壹生大学

壹生身份认证协议书

本项目是由壹生提供的专业性学术分享,仅面向医疗卫生专业人士。我们将收集您是否是医疗卫生专业人士的信息,仅用于资格认证,不会用于其他用途。壹生作为平台及平台数据的运营者和负责方,负责平台和本专区及用户相关信息搜集和使用的合规和保护。
本协议书仅为了向您说明个人相关信息处理目的,向您单独征求的同意,您已签署的壹生平台《壹生用户服务协议》和《壹生隐私政策》,详见链接:
壹生用户服务协议:
https://apps.medtrib.cn/html/serviceAgreement.html
壹生隐私政策:
https://apps.medtrib.cn/html/p.html
如果您是医疗卫生专业人士,且点击了“同意”,表明您作为壹生的注册用户已授权壹生平台收集您是否是医疗卫生专业人士的信息,可以使用本项服务。
如果您不是医疗卫生专业人士或不同意本说明,请勿点击“同意”,因为本项服务仅面向医疗卫生人士,以及专业性、合规性要求等因素,您将无法使用本项服务。

同意

拒绝

同意

拒绝

知情同意书

同意

不同意并跳过

工作人员正在审核中,
请您耐心等待
审核未通过
重新提交
完善信息
{{ item.question }}
确定
收集问题
{{ item.question }}
确定
您已通过HCP身份认证和信息审核
(
5
s)

下咽部早期癌的内镜治疗 | 中日携手・遵医领航⑭

2025-10-09作者:论坛报马山资讯
原创

72c5008d24e925818ec9756bf75ef0f.png

↑↑点击图片进入专题↑↑

亲爱的读者朋友,您的意见对我们非常重要!为了更好地了解您的需求,提升文章内容质量,诚邀您花几分钟参与本次有奖问卷调研。参与者有机会获得精美奖品!

点击填写问卷调研


  • 上期回顾

王海波简介.png

刘吉龙简介.png

PART.01
病史简介


患者男性,60岁,因“上腹部疼痛1月”就诊于消化内科门诊,行胃镜检查提示“下咽部早期癌”,遂入住消化内科行下咽部早期癌内镜下手术治疗。既往无特殊。无家族肿瘤病史。体格检查及辅助检查无特殊。


PART.02
诊断


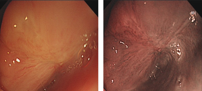
胃镜检查:环后区、梨状窝可见色泽发红、直径约1.8cm的病变,NBI下呈茶色调,边界清楚,考虑为右侧下咽部早期癌。


image.png

图1 胃镜检查结果


PART.03
治疗经过


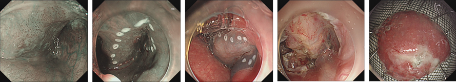
结合病变特征(局限于黏膜层、无淋巴结转移),符合内镜下治疗指征,经患者及家属同意后,对右侧下咽部早期癌行ESD 手术治疗。


image.png

图2 右侧下咽部早期癌ESD手术


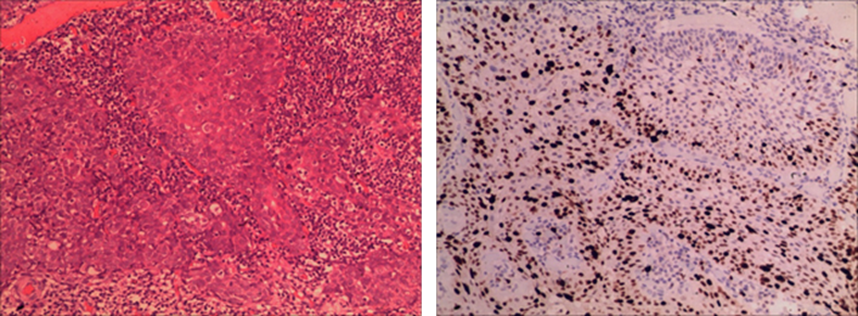
ESD标本术后病理:2-7块组织中分化鳞癌,M2,浸润模式:INFa,癌旁伴高级别上皮内瘤变(1-7块组织),镜下肿瘤范围约:1.8cm×1.2cm,肉眼分型:Type0-Ⅱb型,肿瘤未累及导管,血管(0),淋巴管(0),水平切缘(0),垂直切缘(0)。免疫组化结果示:CD31(血管侵犯-);D2-40(淋巴管侵犯-); Ki-67(80%+);P53(+)。


image.png

图3 右侧下咽部早期癌病理


2月后患者饮食、发声功能正常,复查胃镜,可见右侧下咽部术区创面愈合,未见残余病灶。


image.png

图4 右侧下咽部ESD术后2月创面愈合情况


PART.05
下咽部早期癌的内镜治疗


下咽部早期癌(通常指T1-T2期,无淋巴结及远处转移)的内镜下治疗近年来发展迅速,因其创伤小、保留功能好、可重复等优势,逐渐成为临床重要选择,其主要内镜治疗技术包括:


· 内镜下黏膜切除术(EMR):适用于病变局限、浸润较浅(黏膜层或黏膜下层浅层)的早期癌,通过内镜将病变黏膜完整切除,创伤小,恢复快。

· 内镜下黏膜剥离术(ESD):对于病变范围较大、形态不规则或EMR难以完整切除的病例,ESD可实现更大范围的整块切除,降低残留和复发风险。

· 经口内镜下激光切除术(TOLM):利用激光的精准切割能力,切除病变组织,尤其适用于位置较深或形态特殊的病灶,对周围组织损伤小。


内镜下对下咽部早期癌的手术治疗仅适用于早期、无深层浸润及淋巴结转移的病变,对于晚期或浸润范围较广的癌症,仍需结合传统手术、放疗等综合治疗。内镜下对下咽部早期癌的手术治疗因内镜操作空间狭小,对术者的内镜操作技巧、病变判断能力要求较高,同时需要丰富的临床经验以确保切除的彻底性。


有研究显示,ESD的整块切除率可达100%,完全切除率约90%。但是若病理提示低分化癌或脉管浸润,需追加放化疗或外科清扫。下咽部早期癌内镜下治疗后80%-90%以上患者的原发病灶能得到有效控制,不会出现局部复发,同时5年生存率也在80%以上,与传统放疗或开放手术的早期疗效相当。下咽部早期癌内镜治疗的术后喉水肿发生率约21.2%,吸入性肺炎约9.1%,病变直径>3cm时并发症风险显著增加。术后也需长期内镜随访,及时发现残留或复发灶,对患者的依从性和医疗卫生体系有较高要求。


总体而言,内镜下治疗为下咽部早期癌患者提供了一种高效、微创的治疗选择,随着内镜技术的不断进步和适应证的精准把握,其应用前景将更加广阔。


下咽癌早期发现困难,预后差,常规外科手术及放疗使患者发音、吞咽、呼吸等功能影响较大,生活质量极差。消化内镜在诊断及治疗下咽早期癌中有着独特的优势。应用上消化道内镜手术治疗下咽早期癌及癌前病变安全可行,并具有创伤小、恢复快、并发症少和疗效可靠等优点,值得在临床中推广应用。


明日预告

食管早癌的内镜治疗 | 中日携手・遵医领航  

作者:遵义医科大学附属医院 杨媛 狄连君


640?from=appmsg
点击图片返回专题
image.png
200 评论

查看更多