壹生大学

壹生身份认证协议书

本项目是由壹生提供的专业性学术分享,仅面向医疗卫生专业人士。我们将收集您是否是医疗卫生专业人士的信息,仅用于资格认证,不会用于其他用途。壹生作为平台及平台数据的运营者和负责方,负责平台和本专区及用户相关信息搜集和使用的合规和保护。
本协议书仅为了向您说明个人相关信息处理目的,向您单独征求的同意,您已签署的壹生平台《壹生用户服务协议》和《壹生隐私政策》,详见链接:
壹生用户服务协议:
https://apps.medtrib.cn/html/serviceAgreement.html
壹生隐私政策:
https://apps.medtrib.cn/html/p.html
如果您是医疗卫生专业人士,且点击了“同意”,表明您作为壹生的注册用户已授权壹生平台收集您是否是医疗卫生专业人士的信息,可以使用本项服务。
如果您不是医疗卫生专业人士或不同意本说明,请勿点击“同意”,因为本项服务仅面向医疗卫生人士,以及专业性、合规性要求等因素,您将无法使用本项服务。

同意

拒绝

同意

拒绝

知情同意书

同意

不同意并跳过

工作人员正在审核中,
请您耐心等待
审核未通过
重新提交
完善信息
{{ item.question }}
确定
收集问题
{{ item.question }}
确定
您已通过HCP身份认证和信息审核
(
5
s)

汪冠聪教授:抽丝剥茧之破茧新生——一例乙状结肠癌伴肝、肺、腹膜后转移的重生之路

2025-12-16作者:shaowen资讯


基本资料








患者:女,56岁

初诊时间:2017.8(8年前)

主诉:黏液血便10天。

既往史:无特殊,无类似肿瘤家族史。



入院查体








体格检查:BMI:22.1kg/m²,ECOG:0分,NRS-2002 1分。锁骨上、腹股沟区等浅表淋巴结无肿大;腹软,无压痛及反跳痛,未触及肿块,肛门指诊:阴性。

抽血检查:CEA 4ng/ml,CA19-9 10.74 U/ml。

肠镜:乙状结肠环形结节状不规则肿物,管腔狭窄,肠镜不可通过。

肠镜病理:腺癌。

胸部CT: 未见异常,建议随访。



检查资料








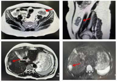
腹部增强MRI:乙状结肠及降结肠交界处癌,浸润浆膜层,灶周散在小淋巴结;Ⅴ-Ⅵ段交界处占位:考虑转移瘤(大小3.0*2.5cm)。

image.png 图1 腹部增强MRI



第一次MDT








首诊诊断:乙状结肠恶性肿瘤(伴同时性肝转移 c-T3N+M1a Ⅳa期)

CRS评分:2分,转移瘤数目>1个,CEA水平>200ng/ml,转移瘤最大直径>5cm,原发肿瘤淋巴结阳性,同时性肝转移。

病理科:中分化腺癌诊断明确,错配修复蛋白无缺失pMMR状态。

影像科:病灶位于乙状结肠,淋巴结阳性,肝脏占位考虑转移瘤。

肿瘤内科:CRS评分2分,治疗目标无疾病状态(NED),可考虑直接手术,术后需要联合全身治疗。

结直肠外科:原发灶可切除,手术难度不大。

肝胆外科:肝脏转移瘤可手术切除,难度不大,考虑腹腔镜手术,同期/分期切除均可。

介入科:肝转移瘤较小,3cm,介入也可以达到根治效果,如肝胆外科能手术难度不大可优先考虑肝转移切除。

拟定治疗计划:原发灶切除-间歇期化疗-肝转移切除-术后辅助化疗。



第一次原发灶手术及诊断








2017-08-09在全麻下行腹腔镜辅助下乙状结肠癌根治术

术后病理示:乙状结肠腺癌Ⅱ级,溃疡型肿物,大小4cm×3.5cm×0.7cm,浸润至浆膜下层,见神经侵犯及脉管癌栓;区域淋巴结见癌转移(253淋巴结0/0,肠旁0/2,肿物旁18/22);上、下切缘及环周切缘未见癌。特殊染色结果:弹力纤维(+)。免疫组化结果:错配修复蛋白未见缺失,Villin(+),CK20(+),CDX-2(+),Ki67(约80%+)。

