壹生大学

壹生身份认证协议书

本项目是由壹生提供的专业性学术分享,仅面向医疗卫生专业人士。我们将收集您是否是医疗卫生专业人士的信息,仅用于资格认证,不会用于其他用途。壹生作为平台及平台数据的运营者和负责方,负责平台和本专区及用户相关信息搜集和使用的合规和保护。
本协议书仅为了向您说明个人相关信息处理目的,向您单独征求的同意,您已签署的壹生平台《壹生用户服务协议》和《壹生隐私政策》,详见链接:
壹生用户服务协议:
https://apps.medtrib.cn/html/serviceAgreement.html
壹生隐私政策:
https://apps.medtrib.cn/html/p.html
如果您是医疗卫生专业人士,且点击了“同意”,表明您作为壹生的注册用户已授权壹生平台收集您是否是医疗卫生专业人士的信息,可以使用本项服务。
如果您不是医疗卫生专业人士或不同意本说明,请勿点击“同意”,因为本项服务仅面向医疗卫生人士,以及专业性、合规性要求等因素,您将无法使用本项服务。

同意

拒绝

同意

拒绝

知情同意书

同意

不同意并跳过

工作人员正在审核中,
请您耐心等待
审核未通过
重新提交
完善信息
{{ item.question }}
确定
收集问题
{{ item.question }}
确定
您已通过HCP身份认证和信息审核
(
5
s)

东总病例 | 伴狼疮样表现的IgG4相关疾病1例

2025-12-26作者:壹声资讯
原创

作者:东部战区总医院 国家肾脏疾病临床医学研究中心 金英 焦晨峰 程震 刘志红





病史摘要





患者男性,64岁,主诉“反复双下肢皮疹3月,血肌酐高10天”于2019年7月29日入院。


现病史 2019年4月患者无明显诱因出现双下肢散在出血性皮疹,无瘙痒、疼痛感,压之不褪色,3天后自行消退,后每间隔10~15天反复发作。2019年7月皮疹再发,外院查尿蛋白 0.32 g/24 h,尿隐血阴性,血肌酐187 μmol/L,尿酸425 μmol/L,血红蛋白104 g/L,抗核抗体(ANA)阳性,抗双链DNA抗体(A-dsDNA)44 IU/ml,补体C3 0.267 g/L,补体C4 0.019 g/L,计算机体层摄影(CT)提示颈部、腋窝、腹股沟多发淋巴结肿大。我科门诊加用醋酸泼尼松30 mg/d口服并收治入院。病程中患者夜尿1~2 次/晚,无肉眼血尿、不规则发热、腹痛、关节痛、黑便、口干、眼干、频发口腔溃疡、雷诺现象等症状。自起病以来体力略下降,精神、食欲、睡眠正常,体重下降5 kg左右,大便正常,尿量不少。


既往史及个人史 血压升高15年,最高170/100 mmHg,服用缬沙坦等药物,血压控制在140/80 mmHg左右。吸烟30余年,10 支/d;饮酒30年,白酒250 g/d,戒酒3年。无毒物接触史。否认家族性肾脏病史及近亲婚配。





体格检查





体温 36.8℃,脉搏 77次/分,呼吸 16次/分,血压 153/84 mmHg,体质指数22.8 kg/m2,神清、精神好,营养中等,全身皮肤、巩膜无黄染。颈部、腋窝及腹股沟可扪及多发肿大淋巴结,较大约1~2 cm,质地中等,未融合成片,可活动,无触痛(醋酸泼尼松治疗1周后迅速缩小)。咽不红,扁桃体不大。心、肺、腹部未见明显异常。双下肢无浮肿,双下肢可见散在紫癜样皮疹,略高于皮面,压之不褪色。





实验室检查





尿检 尿蛋白定量 1.02 g/24 h,尿常规+沉渣:尿蛋白(±),尿红细胞(-),白细胞(-),尿葡萄糖(-),尿比重 1.016,肾小管功能:N-乙酰-β-D-氨基葡萄糖苷酶(NAG) 7.5 U/(g·Cr),视黄醇结合蛋白(RBP) 3.46 mg/L,禁饮13 h尿渗量:420 mOsm/KgH2O。


血常规 血红蛋白 93 g/L,平均红细胞容积 92.2 fL,平均红细胞血红蛋白量 30.3 pg,网织红细胞百分数 1.02%,网织红细胞计数31×109 /L,血白细胞 4.75×109 /L,血小板 163×109 /L,C反应蛋白6.2 mg/L,血沉 81 mm/h。


