壹生大学

壹生身份认证协议书

本项目是由壹生提供的专业性学术分享,仅面向医疗卫生专业人士。我们将收集您是否是医疗卫生专业人士的信息,仅用于资格认证,不会用于其他用途。壹生作为平台及平台数据的运营者和负责方,负责平台和本专区及用户相关信息搜集和使用的合规和保护。
本协议书仅为了向您说明个人相关信息处理目的,向您单独征求的同意,您已签署的壹生平台《壹生用户服务协议》和《壹生隐私政策》,详见链接:
壹生用户服务协议:
https://apps.medtrib.cn/html/serviceAgreement.html
壹生隐私政策:
https://apps.medtrib.cn/html/p.html
如果您是医疗卫生专业人士,且点击了“同意”,表明您作为壹生的注册用户已授权壹生平台收集您是否是医疗卫生专业人士的信息,可以使用本项服务。
如果您不是医疗卫生专业人士或不同意本说明,请勿点击“同意”,因为本项服务仅面向医疗卫生人士,以及专业性、合规性要求等因素,您将无法使用本项服务。

同意

拒绝

同意

拒绝

知情同意书

同意

不同意并跳过

工作人员正在审核中,
请您耐心等待
审核未通过
重新提交
完善信息
{{ item.question }}
确定
收集问题
{{ item.question }}
确定
您已通过HCP身份认证和信息审核
(
5
s)

6种常见脑血管疾病的影像

2024-03-13作者:医学论坛报秋宇资讯
非原创
图片

概述

图片

脑血管疾病(cerebrovascular disease,CVD)是指由于各种脑血管病变所引起的脑部病变,主要指脑血管破裂出血或血栓形成,引起的以脑部出血性或缺血性损伤症状为主要临床表现的一组疾病,又称脑血管意外或脑卒中,俗称为脑中风。


该病常见于中年以上人群的急性发作,严重者可发生意识障碍和肢体瘫痪,是造成人类死亡和残疾的主要疾病,也是高血压患者的主要致死原因。


脑血管病按其性质通常分为缺血性脑血管病和出血性脑血管病两大类

缺血性脑血管病:TIA、脑血栓形成、脑栓塞

出血性脑血管病:脑出血、蛛网膜下腔出血 


脑血管病按其进程可分为急性脑血管病和慢性脑血管病两种

急性脑血管病包括TIA、脑血栓形成、脑栓塞、高血压脑病、脑出血和蛛网膜下腔出血等 

慢性脑血管病包括脑动脉硬化、脑血管病性痴呆、脑动脉盗血综合征、帕金森病等 

图片

01

图片

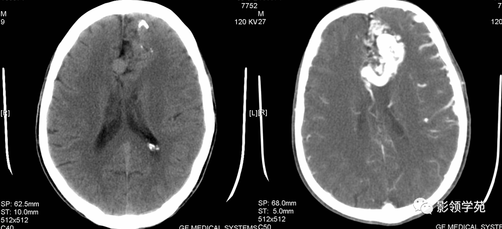
脑出血

脑出血,系指脑实质血管破裂出血,不包括外伤性脑出血。多由高血压、脑动脉硬化、动脉瘤 、血管畸形、血液病、肿瘤等引起。出血部位以内囊-基底节和丘脑区常见,其次为小脑和脑干。

CT分期:急性期(1w内),吸收期(2w-2m),囊变期(2m以上)

MRI分期:超急性期(24h内),急性期(2-3d),亚急性期(4-30d),慢性期(1m以后)

