞状NSCLC III期注册临床研究(RATIONALE 307研究)及一线非鳞状NSCLC III期注册临床研究(RATIONALE 304研究)取得阳性结果,并先后在刚过去的ASCO大会和即将召开的ESMO大会上进行报道,成为全球第二个全面获得一线鳞状及非鳞状NSCLC III期注册临床研究成功的PD-1抗体。此外,替雷利珠单抗在SCLC领域的研究也取得了初步成效,显示出良好的应用前景。替雷利珠单抗在肺癌领域的全面布局,为晚期肺癌患者带来了更多的选择和希望。本期将分享2例替雷利珠单抗治疗晚期鳞状NSCLC和非鳞状NSCLC患者的诊疗经过和治疗思路。
病例一:鳞状NSCLC

王惠临
广西医科大学附属肿瘤医院
呼吸肿瘤内科副主任医师、医学博士
广西抗癌协会广西免疫治疗专业委员会常委
广西抗癌协会广西肿瘤标志专业委员会委员
广西医师协会肿瘤化疗专业委员会 委员
广西抗癌协会广西淋巴瘤专业委员会委员
中国肿瘤靶向治疗技术分会广西协作委员会委员
一般资料:患者女性,35岁。
主诉:反复咳嗽4月,咳血丝痰1月。
现病史:患者于2019年7月出现反复咳嗽,2019年10月出现咯血丝痰,伴胸闷,于外院就诊,行支气管纤维镜检,病理提示肺鳞癌,于2020年2月27日来我院就诊。
既往史:否认慢性病史。
基因检测提示:EGFR基因野生型,ALK基因阴性。
支气管纤维镜活检:病理提示(左肺)非角化性鳞状细胞癌,低分化;免疫组化 P40 (+), CK5/6 (+), TIF-1 (-), Napsia A (-), Ki67 (+)。
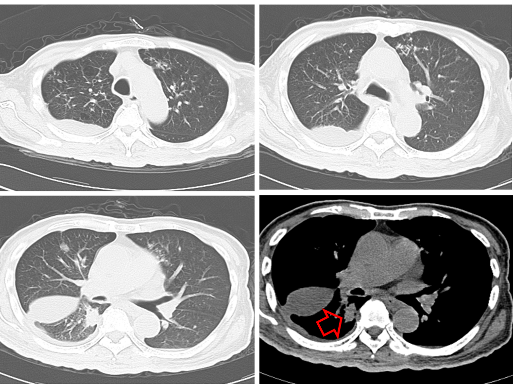
胸部CT(2020-03-03):左肺靶病灶直径59 mm,纵隔3、7区及双侧肺门淋巴结病灶直径20 mm(图1)。
诊断:左肺鳞状非小细胞肺癌,合并肺内、纵隔、及双侧肺门淋巴结转移(cT4N3M0,IIIB期,EGFR、ALK野生型,PD-L1未测)。

图1:2020年3月3日,治疗前胸部CT
第一阶段:化疗
经患者充分知情同意并签署知情同意书后,于2020年3月4日、3月25日分别予以“多西他赛90 mg + 奈达铂100 mg”化疗2周期。
胸部CT(2020-04-18):左肺靶病灶直径59 mm,纵隔3、7区及双侧肺门淋巴结病灶直径20 mm(图2)。
疗效评估:SD。

图2:2020年4月18日,化疗2周期后胸部CT
第二阶段:免疫治疗
经患者充分知情同意并签署知情同意书后,分别于2020年4月20日、5月11日、6月5日、6月30日予以“替雷利珠单抗200 mg + 多西他赛90 mg +奈达铂100 mg”化疗4周期。
胸部CT(2020-06-04):左肺靶病灶直径26 mm,纵隔3、7区及双侧肺门淋巴结病灶直径14 mm(图3)。
疗效评估:PR。

图3:2020年6月4日,替雷利珠单抗治疗2周期后胸部CT
本例患者为IIIB期左肺鳞状NSCLC,合并肺内、纵隔、及双侧肺门淋巴结转移,驱动基因阴性,PD-L1未检测。经第一阶段化疗治疗,疗效评价为SD,病情平稳但无明显缓解。予以第二阶段替雷利珠单抗联合化疗治疗2个周期后,病灶直径明显缩小,疗效评价达到PR。患者经替雷利珠单抗联合化疗治疗4周期后疗效评价仍为PR,病情平稳,治疗过程中出现的不良反应仅为皮疹,经对症治疗后缓解,安全性良好。