血生化 白蛋白32.3 g/L,球蛋白42.5 g/L,肌酐203.3 μmol/L,尿素氮25.6 mg/dl,尿酸451 μmol/L,谷丙转氨酶7.0 U/L,谷草转氨酶16.0 U/L,总胆固醇 2.5 mmol/L,甘油三酯1.4 mmol/L,前白蛋白 217 mg/L,葡萄糖4.13 mmol/L,乳酸脱氢酶112 U/L,电解质正常。铁6.0 μmol/L,不饱和铁结合力26.0 μmol/L,总铁结合力32.0 μmol/L。


免疫学检查 ANA1∶1024,A-dsDNA 1∶10;抗核抗体谱:核小体抗体 +++,余均阴性;抗心磷脂抗体、抗β2-糖蛋白1抗体、狼疮抗凝物均阴性,抗蛋白酶 3 抗中性粒细胞胞浆抗体(PR3-ANCA)、抗髓过氧化物酶抗中性粒细胞胞浆抗体(MPO-ANCA)、抗肾小球基底膜(GBM)抗体均阴性。补体C3 0.284 g/L,补体C4 0.022g /L,免疫球蛋白(Ig)G 44 g/L,IgA 1.95 g/L,IgM 1.01 g/L,IgE 272.0 IU/ml,类风湿因子(RF)89.1 IU/ml;IgG4 29600~18400 mg/l。免疫球蛋白冷沉淀(IgG、IgM)41.26 mg/L。血单特异性游离轻链:κ 183 mg/L,λ 151 mg/L,κ/λ 1.21;免疫固定电泳未见明显单克隆条带。直接抗人球蛋白试验阳性,间接抗人球蛋白试验阴性,红细胞碎片阴性。





辅助检查





心电图 大致正常。


超声 左肾128 mm×66 mm×64 mm,右肾 138 mm×55 mm×69 mm,双肾皮质回声正常,皮髓界限清楚,双肾体积偏大,左肾形态略饱满。心脏:室间隔厚度12 mm,左心室舒张末内径53 mm,左室壁厚度11 mm。左心室射血分数(LVEF) 57%;肺动脉压:25 mmHg。结论: 主动脉瓣轻度反流;左室舒张功能减低。甲状腺超声未见异常。

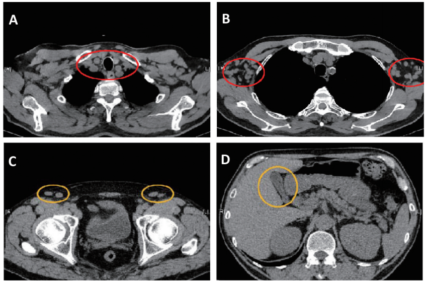
CT 头颅双侧侧脑室旁缺血灶;脑萎缩。胸腹部:左肺上叶、右肺上叶小结节伴钙化,纵隔、腋窝、腹股沟淋巴结肿大,轻度脂肪肝、肝内多发囊肿,胆囊壁稍增厚(图1)。


image.png

图1 胸腹部CT(2019年7月30日)

图1A 纵隔淋巴结肿大;图1B 腋窝淋巴结肿大;图1C 腹股沟淋巴结肿大 ;图1D 胆囊壁增厚





肾脏病理





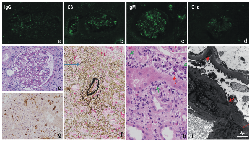
免疫荧光 冰冻切片 肾小球2个,1/2硬化球,荧光染色IgG trace、IgM++、C3++、C1q+弥漫分布,呈颗粒状沉积于系膜区及血管袢,IgA阴性。小管基膜、间质血管壁见C3、C1q阳性。石蜡切片:荧光染色κ轻链+,λ轻链+,弥漫分布,呈颗粒状沉积于系膜区及血管袢。免疫组化 肾间质见IgG4阳性细胞33个/高倍视野。


光镜 肾小管间质重度病变,呈片状分布,间质大量浆细胞、单个核细胞、偶见中性粒细胞及嗜酸性粒细胞浸润,髓质区间质弥漫增宽纤维化,呈席纹状改变。8个肾小球,系膜区轻-中度增宽,毛细血管袢开放好,单个核细胞浸润1~10个/球,偶见中性粒细胞,囊壁节段增厚。过碘酸-六胺银-马松复合(PASM-Masson)染色:肾小球未见明确嗜复红物沉积。动脉未见明确病变。肾脏病变类型及特点:肾小管间质重度病变(60%),间质大量浆细胞浸润,间质纤维化,肾小球系膜增生性病变。