急性期CT:表现为高密度,CT值55—90Hu,可为肾形、圆形、椭圆形或不规则形,伴有周边水肿和占位效应

图片

图片

脑出血破入脑室

图片

图片

图片

图片

图片

图片

吸收期CT:血肿逐渐吸收 ,密度减低,边缘模糊,脑水肿及占位效应逐渐减轻至消失。

图片

图片

图片

图片

囊变期CT:血肿一般完全吸收,呈低密度囊腔,边缘清楚,CT值近似于脑积液。囊腔多呈条状或新月状,较小的出血灶形成纤维疤痕,邻近脑室、脑沟扩大。

图片


图片

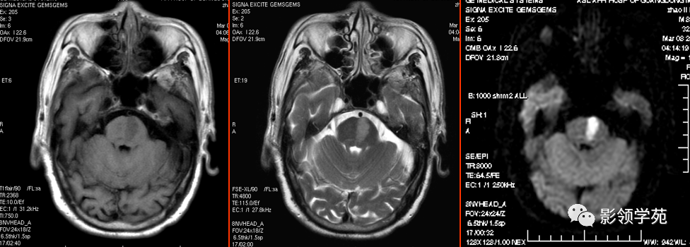
MRI血肿信号的演变

  • 超急性期(24h):含氧血红蛋白    T1WI低信,T2WI高信号

  • 急性期(2-3d):脱氧血红蛋白 T1WI等信,T2WI低信号

  • 亚急性早期(4~5d) :正铁血红蛋白(红细胞完整) T1WI高信,T2WI低信号

  • 亚急性中期(6~10d) :正铁血红蛋白(红细胞溶解)RBC细胞膜破裂,T1WI仍高信号,T2WI上逐渐从周边向中心高信号

  • 亚急性后期(10d~4w) :血肿周边含铁血黄素 ,T2WI为低信号,中心T1WI与T2WI均为高信号    

  • 慢性期(4w~):血肿逐渐液化,T1WI为低信号,T2WI为高信号 

超急性期:含氧血红蛋白    T1WI低信,T2WI高信。

图片

急性期:脱氧血红蛋白 T1WI等信,T2WI低信号

图片

亚急性早期:正铁血红蛋白(红细胞完整)T1WI高信, T2WI低信号

图片

亚急性中期 :正铁血红蛋白(红细胞溶解)  T1WI高信号,T2WI上逐渐从周边向中心高信号

图片

亚急性后期 :血肿周边含铁血黄素 ,T2WI为低信号,中心T1WI与T2WI均为高信号

图片

图片

慢性期:血肿逐渐液化,T1WI为低信号,T2WI为高信号

图片

图片

CT显示急性期脑出血较MR直观

图片

MR显示亚急性、慢性期脑出血较CT直观

02

图片

脑梗死

是由于脑供血障碍所致缺血性脑坏死。常见于高血压和脑动脉粥样硬化等原因所引起的血栓形成。少见原因有颅内感染、糖尿病、胶原病、血液病和过敏性疾病等。

  • 缺血性脑梗死:脑内大或中等管径动脉狭窄、闭塞,致病变血管供应区脑组织坏死。

  • 出血性脑梗死:梗死后缺血区血管再通、灌注,血液外溢,造成梗死区出血。常见于大面积脑梗死。

  • 腔隙性脑梗死:脑深穿支动脉闭塞所致的较小面积的缺血坏死,多见于基底节区、丘脑区,其次为脑干、小脑。

  • 超急性期:6h之内

  • 急  性  期:6~72h

  • 亚急性期:3~10d

  • 慢性早期:11d~1m

  • 慢性晚期:1m以上

CT表现

(1)发病24小时内CT扫描可阴性,以后出现边缘模糊稍低密度区,与闭塞的血管供血区相一致(楔形或扇形);

(2)一周内密度更低,占位明显;

