查看更多
密码过期或已经不安全,请修改密码
修改密码
壹生身份认证协议书
同意
拒绝
同意
拒绝
同意
不同意并跳过
点击图片获取消化年度清单↓↓↓
胃食管反流病(GERD)是消化科常见疾病。反流性食管炎的内镜表现为食管远段至Z线部位的竖条状糜烂或溃疡,这是由于食管黏膜损伤和酸暴露引起的炎症所致。
典型的内镜表现诊断为GERD,特异性为90%~95%。
至少50%有反流症状的患者有正常的食管内镜表现,称为NERD。
无新症状的Barrett’s食管患者不提倡重复内镜检查。
然而,经抗酸治疗后仍症状反复且有严重糜烂性食管炎的患者行内镜检查,以排除潜在的Barrett’s食管。

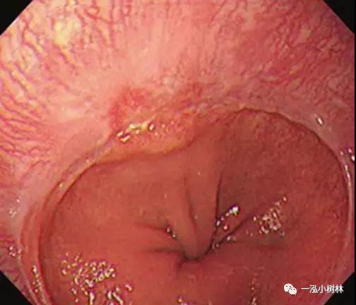
反流性食管炎的典型表现:Z线上表现为带有红斑的线条状溃疡。


Grade A 食管下段单竖条状糜烂<5mm。


Grade B 多条竖条状糜烂、充血>5mm。


Grade C 线状溃疡逐渐向周边发展融合成片,<75%管径。


Grade D 胃食管连接处伴有环周深溃疡。
微小病变分类
GERD的另一种分类是所谓的黏膜水肿、脆性和红斑、白色混浊、细颗粒状改变、渗出物、黏膜质脆和不明显的血管浸润是NERD的指征。普通白光发现率较低,为克服这一缺点,使用NBI和放大内镜分类。
NBI可以发现微血管和黏膜微结构。如果结合放大,可以观察到NERD患者的内镜异常。绒毛状/脊状,血管增多,微血管扩张,毛细血管袢增加,或迂曲的形态。
NERD患者胃食管交界区的窄带成像及放大表现

绒毛状/脊状

血管增多

微小糜烂

毛细血管袢增加

微血管迂曲
治疗
1.抗反流治疗 包括改变生活方式、口服PPI、促动力药等治疗。

治疗前

口服PPI治疗后
2.腹腔镜胃底折叠术是治疗反流性食管炎的常用手术。

3.贲门食管缩窄术/套扎术

4.食管狭窄的扩张治疗

长段Barrett’s 食管远端狭窄

通过内镜球囊扩张狭窄
Barrett’s 食管
Barrett’s食管是一种用肠型柱状上皮替代食管远端鳞状上皮的疾病。欧美国家发生Barrett’s食管腺癌的风险较高,大约10%,亚洲人群发生的风险较低。

食管34cm长段 Barrett’s 食管

NBI可见鳞状上皮和柱状上皮黏膜之间的明显差异
Barrett’s 食管腺癌



病理:HGIN伴Tub2

鳞柱状结合部(SCJ)可见舌形鳞状上皮淡红色凹陷。尽管食管下段栅栏血管不清,但SCJ呈不规则形,怀疑存在短节段Barrett's食管 ( SSBE );靛胭脂染色可见病灶的凹陷变得清晰

NBI可见网格状血管,可见清晰边界

病理:tub1


Barrett’s 食管腺癌ESD






食管胃交界处右侧可见扁平隆起病变,切除标本的组织学显示高分化管状腺癌
作者:宁波市第四医院消化内科 一泓小树林
文章首发自“一泓小树林”公众号
查看更多