电镜 1个肾小球,系膜区少量、基膜内皮下及上皮侧偶见高密度电子致密物沉积,足细胞足突融合约5%~10%,偶见内皮细胞成对,袢腔内偶见单核细胞浸润,肾小管基底膜未见致密物沉积。(图2 )


image.png

图 2 肾活检病理

图2a~图2d 免疫荧光(×400);图2e 肾小球病变轻微[过碘酸 - 雪夫染色(PAS)×400];图2f 间质席纹状纤维化[蓝色箭头;过碘酸 - 六胺银染色(PASM)×400];图2g 肾间质IgG4阳性细胞(×400);图2h 较多浆细胞(绿色箭头)浸润,偶见嗜酸性粒细胞(红色箭头)浸润(HE;×400);图2i 系膜区少量、基膜内皮下及上皮侧偶见高密度电子致密物沉积(电镜;×8000)





诊断





老年男性,多系统受累,包括下肢出血性皮疹,多发淋巴结肿大,ANA、A-dsDNA阳性,核小体抗体强阳性,补体C3、C4显著下降,轻度贫血,直接抗人球蛋白(Coomb‘s)试验阳性,球蛋白升高,IgG4水平升高。


肾脏方面:血肌酐升高,双肾体积增大,考虑急性肾损伤;尿检以小分子蛋白尿为主,肾脏受损定位于肾小管间质损伤。疾病特征符合1997年美国风湿病学会(ACR)系统性红斑狼疮(SLE)诊断标准(满足4条),但肾脏表现非典型狼疮性肾炎表现。7月31日行肾活检术,肾脏病理为少量免疫复合物沉积,以间质性肾炎改变为主,间质IgG4阳性浆细胞达33 /HP,伴典型的席纹状纤维化。综合临床和病理特征诊断为伴狼疮样表现的IgG4相关疾病(IgG4-RD),累及肾脏、淋巴结、血液、皮肤。


最终诊断



1.伴狼疮样表现的IgG4相关疾病(累及肾脏、淋巴结、血液、皮肤)

1.1 IgG4相关性肾小管间质性肾炎

1.2 自身免疫性溶血性贫血

2.急性肾损伤 2期

3.高血压病2级 很高危





治疗及随访






明确诊断后继续予醋酸泼尼松30 mg/d口服及保肾、降压等治疗。患者血肌酐逐渐下降,贫血改善,A-dsDNA快速转阴,补体恢复正常(图3,表1),淋巴结缩小。2月后体重增加5kg,复查核小体抗体持续阳性。激素逐渐减量至15 mg/d维持治疗近2年,此后逐渐减量至 7.5 mg/d联合来氟米特10 mg/d长期维持至今,患者血肌酐波动在80~90 μmol/L,免疫学指标持续稳定。


image.png

图3 随访期间指标变化


表1 免疫学指标变化

image.png





讨论





此患者临床及实验室检查特征似乎满足SLE诊断标准,然而老年男性并非SLE好发人群,且尿蛋白以小分子蛋白为主,无镜下血尿,肾脏病理亦不符合免疫复合物介导的LN,最终临床和病理证实IgG4-RD的诊断。该患者SLE诊断是否成立?上述狼疮样表现与IgG4-RD之间的关系如何?是我们分析的重点。


首先,依据1997年ACR关于SLE分类标准,支持该患者诊断主要有以下四条:ANA阳性、A-dsDNA阳性、溶血性贫血、尿蛋白定量>0.5 g/24 h,其中肾脏相关的诊断依据因肾活检最终证实为IgG4-RD而不能支持。根据2019年欧洲风湿病学会/ACR关于SLE的评分标准,该患者评分总分18分,达到SLE标准,但该计分标准注明,如果有比SLE更合理的解释,则不应计算该评分。因此,我们认为该患者更符合IgG4-RD,不宜简单套用标准归为SLE。


IgG4相关疾病与SLE



从发病机制上来说,B淋巴细胞功能紊乱在SLE的发病过程中起到关键作用,中枢及外周耐受机制的破坏会产生自身反应性B淋巴细胞,从而导致SLE及狼疮性肾炎(LN)。B淋巴细胞转录因子、细胞因子和B淋巴细胞-T淋巴细胞相互作用的失调可导致异常B细胞成熟和自身抗体产生。而IgG4-RD被认为是自身抗原或微生物刺激导致B细胞的扩增,并在激活的T辅助细胞的帮助下,促进其向IgG4的转换,最终导致IgG4浆母细胞和浆细胞的克隆扩增,这两类疾病在发病机制上有一定的共性。


各种自身免疫性疾病,如干燥综合征、类风湿性关节炎、抗磷脂综合征、Castleman病等疾病均可合并IgG4升高。泰尔津(Terzin)等研究中61例系统性自身免疫性疾病中,有17例(28%)检测到IgG4升高,10例为干燥综合征患者,其中2例合并桥本甲状腺炎,7例患者有SLE。约翰(John)等总结,122例SLE的患者中有17例(13.9%)IgG4水平增高。亦有抗中性粒细胞胞浆抗体(ANCA)相关性血管炎与IgG4升高的案例报道。