(3)两、三周中心坏死,血管增生,占位减轻;模糊效应,增强扫描见脑回状强化。

(4)数周、数月囊性软化灶伴有脑萎缩。

MRI表现

  • 超急性期(0-6h) 发病2h,T2WI可呈高信号,部分病例30min便可显示。

  • 急性期(6-72h) 梗塞区水肿发展,T1,T2值进一步延长。

  • 亚急性期(3-10d) 3d后水肿最重,占位明显,梗死范围仍增大,脑回状强化明显。以上三期DWI均为高信号

  • 慢性早期(11-30d) 坏死组织被清除,水肿渐消退,梗塞区周围出现新生血管。仍呈脑回状强化,可出现坏死囊变,易出现梗死后出血。

  • 慢性晚期(>30d)梗塞范围小、治疗及时,仅有局部脑萎缩。梗塞区明显的胶质增生,引起脑萎缩、囊性脑软化灶。

图片

图片

图片

脑回样强化

图片

图片

图片

图片

图片

图片

图片

图片

图片

03

图片

颅内动脉瘤

  • 指脑动脉或其分支的局限性、囊状或梭性膨大。

  • 病因分为先天性、外伤性、细菌性及动脉硬化、脑瘤所致的动脉瘤。

  • 好发于脑底部动脉环及大动脉分叉部,以前交通动脉最多见,是蛛网膜下腔出血的主要病因。

CT:根据动脉瘤内囊壁血栓情况分为三型。 

Ⅰ型:囊壁无血栓动脉瘤,呈稍高密度影,多位于基底动脉环周围,边缘清晰。增强扫描,呈均匀性增强。

Ⅱ型:部分血栓动脉瘤,平扫时,其中央可见高密度区,为内含血液的瘤腔,周围为等密度附壁血栓,增强后强化的囊壁和中心高密度的血流隔以等密度的血栓,称为 “靶征”。

Ⅲ型:为完全血栓动脉瘤,呈等密度,可有血栓内钙化或瘤壁的弧线状钙化。 

MRI: 

动脉瘤由于有流空效应(快血流),而呈瘤状低信号影。

动脉瘤内血栓信号多样:新鲜血栓高信号;机化血栓、钙化、含铁血黄素呈低信号。

MRA可清楚显示动脉瘤。

图片

图片

图片

图片

图片

04

图片

脑动静脉畸形

最常见的先天性脑血管发育异常,好发于大脑前、中动脉供血区。结构包括供血动脉、畸形血管团和引流静脉。

CT表现:

平扫时:畸形血管可为稍高或等密度的不规则肿块,占位征象不明显,甚至有脑萎缩,引流静脉或供血动脉增粗(主要是前者),有时可见斑点样钙化。增强扫描:可见动脉特别是静脉明显的扩张、迂曲样强化。

MRI表现

一团匐行的具有流空效应的管道结构。MRA能显示AVM的全貌,供血动脉、迂曲血管团、引流静脉均为清晰的高信号影

图片

图片

AVM-动静脉畸形

图片

图片

图片

05

图片

海绵状血管瘤

由增大的血窦间隙构成,缺乏正常内皮紧密连接,其间无正常结构,低压、慢流速

  • CT平扫呈边缘清楚的圆形、类圆形略高密度病灶,密度多不均匀,约33%伴发钙化,无占位或轻度占位,无水肿,可伴有出血,增强可不强化、轻度强化或明显强化。

  • MRI病灶内不同时期出血所致病灶中央部高低混杂信号排列如“爆米花状”,具特征性。

图片

06

图片

烟雾病

以双侧颈内动脉虹吸部末端及大脑前、中动脉近段进行性狭窄或闭塞,伴有颅底异常毛细血管网形成,以及丰富的侧支循环为特征的脑血管病。临床可表现为脑缺血发作或脑出血。

  • 平扫主要观察血管闭塞引起的继发性改变:①脑梗死,表现为双侧基底节及额颞顶叶多发性梗死灶;②脑出血,以蛛网膜下腔出血最多见,其次是脑实质内血肿及脑室内积血;③脑萎缩、脑软化灶等。

  • CTA、MRA可显示颈内动脉及大脑前、中动脉狭窄与闭塞,颅底毛细血管网形成以及侧支循环建立情况。

图片

图片

图片


来源:影领学苑


200 评论

查看更多