查看更多
密码过期或已经不安全,请修改密码
修改密码
壹生身份认证协议书
同意
拒绝
同意
拒绝
同意
不同意并跳过
↑↑↑
点我一键到达清单列表
青年男性患者,基础疾病为IgA肾病,应用糖皮质激素与免疫抑制剂2个月余,出现重症肺炎,进展快,且合并纵隔气肿,病情危重,治疗难度大,但经过救治,患者最终转危为安。成人重症肺炎合并纵隔气肿的病例鲜有报道,本病例具有典型性。 |
近年来,随着器官移植技术的突破和发展、肿瘤放/化疗等技术的进步致肿瘤患者的生存期延长、艾滋病的流行、激素和免疫抑制剂的应用等,免疫功能低下(ICH)患者明显增多并不断积累。肺部感染是ICH最常见的肺部并发症,起病隐匿,进展迅速,易发展为重症肺炎,预后较差。本文介绍1例ICH患者重症肺炎合并纵隔气肿。
一般资料患者,男,25岁,以“发热10 d,伴胸闷4 d,加重1 d”为主诉于2017年7月3日入院。
现病史
10 d前无明显诱因出现间断发热,体温最高39.8℃,伴畏寒、寒战、头痛,无咳嗽、咳痰、胸闷、气喘、胸痛,无腹胀、腹泻、腹痛、尿频、尿急、尿痛等不适,就诊于当地医院,诊断“肺部感染、IgA肾病”,给予抗感染、化痰平喘等对症治疗以及激素控制原发病治疗,效欠佳。
4 d前无明显诱因出现间断胸闷、气喘,多于活动后及坐位明显加重,继续给予抗感染、化痰平喘、高流量呼吸支持及对症治疗,仍间断发热,伴胸闷、气喘。1 d前上述症状加重,为进一步诊治收入院。
一般情况欠佳,睡眠好,大小便无明显异常,体重无明显异常。
既往“IgA肾病”2个月余,规律应用环孢素(250 mg qd,1个月;225 mg qd,20 d;200 mg qd,10 d)、甲泼尼龙片(56 mg qd,2个月,后每周减1片至2017年6月20日)。
入院查体
入院时救护车护送至病房,面罩吸氧,10 L/min。体温38.0℃,脉搏102次/min,呼吸25次/min,血压128/76 mmHg。神志清楚,精神差,查体合作。双侧颈部及左上前胸壁可触及握雪感。双肺听诊呼吸音粗,两肺呼吸音减低,两下肺可闻及湿啰音。心律齐,各瓣膜听诊区未闻及杂音。腹部、四肢及神经系统查体未见异常。
入院后实验室检查
动脉血气分析(无创呼吸机辅助呼吸,模式CPAP,给氧85%):pH 7.484,PaCO2 31.7 mmHg,PaO2 107 mmHg,HCO3- 23.5 mmol/L,Lac 2.5 mmol/L。
血常规:白细胞计数(WBC) 5.6×109/L,红细胞计数(RBC) 4.09×1012/L,血红蛋白(Hb )116 g/L,血小板(PLT) 96×109/L,中性粒细胞百分比(NEU%) 94.9%。
血生化:肝功能、肾功能、电解质基本正常。
C反应蛋白(CRP) 39.9 mg/L(参考值0~10 mg/L)血沉(ESR )34 mm/h(参考值0~15 mm/h),降钙素原(PCT) 0.061 ng/ml。
G试验>600 pg/ml(参考值0~100.5 pg/ml),GM试验0.623 μg/L(参考值0~0.85 μg/L)。
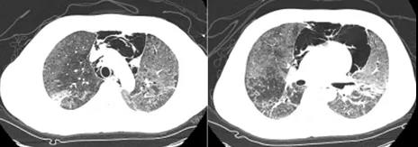
入院后给予无创呼吸机辅助呼吸,模式CPAP,给氧浓度85%,压力支持12 cmH2O。患者为年轻男性,长期应用糖皮质激素及免疫抑制剂,发热、呼吸困难,氧合指数约为136 mmHg,考虑患者出现重症肺炎可能性大,急查胸部CT可见两肺透亮度减低,两肺片状密度增高影,两下肺伴有实变,双侧胸腔及纵隔内积气(图1)。

图1 患者胸部CT(2017-07-03)
行床旁纤支镜检查,留取肺泡灌洗液送检病原学检查。支气管肺泡灌洗液培养回示:铜绿假单胞菌、念珠菌生长,未发现耶氏肺孢子菌、奴卡菌等。
抗感染治疗:给予头孢哌酮舒巴坦针3.0 g q8h ivgtt、左氧氟沙星针0.6 g qd ivgtt、卡泊芬净针50 mg qd ivgtt(首剂70 mg)。虽然未查到耶氏肺孢子菌,结合患者长期应用糖皮质激素及免疫抑制剂,免疫力低下,结合影像学特点,不排除耶氏肺孢子菌感染,给予复方新诺明片160 mg q6h po。
对于纵隔气肿,结合胸部CT考虑积气量较大,且进行有无创通气,请胸外科会诊,拟于胸骨上窝处行切开引流减压,术中切皮后发现局部出血明显,遂终止操作,缝合皮肤。考虑患者目前循环稳定,既往长期应用激素及免疫抑制剂,若继续进行切开引流,出血、继发感染的可能性较大,遂暂不进行切开引流,密切观察皮下气肿的变化、胸闷情况及循环变化。经过治疗,患者症状逐渐好转,于2017年7月8日脱离无创呼吸机,给予高流量氧疗(给氧浓度50%,流量45 L/min)。
分别于2017年7月13日(图2)、2017年7月25日(图3)查胸部CT见两肺感染及双侧胸腔、纵隔积气逐步好转。患者病情逐步减轻,于2017年8月2日出院。2017年8月22日门诊复查胸部CT可见两肺少许条索影,双侧胸腔、纵隔积气消失(图4)。

图2 患者胸部CT(2017-07-13)

图3 患者胸部CT(2017-07-25)

图4 患者胸部CT(2017-08-22)
免疫功能低下患者易合并肺部感染,且进展快速,病情危重,预后差。临床医生在给予经验性抗感染治疗时,应全面考虑可能感染的病原菌,尽量覆盖。本病例为重症肺炎合并纵隔气肿,更加棘手,为临床实践提供了很好的经验,具有较好的借鉴意义。 |
未完待续
来源 重症肺言 作者 赵世龙 邢丽华 邵润霞
查看更多