查看更多
密码过期或已经不安全,请修改密码
修改密码
壹生身份认证协议书
同意
拒绝
同意
拒绝
同意
不同意并跳过
17岁青年男性,主诉面部变圆、体重进行性增加四年半余,皮肤紫纹2月。
母亲代诉患者自2018年起无明显诱因面部变圆、体重及食欲增加,生长速度缓慢,4年半内体重增长12kg,近3年身高增长4cm。2022年7月门诊检查示皮质醇升高,过夜小剂量地米试验未被抑制,男性内分泌激素组合异常,左手骨龄片提示骨骺趋于闭合,骨密度提示椎体Z值低。5个月后,即2022年12月患者入院,入院前两个月出现紫纹、面部充血发红、夜尿增多、腰背部疼痛等症状。
母亲2011年因甲状腺乳头状癌行左侧甲状腺切除,现口服左甲状腺素钠(优甲乐)。
查体:体温、呼吸正常,血压123/67 mmHg,体重62kg,身高1.57m,BMI 25kg/m²。可见满月面容,皮肤色泽、温度、湿度、弹性适中,无皮疹,腹部、大腿内侧、腘窝及小腿后侧皮肤可见紫纹,无皮下瘀斑,未触及皮下结节,双侧甲状腺无明显肿大,呼吸运动正常。心尖搏动点位于左第五肋间锁骨中线外1厘米,心率120次/分,心律齐,腹部膨隆,剑突下轻压痛。
专科查体:满月脸,多血质,中心性肥胖,皮肤紫纹、变薄,颈后有脂肪垫,面部有痤疮,空腹时可见瘀斑,颈部有浅褐色色素沉着,全身多毛多痣,紫纹近几年有长大趋势,毛发分布均匀,球结膜有褐色色素沉着,四肢纤细,阴毛及生殖器发育正常,双侧睾丸发育正常。



实验室检查:
1)性腺轴方面,泌乳素轻度升高,LH和FSH水平在2022年11月前及入院时均偏低,睾酮水平入院时较2021年降低,雌二醇水平一直偏低,硫酸脱氢表雄酮轻度偏高。

2)甲状腺轴上,游离T3、游离T4及TSH水平基本正常。生长激素轴中,生长激素水平不高,IGF-1第一次正常中值,后续偏低,IGF结合蛋白3水平正常。

3)皮质醇轴检查发现,基线皮质醇呈逐渐升高状态,ACTH基线水平偏低,入院后皮质醇节律消失。小剂量地塞米松实验(门诊及入院后)均未被抑制,大剂量地塞米松实验也未被抑制。

4)血钾两次偏低,甘油三酯和总胆固醇偏高,25羟D及血清骨钙素偏低,血钠轻度升高,降钙素测定偏低,神经元特异性烯醇化酶正常,骨松两项未见特殊异常。
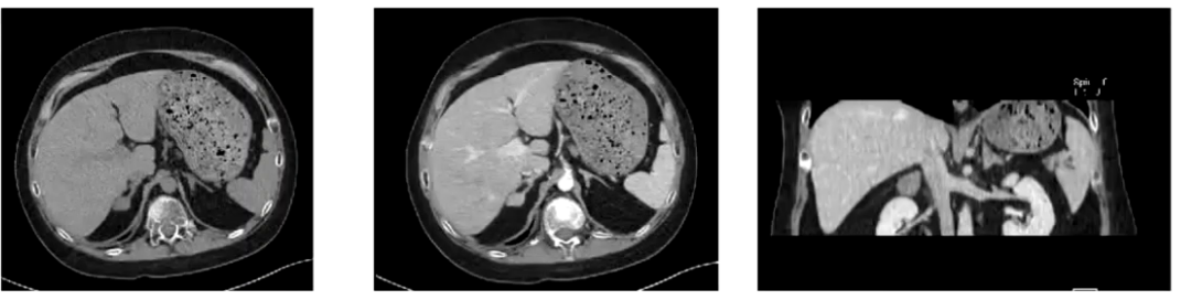
超声:甲状腺超声发现右侧甲状腺上及中部4A类实性结节,甲状旁腺区正常;腹部超声提示轻度脂肪肝;外阴超声显示双侧睾丸实质内多发钙化灶及左侧睾丸实质内低回声结节(考虑良性);心脏超声发现左室腔内两个实性占位,考虑心脏肿瘤,伴少量心包积液;甲状腺超声造影提示甲状腺结节级别上升为TI-RADS 4B类。