IgG4-RD和SLE可以并存或先后发生于同一患者。纳拉马拉(Naramala)报道了1例63岁女性患者表现为淋巴结病并且伴随体重减轻,嗜酸性粒细胞升高,ANA、A-dsDNA阳性,血清蛋白及IgG4升高。A-dsDNA经10 mg/d醋酸泼尼松治疗后转阴性。最终诊断SLE,淋巴结活检协助诊断了IgG4-RD,表明SLE与IgG4-RD可共存。哈鲁纳(Haruna)报道1例74岁男性胃癌患者,有雷诺征、多关节痛、双腮腺肿大、多发淋巴结肿大。胃癌术前尿检阴性,血肌酐122 μmol/L,ANA阳性,低补体,球蛋白高,IgG4升高,肾活检为IgG4相关肾小管间质肾炎及淋巴结活检符合IgG4相关淋巴结肿大。起初拒绝激素治疗,7个月后出现发热、呼吸困难、胸闷,多浆膜腔积液,A-dsDNA阳性,符合SLE诊断。经醋酸泼尼松30 mg/d治疗后胸闷、浆膜腔积液、肾功能改善。对ANA的IgG亚型分类染色,IgG4-ANA阳性(SLE中常阴性),因此作者认为此患者为IgG4-RD进展至SLE。此外,另有1例58岁女性,光敏感和四肢红斑20年,2016年出现低热和疲劳,ANA、A-dsDNA阳性,补体正常,IgG升高,大量蛋白尿,IgG4升高,肾活检表现为膜性肾病,间质IgG4阳性淋巴细胞增多,符合膜性肾病合并IgG4相关间质性肾炎。但作者认为患者符合SLE诊断,膜性肾病考虑继发于SLE。并且使用激素联合吗替麦考酚酯、贝利尤单抗治疗,尿检异常改善。


IgG4相关疾病的免疫学指标特征




IgG4-RD常伴自身抗体及补体异常。John等总结IgG4-RD患者中ANA阳性比例为168/524(32%),低补体血症概率为80/220(36%),类风湿因子阳性概率为50/255(20%)。本中心2010—2018年确诊的17例IgG4-RD患者中,补体C3减低概率为7/17(41.1%),其中ANA阳性率为17.6%。赵丽丽等总结IgG4-RD患者文章中8/22例有低补体血症,6例为C3、C4均下降,2例为单纯C3减低。近年来文献总结发现,在疾病活动期,C3与C4往往较低,且低补体血症多见于IgG4相关肾病患者中。


多例个案报道显示,IgG4-RD可合并自身免疫性溶血性贫血,激素治疗后改善。A-dsDNA阳性并非100%特异性,很多疾病如血管免疫母细胞性T细胞淋巴瘤、嗜血细胞综合征、自身免疫性淋巴细胞增生性综合征及Castleman病等均有临床表现类似狼疮的案例报道,其中A-dsDNA阳性率亦不低。





小结





本例患者肾脏体积增大,小分子蛋白尿为主,小剂量激素治疗反应好,相较于男性狼疮的临床表现及预后而言,更倾向于IgG4-RD的治疗反应及预后。综合文献复习,皮疹、淋巴结肿大及实验室结果中的A-dsDNA阳性、补体下降、溶血性贫血等“狼疮样表现”均可出现在IgG4-RD。该患者临床表现类似SLE,但又有IgG4-RD的特殊性,如流行病学特点、少量蛋白尿、肾脏显著增大、肾脏病理佐证为IgG4相关肾小管间质肾炎等。因此,本例患者考虑IgG4-RD为主要诊断。


当然,IgG4-RD与SLE同为自身免疫性疾病,理论上可以共存及转换。两者在流行病学特点、治疗反应及预后等方面均有较大差别。此案例提醒我们,A-dsDNA、IgG4等虽为标志性指标,但并非100%特异性,临床诊断不能完全依赖。当临床表现模棱两可时,尤其是存在器官肿大等受累表现,积极获得病理学证据是佐证判断的“金标准”。部分IgG4-RD可能合并多种自身抗体及补体异常,其与SLE的关系仍需要进一步研究。





版面概览




ad349748ee22254929d3d6f1d9d3b1fc.jpg

图片

本栏目与东部战区总医院国家肾脏疾病临床医学研究中心合作

特约主任编委 刘志红 特约编委 涂远茂




END

200 评论

查看更多