壹生大学

壹生身份认证协议书

本项目是由壹生提供的专业性学术分享,仅面向医疗卫生专业人士。我们将收集您是否是医疗卫生专业人士的信息,仅用于资格认证,不会用于其他用途。壹生作为平台及平台数据的运营者和负责方,负责平台和本专区及用户相关信息搜集和使用的合规和保护。
本协议书仅为了向您说明个人相关信息处理目的,向您单独征求的同意,您已签署的壹生平台《壹生用户服务协议》和《壹生隐私政策》,详见链接:
壹生用户服务协议:
https://apps.medtrib.cn/html/serviceAgreement.html
壹生隐私政策:
https://apps.medtrib.cn/html/p.html
如果您是医疗卫生专业人士,且点击了“同意”,表明您作为壹生的注册用户已授权壹生平台收集您是否是医疗卫生专业人士的信息,可以使用本项服务。
如果您不是医疗卫生专业人士或不同意本说明,请勿点击“同意”,因为本项服务仅面向医疗卫生人士,以及专业性、合规性要求等因素,您将无法使用本项服务。

同意

拒绝

同意

拒绝

知情同意书

同意

不同意并跳过

工作人员正在审核中,
请您耐心等待
审核未通过
重新提交
完善信息
{{ item.question }}
确定
收集问题
{{ item.question }}
确定
您已通过HCP身份认证和信息审核
(
5
s)

“免疫组化”不会看?一文给您讲明白丨答患者问

2025-10-07作者:论坛报岳岳资讯
非原创
答患者问

“医生,这个报告单到底什么意思?”

“化疗期间能不能吃补品?”
“放疗后皮肤痒怎么办?”
……

门诊、病房、线上,患者和家属的提问往往来得突然而具体,却直指治疗效果与生活质量。为此,“壹生资讯-肿瘤频道”推出全新微专栏《肿瘤三分钟——答患者问》。每期用约3分钟可读完的篇幅,聚焦1个高频真实提问,给出循证、易懂、可操作的回答。

本期带来解答“病理免疫组化结果怎么看?”这一常见问题。

三分钟,让困惑少一点,让沟通顺畅一点,让医患携手向前迈一步。


许多人拿到病理报告的时候,会发现病理诊断有一部分内容是一些字母和英文单词,还有数字、百分比以及加减号等,这些是免疫组化诊断报告结果。


01
什么是免疫组化?


(肿瘤细胞核阳性表达)


免疫组化,全称免疫组织化学技术(immunohistochemistry,IHC),利用抗原与抗体特异性结合原理,通过化学反应使标记抗体的显色剂显色来确定组织细胞内抗原,对其定位、定性及定量的研究。


简单说来,人体细胞中存在多种的蛋白质,这些蛋白质承担着细胞的许多功能,包括细胞的增殖和分化、能量转换、信号转导及物质运输等。在检测过程中,利用“抗原抗体结合”原理,促使显色抗体与细胞蛋白(目标抗原)结合,再通过显微镜观察,就能准确知道目标细胞是否表达了相关蛋白、具体表达了多少这种蛋白质。可以更清楚地了解肿瘤细胞的侵袭能力,更可以针对含量丰富的蛋白使用特定的药物,从而精准杀伤肿瘤细胞,使患者获益最大化。


02
什么时候需要进行免疫组化检查?


(肿瘤细胞质阳性表达)


有人或许会感到奇怪,为何有部分报告下方没有免疫组化结果。


其实,并不是所有的检查都需要免疫组织化学检查。目前,免疫组化检查主要应用在以下几个方面:


(1)疑难病例的诊断和鉴别诊断:在苏木素-伊红(HE)染色切片上经常遇到“形同病不同”病例,此时想要明确诊断,常常需借助免疫组化,例如可以通过增殖细胞核抗原(PCNA),周期素(Cycling),核抗原(Ki-67)等了解肿瘤增殖能力,从而知道细胞的良恶性。


(2)确定肿瘤分期:例如可以通过第八因子相关蛋白、D2-40 等了解肿瘤是否浸润淋巴管或血管,明确疾病分期。


(3)指导靶向治疗:例如通CD117(+)胃肠道间质瘤可选用格列卫治疗;乳腺癌雌激素受体(ER)、孕激素受体(PR)阳性乳腺癌患者,需内分泌治疗,人表皮生长因子受体2(HER2)基因过度表达的乳腺癌患者选择赫赛汀治疗等。


(4)确定来源不明的转移瘤的原发部位:例如前列腺特异性抗原(PSA) 阳性可考虑前列腺癌转移。


(5)对组织来源恶性肿瘤分类:例如通过细胞角蛋白(CK)、波形蛋白(Vimentin)等的检测可以知晓该肿瘤是上皮来源还是间叶源性恶性肿瘤。


(6)对肿瘤进一步分型:如淋巴造血系统肿瘤的分型需要不同程度免疫组化支持。


实际上,免疫组化是对常规病理诊断的一种补充,能够在基于HE染色切片的病理诊断基础上进一步明确目标组织的性质。正因如此,许多人会误以为只有恶性肿瘤才需要做免疫组化检查,这完全是错误的。是否做免疫组化与肿瘤细胞的良恶性没有必然联系,有的良性肿瘤可能也需要进行免疫组化检查。


03
免疫组织化学技术优点


(1)特异性强:免疫组化的基本原理决定抗原与抗体之间的结合具有高度特异性,从理论上是组织细胞中抗原特点显示,如广谱角蛋白(CKPan)显示上皮成分,白细胞共同抗原(LCA)显示淋巴细胞成分。


(2)敏感性高:早期的免疫组化用直接法、间接法等敏感性技术不高的技术,将抗体稀释数倍,数十倍;现在随着抗生物蛋白-生物素连接(ABC)法和Streptavidin-Peroxidase(SP)法出现,使抗体稀释上千倍、上万倍甚至上亿倍仍可以在组织细胞中与抗原结合,有这样高敏感的抗原抗体反应,使免疫组化方法越来越方便用于常规病理诊断工作。


(3)定位准确、形态与功能结合:该技术通过抗原抗体及呈色反应,可以在组织和细胞中进行抗原的准确定位,可同时对不同抗原在同一组织或细胞中进行定位观察,这样就可以进行形态与功能结合研究,对病理学研究的深入是十分有意义的。


04
免疫组化的局限性


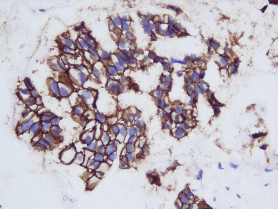
(肿瘤细胞膜表达)


免疫组化技术虽然有很多积极作用,但是由于在操作过程中程序复杂,受到实验室条件影响,故应用过程中仍然存在不少问题,直接或间接影响最终病理诊断。


在日常诊断中最常见“假阳性”和“假阴性”,组织选块和抗体选择等,造成假阳性的主要原因包括一抗浓度不合适,孵育时间过长,试剂没有完全覆盖组织、在操作过程组织变干等;造成假阴性的主要原因包括抗原修复方法不正确、本身失效等;因此,想要提高免疫组化诊断效果,需要加强免疫组化质量控制;在免疫组化操作中必须有适当的阳性和阴性对照。


对部分疑难病例,免疫组化诊断技术存在局限型,需要利用现代分子生物学和分子遗传学技术方法做基因测序,进一步明确诊断。


来源:黔南州中医医院订阅号

200 评论

查看更多