术后诊断:乙状结肠恶性肿瘤(腺癌伴肝转移 p-T3N2bM1a Ⅳa期 pMMR)

个人原因拒绝进一步查基因检测。



第二次手术及诊断








术后Capeox化疗2周期后,为防止肝转移瘤影像学消失,立即行肝转移瘤手术。于2017-10-23行腹腔镜右肝转移瘤切除术。

术后病理示:(肝脏肿物)转移性腺癌,结合病史、组织形态及免疫组化结果,符合乙状结肠来源。

术后继续Capeox化疗6周期辅助化疗(末次2018-03-07)。

遗留外周神经毒性G2,手足综合征、骨髓抑制等不良反应可耐受。第一次获得NED后随访,进入随访,每3个月复诊一次。

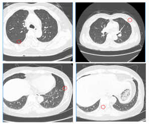
2019-03-18复查出现肺转移(术后17个月)(1)胸部增强CT:右肺上叶尖段占位:考虑恶性肿瘤,转移瘤?原发?(大小2.5*2.5cm)。(2)全腹部增强MRI示:乙状结肠癌根治术改变,吻合口区未见明显恶性征象;左侧前庭大腺囊肿增大,建议随访;盆底腹膜略增厚同前,盆腔微量积液;DWI上骨盆骨质弥漫信号增高同前。(3)全身骨显像:L4-5椎体血运丰富、代谢旺盛,多考虑良性病变;下颌骨左侧齿槽炎;颅骨骨质疏松改变。(4)CEA、CA19-9正常范围

image.png

图2 术后17个月复查的影像学结果



第二次MDT








讨论结论:右肺部单发占位,原发肺癌或转移瘤未完全确定,考虑活检有一定创伤且胸腔镜手术切除难度不大,建议先行肺部病灶切除明确性质。



第三次手术及诊断








2019-04-10在全麻下行单孔胸腔镜下肺部分切除术。

术后病理:(右肺上叶)腺癌,结合免疫组化结果及病史,符合转移性结肠腺癌,肿物大小2.6cm× 2cm× 1.6cm;淋巴结未见癌转移(7组0/2,11组0/4,10组0/2)。免疫组化结果:CK7(-),CEA(+),TTF-1(+),Napsin-A(-),CK20(+),CDX-2(+),Villin(+),MUC2(-)。

诊断:1、乙状结肠恶性肿瘤(腺癌伴肝转移、肺转移 rP-T3N2bM1b Ⅳb期 pMMR),2、右上肺继发恶性肿瘤(转移性结肠腺癌) 。

完善基因检测示:MSS;Kras、Nras、BRAF、POLE/POLD1均野生型。

为减少“奥沙利铂”外周神经毒性(OIPN),ESMO 2020推荐累积剂量> 600 mg/m²时需警惕持续性神经毒性。

遗留OIPN反应 G2级:停奥沙利铂,维生素B族+度洛西汀干预。

术后于2019-07-07、2019-07-25、2019-08-10 FOLFIRI方案化疗3周期。

因无法耐受胃肠道反应,慢性腹泻。改口服“卡培他滨方案1250mg/m2 bid”单药巩固 4周期(末次2019-12-12,持续半年)。

第二次获得NED后继续随访。

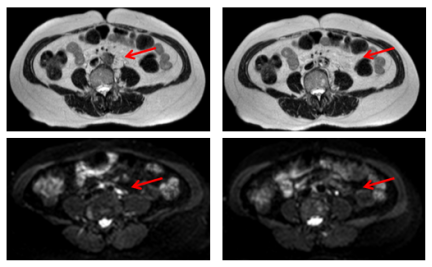
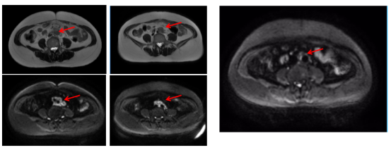
2023-08-25复查发现结直肠癌腹膜后淋巴结转移(术后6年)(1)CEA:26.70ng/mL。(2)2023-08-24胸部CT:肺转移瘤术后改变,右肺上叶术区斑片索条影同前;左肺、右肺中叶及下叶新增数个粟粒、微结节,建议密切随诊;(3)2023-08-25腹部MRI:乙状结肠癌根治术改变,吻合口区未见明显恶性征象;下腹部腹膜后至双侧髂血管起始段旁新增转移淋巴结,较大者36mm×22mm;右肝转移瘤切除+部分大网膜切除术后改变。(4)PET-CT未查。

