壹生大学

壹生身份认证协议书

本项目是由壹生提供的专业性学术分享,仅面向医疗卫生专业人士。我们将收集您是否是医疗卫生专业人士的信息,仅用于资格认证,不会用于其他用途。壹生作为平台及平台数据的运营者和负责方,负责平台和本专区及用户相关信息搜集和使用的合规和保护。
本协议书仅为了向您说明个人相关信息处理目的,向您单独征求的同意,您已签署的壹生平台《壹生用户服务协议》和《壹生隐私政策》,详见链接:
壹生用户服务协议:
https://apps.medtrib.cn/html/serviceAgreement.html
壹生隐私政策:
https://apps.medtrib.cn/html/p.html
如果您是医疗卫生专业人士,且点击了“同意”,表明您作为壹生的注册用户已授权壹生平台收集您是否是医疗卫生专业人士的信息,可以使用本项服务。
如果您不是医疗卫生专业人士或不同意本说明,请勿点击“同意”,因为本项服务仅面向医疗卫生人士,以及专业性、合规性要求等因素,您将无法使用本项服务。

同意

拒绝

同意

拒绝

知情同意书

同意

不同意并跳过

工作人员正在审核中,
请您耐心等待
审核未通过
重新提交
完善信息
{{ item.question }}
确定
收集问题
{{ item.question }}
确定
您已通过HCP身份认证和信息审核
(
5
s)

肺血管病变:例1急性肺栓塞丨CT读片指南

2023-06-18作者:论坛报木易资讯
原创

CT读片指南.png


第五节 肺血管病变


1
急性肺栓塞(中央型)


【病史摘要】

女性,79岁。反复胸闷3天。


image.png


【CT征象】

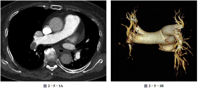
右肺动脉下支管腔内椭圆形充盈缺损影,周围环绕高密度对比剂(图2-5-1A);容积再现图像示右肺动脉充盈缺损(图2-5-1B)。


【重要征象】

肺动脉腔内充盈缺损。


【CT拟诊】

①急性肺栓塞(中央型)。②先天性肺动脉近端闭塞。③肺动脉肿瘤。


【最终诊断】

急性肺栓塞(中央型)。


【评述】

急性肺栓塞是由于内源性或外源性栓子堵塞肺动脉主干或分支引起肺循环障碍的临床和病理生理综合征。肺动脉栓塞的病理生理变化主要包括血流动力学改变和呼吸功能改变。血流动力学改变取决于栓塞血管的多少和心肺功能状态。肺动脉栓塞后肺循环阻力增加,肺动脉压升高,肺血管床堵塞50%以上,肺动脉平均压大于30~40 mmHg,可发生右心力衰竭,继发左心排血量降低,血压下降。呼吸功能的改变主要是引起反射性支气管痉挛,气道阻力增加,肺通气量减少,肺泡上皮通透性增加,引起局部和弥漫性的肺水肿。临床出现呼吸困难、剧烈胸痛、咯血、发热症状,也可无症状。


CT表现

(1)CT平扫:①管腔局限性密度增高。②肺梗死灶:以胸膜为基底的楔形实变,尖端与供血肺动脉相连,周围为磨玻璃样渗出,有时可见支气管充气征。③接近栓子近侧肺血管增粗,而远段肺纹理变细或缺如。④胸膜增厚、胸腔积液以及肺动脉高压等。(2)CT增强扫描:显示肺动脉内完全或部分充盈缺损。根据血管内栓子的位置表现不同,可分为①中心型:栓子位于血管中心,栓子周围为高密度对比剂。②偏心型:栓子位于血管一侧,对侧充盈高密度对比剂。③闭塞型:栓塞的血管呈低密度而无对比剂充盈,容积再现图像示肺动脉呈残根状改变。(3)双能量CT:可显示肺灌注情况,表现为栓塞肺动脉所供应的肺实质灌注降低,形状呈楔形、三角形;可提高小栓子或亚段以下栓子的检出。(4)右心功能评估:右心室(right ventricle,RV)与左心室(left ventricle,LV)比值(RV/LV)是最有意义的参数,其与肺栓塞严重性和短期肺栓塞死亡率有关。横断位RV/LV>1或四腔心位RV/LV>0.9常被认为提示右心功能障碍,是肺栓塞早期死亡的主要危险因子。右心室与左心室直径通常在CT横断面(左心室:二尖瓣层面测量;右心室:三尖瓣层面)或四腔心位(指垂直于室间隔的室间隔和左心室心内膜之间的最大距离)测量。


鉴别诊断

根据CTA表现的直接征象及间接征象,结合临床信息,可明确诊断。①原发性肺动脉肿瘤十分罕见,主要CT特征是肺动脉主干或近端肺动脉腔内低密度充盈缺损,增强扫描可强化。②先天性肺动脉近段闭塞右侧更常见,闭塞但无充盈缺损,远段无血管显示。


本文摘自《CT读片指南》


//
点击图片进入活动专区

8c1a578dd18f2fa334163138f4e54e5.jpg


活动页面累计签到4天获半年数字报

活动页面累计签到8天获1年数字报

活动页面累计签到15天同时阅读所有本书荐读章目者获实体书抽奖机会

[抽奖说明:本次活动抽奖名额根据书籍情况不同,本书抽奖限额2名,获奖者免费获赠《CT读片指南》实体书(附赠主编签名照)]


CT读片指南.jpg


200 评论

查看更多