病例二:非鳞状NSCLC

宁瑞玲
广西医科大学附属肿瘤医院
呼吸肿瘤内科主任医师、医学硕士
广西抗癌协会淋巴瘤专业委员会常务委员
第一届广西抗癌协会肿瘤免疫治疗专业委员会常务委员
中国肿瘤靶向治疗技术分会广西协作委员会常务委员
第一届广西抗癌协会肿瘤标志物专业委员会委员
一般资料:患者男性,70岁。
主诉:咳嗽、咳草绿色痰4个月。
现病史:患者4个月前出现咳嗽、咳痰,痰为草绿色。于2019年12月31日外院行PET-CT检查提示“右肺下叶背段周围型肺癌可能,合并全身多处转移”。于2020年1月26日外院病理提示:(胸膜组织)浸润性低分化癌, 结合免疫组化符合肺腺癌转移。于2020年2月10日外院起予以“吉非替尼 250 mg qd po”治疗15天后,咳嗽、咳痰无改善,渐出现皮肤巩膜黄染,纳差、乏力,小便茶色,加行1次腹腔抽液。2月25日起外院予以“埃克替尼125 mg tid po”治疗12天后,原症状进行性加重,并腹胀,大便陶土色。患者为求进一步治疗于3月8日前来我科就诊。患者一般状态差,大便陶土色,小便浓茶色。
既往史:有吸烟史、高血压病史,具体不详;否认其他慢性病史。
查体:患者消瘦,慢性病容,皮肤巩膜重度黄染,全身浅表淋巴结未及肿大。右下肺呼吸音弱,两肺少许湿性啰音,腹部稍膨隆,肝脾未触及,移动性浊音(±),双下肢无水肿。
ECOG PS评分:3分+。
NGS(2020-02-03):EGFR exon16 splicing,丰度19.3%;ALK缺失突变,丰度10.78%;KRAS G12C突变,丰度15.98%;TP53 突变,丰度15.54%;PD-L1:TPS<1%;TMB36.78/Mb;MSS。
PET-CT:1.考虑右肺癌并右侧胸膜、左侧颈部、纵隔、腹腔及腹膜后多发淋巴结、肝左内叶、双侧肾上腺、脾脏多发转移可能性大;双侧胸腔积液并右肺下叶膨胀不全;心包少许积液;左肺下叶细小结节,转移待排;双肺少许炎性病变;2.胆囊泥沙样结石,肝内胆管扩张,考虑肝门区肿大淋巴结压迫所致可能性大,不除外肝门区胆管受侵可能;3.全身多发骨转移瘤;4.头颅未见明确转移征象。
诊断:1. 右肺腺癌,合并全身多处转移(T2N2M1c,IVB期,EGFR exon16 splicing,ALK缺失突变,KRAS 突变,TP53 突变,PD-L1:TPS<1%,TMB36.78/Mb,MSS);2. 梗阻性黄疸(肝门肿大淋巴结压迫);3. 双侧肺部感染;4. 低蛋白血症;5. 低钠血症。

图4:系统治疗前胸部CT(左)和全身骨显像(右)
第一阶段:手术+对症治疗
经患者充分知情同意并签署知情同意书后,于2020年3月13日予以胆道置管外引流、3月17日拆除置管并行胆道支架置入以改善梗阻,同时予以抗感染、胸腔抽液、唑来膦酸及对症治疗。患者二便颜色逐渐恢复正常,皮肤巩膜黄疸逐渐改善,痰量减少,颜色变浅,血象接近正常。
EOCG PS评分:3分+,考虑予以患者抗肿瘤治疗。

图5:免疫治疗前胸部CT

图6:免疫治疗前腹部CT
第二阶段:免疫联合治疗
经临床综合考量后,考虑予以患者免疫联合靶向药物治疗。患者经充分知情同意并签署知情同意书后,予以“安罗替尼 + 替雷利珠单抗”免疫联合治疗。
(1)免疫联合治疗2周期:
EOCG PS评分:1-2分。
实验室指标:总胆红素 23.2 umol/L,CEA 11 ug/L,ALB 33.5 g/L。
右肺靶病灶肿瘤直径:15×20 mm。
疗效评价:缩小的SD。

图7:免疫联合治疗2周期后胸部CT
(2)免疫联合治疗4周期:
EOCG PS评分:1-2分。
实验室指标:总胆红素 20 umol/L,CEA 7.28 ug/L,ALB 33.5 g/L。
右肺靶病灶肿瘤直径:13×20 mm。
疗效评价:缩小的SD。

图8:免疫联合治疗4周期后胸部CT
患者为老年男性,确诊为“右肺腺癌,合并全身多处转移(T2N2M1c,IVB期,EGFR exon16 splicing,ALK缺失突变,KRAS 突变,TP53 突变,PD-L1:TPS<1%,TMB36.78/Mb,MSS)”。外院一线予以靶向药物吉非替尼治疗15天后疾病进展(PD),外院二线予以靶向药物埃克替尼治疗12天后再次PD。对患者进行充分的生物标志物筛查后,本院三线予以替雷利珠单抗联合安罗替尼治疗后,疗效评价为缩小的SD,EOCG PS评分从3~4分降至1~2分,意味着患者不仅获得了持久免疫应答,生活质量亦得到显著改善。治疗过程中不良反应轻微,安全性良好,患者可以耐受。

中国医学论坛报编辑|蔺磐 整理
查看更多