壹生大学

壹生身份认证协议书

本项目是由壹生提供的专业性学术分享,仅面向医疗卫生专业人士。我们将收集您是否是医疗卫生专业人士的信息,仅用于资格认证,不会用于其他用途。壹生作为平台及平台数据的运营者和负责方,负责平台和本专区及用户相关信息搜集和使用的合规和保护。
本协议书仅为了向您说明个人相关信息处理目的,向您单独征求的同意,您已签署的壹生平台《壹生用户服务协议》和《壹生隐私政策》,详见链接:
壹生用户服务协议:
https://apps.medtrib.cn/html/serviceAgreement.html
壹生隐私政策:
https://apps.medtrib.cn/html/p.html
如果您是医疗卫生专业人士,且点击了“同意”,表明您作为壹生的注册用户已授权壹生平台收集您是否是医疗卫生专业人士的信息,可以使用本项服务。
如果您不是医疗卫生专业人士或不同意本说明,请勿点击“同意”,因为本项服务仅面向医疗卫生人士,以及专业性、合规性要求等因素,您将无法使用本项服务。

同意

拒绝

同意

拒绝

知情同意书

同意

不同意并跳过

工作人员正在审核中,
请您耐心等待
审核未通过
重新提交
完善信息
{{ item.question }}
确定
收集问题
{{ item.question }}
确定
您已通过HCP身份认证和信息审核
(
5
s)

肾炎免疫治疗无效,警惕遗传性肾病可能丨中山医院肾内科成功诊治一例 CoQ8B 肾病患者

2026-03-17作者:壹声资讯
非原创
作者:复旦大学附属中山医院 金是 林攀 石一沁

审核专家:复旦大学附属中山医院 丁小强教授


蛋白尿和肾功能下降是肾脏病最常见的临床表现之一,其中相当一部分患者最终被诊断为原发性肾小球疾病。然而,在实际诊疗过程中,仍有一部分患者对常规免疫抑制治疗反应不佳,提示其发病机制可能并非单纯免疫介导。


本文通过一例临床病例,介绍一种可治疗的遗传性肾病——CoQ8B肾病,并探讨肾穿刺和遗传检测在此类患者诊断中的重要价值。




01
初诊表现常见,病因判断需谨慎



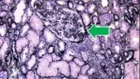
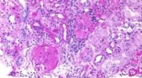
一名40岁女性,因“泡沫尿及血压升高2个月”就诊,既往有银屑病史,否认家族中有明确肾脏疾病史。入院检查提示:患者存在大量蛋白尿,血清白蛋白降低,肾功能明显受损。在排除继发性肾病后,患者接受了肾穿刺活检,病理诊断为局灶节段性肾小球硬化(FSGS)。

*





按照FSGS的常规治疗方案,患者接受了激素联合免疫抑制剂治疗。然而,随访过程中发现:

  • 蛋白尿未见明显缓解

  • 肾功能持续恶化

  • 肾小球滤过率下降速度明显加快


上述表现提示,该患者的疾病机制可能并非以免疫异常为主,继续强化免疫抑制治疗获益有限。




02
常规治疗效果不佳,重新审视诊断



基于疾病进展特点及病理表现,医生进一步为患者完善了遗传学检测。结果显示,患者携带CoQ8B基因的致病性变异,其父母为无症状携带者。


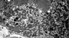
结合肾穿刺标本的电镜复核,发现足细胞及肾小管上皮细胞内可见少量形态异常的线粒体,最终明确诊断为CoQ8B肾病。







CoQ8B肾病是一种与线粒体功能障碍相关的遗传性肾病,可表现为蛋白尿、FSGS样病理改变及肾功能进行性下降,且并非仅发生于儿童,成人同样可能发病。




03
明确病因导向,治疗策略随之调整



在明确诊断后,治疗方案调整为大剂量辅酶 Q10 补充治疗,并联合规范的肾脏保护治疗。随访结果显示,患者蛋白尿水平下降,肾功能恶化速度明显减缓,疾病进展趋势得到有效控制。


这一过程提示,对于部分“治疗反应不符合预期”的肾病患者,精准病因诊断本身就是最重要的治疗起点。




04
识别高危信号,及早考虑遗传检测



在以下情形中,应高度警惕遗传性肾病的可能:


发病和病情进展特征

青中年即出现明显蛋白尿或肾功能下降

病程进展与年龄不相符


肾穿刺病理提示非典型免疫机制

FSGS或肾小球硬化表现

免疫荧光阴性或沉积轻微

电镜提示线粒体或足细胞异常


治疗反应不符合预期

激素或免疫抑制治疗效果不佳

肾功能下降速度快于同类患者


合并提示性线索

家族中有不明原因肾病或早发肾衰竭史

合并肾外表现(如听力、神经、代谢异常等)


对于这类患者,肾穿刺结合遗传学检测,有助于明确病因,优化治疗策略,并避免不必要的免疫抑制治疗。




05
精准诊断前移,体现专科罕见病诊治能力



随着精准医学的发展,遗传性肾病已不再是“无法干预”的代名词,关键在于能否通过规范、系统的诊断流程及时识别。


中山医院肾内科依托成熟的肾穿刺病理、遗传学检测以及多学科协作的诊疗体系,逐步建立起对罕见肾病的系统识别与长期管理能力。通过多学科协作和精准诊断,不仅有助于明确病因,更能为患者提供真正有针对性的治疗方案,改善疾病结局。


参考文献

Jin S, Shi Y, Lin P, et al. Coenzyme Q10 supplementation in adult-onset focal segmental glomerulosclerosis caused by the Chinese common pathogenic variant c.737G > A (p.Ser246Asn) in the COQ8Bgene. Ren Fail. 2025;47(1):2501204.



来源:复旦大学附属中山医院肾内科


200 评论

查看更多