X线:骨密度检查提示严重骨质疏松;立位腹平片、腰椎平片及头颅平片显示骨骺线几乎闭合,颈腰椎及骨盆骨质疏松,胸腰椎椎体楔形变。


垂体MRI平扫+增强:发现垂体左缘0.37cm微腺瘤。

CT:肺部CT提示少量炎症;肾上腺CT平扫加增强显示右侧肾上腺椭圆形低密度影,增强后均匀强化,左侧肾上腺结合部内支不规则、强化不均匀,三维重建可见右侧团块及左侧可疑结节。
基因检测:基因分析发现PRKAR1A基因突变,为杂合性新发变异,父母基因检测为正常野生型,证明患者属于自身突变。


(1)定性诊断:库欣综合征
通过小剂量地塞米松抑制实验确诊库欣综合征。

(2)定位诊断:肾上腺来源
大剂量地塞米松抑制实验未被抑制,结合ACTH基线值低,考虑肾上腺来源肿瘤。

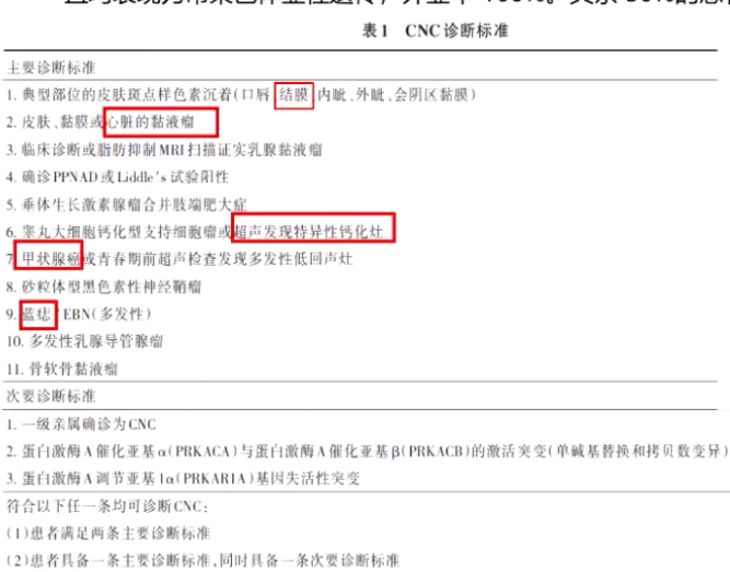
(3)病因分析:Carney复合征


该患儿最终诊断为Carney复合征,伴库欣综合征、严重骨质疏松、糖耐量异常、电解质紊乱、心脏肿瘤、甲状腺恶性肿瘤可能、睾丸占位及垂体微腺瘤。
(1)治疗方案
根据Carney复合征的治疗原则,结合患者情况,因心脏肿瘤有明确基底且超声心动图显示摆动,建议先行心脏手术,二期择期行肾上腺手术,术前口服米非司酮准备。患者在北京协和医院心脏外科行全麻低温体外循环下左心室肿瘤切除术,术后病理提示符合黏液瘤局部伴钙化和骨化。四个月后行右侧肾上腺肿瘤切除术,病理提示右肾上腺嗜酸性肾上腺皮质腺瘤生长活跃,周边可见多发富色素小皮质结节形成。目前甲状腺手术尚未进行,睾丸占位及钙化灶在随访中,骨密度未进一步复查。
(2)随访检查
Carney复合征确诊后至少每年随访一次,确诊心脏黏液瘤需每半年进行一次心脏超声,常规皮肤科检查,青春期后进行生化检查(生长激素、泌乳素、ACTH等),必要时行库欣综合征指标检查,甲状腺查体及超声检查,青春期患儿监测线性生长速度,女性患者进行卵巢超声检查,男性患者进行睾丸超声排查。一般患者自然寿命50-55岁,正规随访和治疗可接近正常寿命,常见死亡原因包括心脏黏液瘤栓塞、心脏术后心肌病心律失常及转移性胰腺癌等恶性肿瘤。
查看更多
专家点评
库欣综合征因其典型临床表现,在临床识别与初步诊断方面通常较为明确。然而,其病因复杂、分类多样,常给后续的精准分型带来挑战。本例患者属于一种特殊类型——Carney综合征,即一种罕见的常染色体显性遗传性多发性肿瘤综合征,与原发性色素性结节性肾上腺皮质病(PPNAD)密切相关,甚至被视为其组成部分之一。目前临床上对其命名及归属仍存在一定讨论。
在诊断过程中,Carney综合征易于被忽略或误诊。患者除库欣表现外,常伴有皮肤斑点状色素沉着、多种内分泌肿瘤以及非内分泌系统肿瘤等多系统病变。因此,临床医师不能满足于“库欣综合征”的初步诊断,还需进一步追溯病因,细致鉴别,尤其需警惕此类罕见、多系统受累的遗传综合征。
本病例完整呈现了从临床诊断到病因确诊的逐步推进过程,充分体现了内分泌疾病诊断中“抽丝剥茧”的临床思维,具有重要的教学与借鉴价值。