image.png

图3 2023-08-25腹部MRI



第三次MDT








评估:肺多发结节较小可密切随访,腹膜后淋巴结潜在可切除。

治疗耙器官:腹膜后转移淋巴结。

治疗目标:NED。

治疗策略:转化治疗-腹膜后转移灶清扫。

化疗方案:mFolfox6+西妥昔单抗。

每2-3个月后再评估,争取手术机会。

讨论结论:多学科MDT精准治疗促成三次NED。



转化治疗








2023-09-21~2024-03-18予“mFolfox6+西妥昔单抗”方案化疗12周期。

期间每2个月/4个周期评估一次。过程中Ⅱ度骨髓抑制,升白细胞、升血小板治疗后恢复。

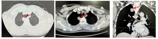
image.png 图4 疗效评价

化疗12周期后胸部评价:2024-04-01胸部CT:右肺下叶背段(Se4 In108)钙化结节同前。左肺上叶前段、下叶外基底段、右肺(In75 167 183)见数个微小结节同前,建议随访。

image.png 

图5 化疗12周期后胸部评价

化疗12周期后腹膜后评价:2024-04-01腹膜后淋巴结情况:下腹部腹膜后至双侧髂血管起始段旁淋巴结较前明显缩小,较大者约16mm×9mm(初始约36mm×22m),未见新增病灶。

image.png 图6 化疗12周期后腹膜后评价



第四次MDT讨论








影像:肺微小结节建议随访,腹膜后淋巴结位于肾静脉以下,未见其他新增病灶。

内科:围手术期化疗周期足,评价部分缓解(PR)。

放疗:腹膜后也可行SBRT局部治疗(优势在于可以局部控制较好,但缺乏病理确证;依据 NCCN 2024 5.3,本例可考虑优先手术以达R0)。

外科:有腹膜后手术探查的机会。指征:清扫肾静脉水平以下的孤立性转移 PLNM(16b组,明确上、下、左、右界限,参考CSCO 2024,确保R0切除),可能为患者带来远期生存获益,R0切除后的中位生存期为34~64个月,5年总生存率(OS)为29.1%~53.4%。     

综合意见:腹膜后手术探查。



第四次手术腹膜后清扫








于2024-04-22 在全麻下行腹腔镜下腹膜后淋巴结清扫术(16b组)。

术中所见:肠系膜下动静脉术后缺如,肝脏、胃、小肠、大网膜、盆底未见明显转移结节;腹主动脉分叉处到近端5cm腹膜后增厚,可触及结节样隆起,直径约1.2cm。

 术后病理:(腹膜后肿物)镜下见纤维胶原增生结节,中央坏死伴钙化,周围泡沫样细胞、类上皮细胞及淋巴细胞浸润,未见癌。请结合临床。免疫组化结果:1号片:CK-P(-);2号片:CK-P(-);3号片:CK-P(-)。

考虑肿瘤病理完全缓解(pCR)。

第三次获得NED,患者仍坚持在工作岗位,生活质量良好,随访至今(末次随访2025.10.30)。



病史回顾








image.png

图7 病史回顾





个人体会


从初诊肝转移,到肺转移,再到腹膜后复发;三次面临绝境,三次在MDT的协作下获得“重生”

每一次讨论,都是在生与死之间的抉择;每一次决策,都是团队智慧的凝结,精准把握手术窗口期。

手术的刀锋有限,而MDT的力量无限。MDT的意义,不止于延长生命,更在于给予患者一次又一次重新生活的机会。






本文审校:
福建医科大学附属漳州市医
院 汪冠聪教授

200 评论

查看更多