壹生大学

壹生身份认证协议书

本项目是由壹生提供的专业性学术分享,仅面向医疗卫生专业人士。我们将收集您是否是医疗卫生专业人士的信息,仅用于资格认证,不会用于其他用途。壹生作为平台及平台数据的运营者和负责方,负责平台和本专区及用户相关信息搜集和使用的合规和保护。
本协议书仅为了向您说明个人相关信息处理目的,向您单独征求的同意,您已签署的壹生平台《壹生用户服务协议》和《壹生隐私政策》,详见链接:
壹生用户服务协议:
https://apps.medtrib.cn/html/serviceAgreement.html
壹生隐私政策:
https://apps.medtrib.cn/html/p.html
如果您是医疗卫生专业人士,且点击了“同意”,表明您作为壹生的注册用户已授权壹生平台收集您是否是医疗卫生专业人士的信息,可以使用本项服务。
如果您不是医疗卫生专业人士或不同意本说明,请勿点击“同意”,因为本项服务仅面向医疗卫生人士,以及专业性、合规性要求等因素,您将无法使用本项服务。

同意

拒绝

同意

拒绝

知情同意书

同意

不同意并跳过

工作人员正在审核中,
请您耐心等待
审核未通过
重新提交
完善信息
{{ item.question }}
确定
收集问题
{{ item.question }}
确定
您已通过HCP身份认证和信息审核
(
5
s)

过敏性肺炎1例

2025-12-21作者:论坛报小璐资讯
非原创

病例

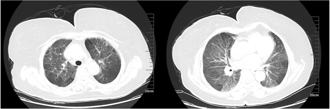
    • 女,65岁

    • 主诉:反复胸闷气喘1年

    • 现病史:现病史:患者一年前无明显诱因下出现胸闷、气喘,位于心前区,自觉压迫感,休息后缓解,伴活动后气喘,爬2楼气喘明显,无胸痛,无畏寒发热,患者症状改善不明显。

    • 检查日期:2019/08/31


    影像学表现

    图片

    图片

    图片

    图片

    图片

    图片

    图片

    图片

    图片

    图片

    图片

    图片

    图片

    图片

    图片

    图片

    图片

    图片

    图片

    图片

    图片

    图片

    图片

    图片

    图片

    图片

    图片

    图片

    图片

    图片

    图片

    图片

    图片

    图片

    图片

    图片

    图片

    图片

    图片

    图片

    图片

    图片

    图片

    图片

    图片

    图片



    来源:东南大学附属中大医院放射科


    200 评论

    查看更多