壹生大学

壹生身份认证协议书

本项目是由壹生提供的专业性学术分享,仅面向医疗卫生专业人士。我们将收集您是否是医疗卫生专业人士的信息,仅用于资格认证,不会用于其他用途。壹生作为平台及平台数据的运营者和负责方,负责平台和本专区及用户相关信息搜集和使用的合规和保护。
本协议书仅为了向您说明个人相关信息处理目的,向您单独征求的同意,您已签署的壹生平台《壹生用户服务协议》和《壹生隐私政策》,详见链接:
壹生用户服务协议:
https://apps.medtrib.cn/html/serviceAgreement.html
壹生隐私政策:
https://apps.medtrib.cn/html/p.html
如果您是医疗卫生专业人士,且点击了“同意”,表明您作为壹生的注册用户已授权壹生平台收集您是否是医疗卫生专业人士的信息,可以使用本项服务。
如果您不是医疗卫生专业人士或不同意本说明,请勿点击“同意”,因为本项服务仅面向医疗卫生人士,以及专业性、合规性要求等因素,您将无法使用本项服务。

同意

拒绝

同意

拒绝

知情同意书

同意

不同意并跳过

工作人员正在审核中,
请您耐心等待
审核未通过
重新提交
完善信息
{{ item.question }}
确定
收集问题
{{ item.question }}
确定
您已通过HCP身份认证和信息审核
(
5
s)

详解 | 肠息肉镜下切除术及术后如何复查

2026-04-13作者:论坛报小塔资讯
非原创

肠息肉大部分是肠黏膜的一个新生物,若是恶性,危害自不必说。如果是腺瘤等癌前病变,则相当于一个“定时炸弹”,随着息肉的增大,数目的增加,癌变机会也迅速增大。


即使是炎症性息肉,对身体的危害性虽然小些,但随着息肉的增大,也可能带来一系列临床症状,如长期便血、腹泻、肠套叠甚至肠梗阻等。


所以,发现有肠息肉,应尽早切除,以免带来一些其他疾病。


肠道息肉分为非肿瘤性息肉和腺瘤性息肉。非肿瘤性的息肉一般就不会发生癌变,主要包括:


幼年性息肉:常见于幼儿,大多在10岁以下。常发生直肠内,呈圆球形,多为单发,病理特征为大小不等的潴留性囊腔,是一种错构瘤。


炎性息肉:又称假性息肉。是大肠黏膜的溃疡在愈合过程中纤维组织增生及溃疡间黏膜下水肿,使正常黏膜表面逐渐隆起而形成。


腺瘤性息肉是公认的癌前病变。应积极处理,大肠腺瘤演变成癌所需的时间为5~15年。当然,并非所有腺瘤都会发生癌变。


从发病年龄上看,腺瘤性息肉要比大肠癌早5~10年。据Morson在1976年发表的腺瘤到癌发展理论认为,这个时间约为10年。但据最新的一些文献报道,从腺瘤性息肉发展到癌至少需要5年,平均在5~15年。   

     

治疗方法有:内镜治疗、手术治疗和药物治疗等。


肠息肉切除必须做活检,以排除癌变。


镜下肠息肉切除术的一般步骤


目前的内镜技术发展,肠镜下切除息肉成为非常简便、安全、有效的微创操作。

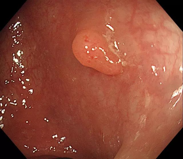
让我们通过肠镜下图片,来了解一下息肉切除的几个步骤:


步骤一:发现息肉,并将其暴露于视野正中。


图片


步骤二:通过肠镜上的孔道插入特殊器械(电圈套器),并在息肉旁伸出钢丝圈。


图片


步骤三:将钢丝圈套住息肉,并于息肉根部收紧钢丝圈。


图片


步骤四:轻轻向肠腔内提起息肉,使钢丝圈尽量远离肠壁黏膜。


图片


步骤五:在钢丝圈上脉冲式通高频电进行电灼烧,直至息肉根部被切断,息肉脱落。


图片


步骤六:为防止创面迟发性出血,可以使用金属夹子夹闭创面。本图为夹子在创面旁打开。


图片


步骤七:金属夹子于创面处夹闭。


图片


至此,肠镜下切除息肉的操作完成。脱落的息肉需进行病理切片检查,而留置于肠道内的金属夹也将在以后的数日内自行脱落排出体外。


不同的息肉要采取不同的切除方法


1.单发性息肉:


  • 息肉直径<0.5cm:可以采用活检钳钳夹摘除,也可行电凝电切术或APC治疗。


  • 息肉直径>0.5cm,且有蒂者:可用圈套器行高频电凝电切术切除。


  • 如果蒂部较粗:可预先用尼龙绳或金属夹夹闭蒂部远端,再行电切术。



图片


图片


图片


2. 广基大息肉:


直径<2cm的:可采用内镜黏膜切除术(EMR)治疗,即先在病变黏膜下注射生理盐水抬起病变,再用圈套器电切除息肉。


图片


图片


图片


对于直径>2cm的广基大息肉和平坦型病变,即大肠侧向发育型肿瘤(LST):如果选择EMR治疗,只能通过分块切除的方法,但该方法复发率较高,且不能进行准确的病理检查;故优先推荐采用内镜黏膜下剥离术(ESD),大块、完整地切除病变,并进行完整、准确的病例评估。

3. 多发息肉


如果数目过多,可以考虑分次切除;


如果是家族性息肉病,则需要评估是否需要外科手术切除。


4. 有些需要手术切除


  • 对于病理检查证实有癌变或疑有癌变;


  • 腺瘤较大;


  • 腺瘤呈广基型;


  • 腺瘤数量较多密集分布于某一肠段以及息肉病、腺瘤病等仅行内镜无法切除的大肠腺瘤患者,应采用手术治疗。


切除后的注意事项


1、息肉切除术后需休息3天,一般情况卧床,可下床大小便,每天散步2~3小时,需要强调的是卧床休息,但不代表24小时不下床,长时间卧床可导致静脉血栓并发症。


3天后可恢复日常活动。1个月内不能进行负重工作及剧烈运动,避免伤口撕裂、钛夹脱落导致大出血。


2、要注意保持大便通畅,禁便秘及用力排便,防止过于用力导致创面出血及穿孔可能,有便秘病史的患者可以口服通便药物(如乳果糖口服液、聚乙二醇4000散等)以保持大便通畅。


3、较大息肉创面较大时需要禁食1天(具体看医生建议),一般息肉切除需要禁食2-4小时,待麻醉完全清醒及无腹痛后,可进食全流质1天。


如仍无腹痛及便血情况,可过渡到半流少渣饮食3天。3天后可普通饮食。忌烟酒、酸辣、油炸等刺激性食物。


4、无论何时出现突发腹痛及便鲜血、黑便、头晕等及时就医,以防穿孔及出血及时处理。


术后怎么复查?


图片


大肠息肉切除后,应强调定期结肠镜随访,早期发现新的病变和局部复发病变,并及时处理。


1. 对于1~2个小管状腺瘤(直径<10 mm)以及低级别上皮内瘤变的患者在息肉切除术后2~3年进行初次随访,具体间隔视患者意愿、医生的选择而定;


2. 对于3~10个腺瘤,任何一个腺瘤的直径≥10 mm、有绒毛结构、高级别上皮内瘤变的患者如果确定息肉完全切除且整块切除的在息肉切除术后的3-6个月进行随访;


3. 在1次检查中发现10个以上腺瘤的患者,随访间隔应在1年以内,并考虑是否有潜在家族息肉病的可能;


4. 对于接受分块切除无蒂型息肉的患者应该在随后的3~6个月进行随访,从而验证息肉是否被完全切除;


5. 对于疑有遗传性非息肉性结直肠癌的患者加强随访,同时对其由血缘关系的亲属做肠镜检查,排除家族性息肉病(后期大多数癌变)。


6. 单个良性息肉摘除术后,刚开始每年需复查一次大肠镜,连续2~3年检查不复发,之后可以改为每3年复查一次大肠镜。多发良性息肉,为保险起见,还是要每年做一次大肠镜检查。


来源:绍兴市人民医院肛肠外科

200 评论

查看更多