壹生大学

壹生身份认证协议书

本项目是由壹生提供的专业性学术分享,仅面向医疗卫生专业人士。我们将收集您是否是医疗卫生专业人士的信息,仅用于资格认证,不会用于其他用途。壹生作为平台及平台数据的运营者和负责方,负责平台和本专区及用户相关信息搜集和使用的合规和保护。
本协议书仅为了向您说明个人相关信息处理目的,向您单独征求的同意,您已签署的壹生平台《壹生用户服务协议》和《壹生隐私政策》,详见链接:
壹生用户服务协议:
https://apps.medtrib.cn/html/serviceAgreement.html
壹生隐私政策:
https://apps.medtrib.cn/html/p.html
如果您是医疗卫生专业人士,且点击了“同意”,表明您作为壹生的注册用户已授权壹生平台收集您是否是医疗卫生专业人士的信息,可以使用本项服务。
如果您不是医疗卫生专业人士或不同意本说明,请勿点击“同意”,因为本项服务仅面向医疗卫生人士,以及专业性、合规性要求等因素,您将无法使用本项服务。

同意

拒绝

同意

拒绝

知情同意书

同意

不同意并跳过

工作人员正在审核中,
请您耐心等待
审核未通过
重新提交
完善信息
{{ item.question }}
确定
收集问题
{{ item.question }}
确定
您已通过HCP身份认证和信息审核
(
5
s)

张新教授:支气管扩张治疗进展——2025年ERS指南解读

2025-12-19作者:论坛报小璐资讯
原创

作者 河北省胸科医院 张新



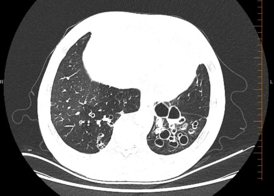
支气管扩张症是一种以咳嗽、咳痰和反复呼吸道感染等临床症状为特征的慢性炎症性肺病。该病症通过胸部CT扫描显示支气管扩张的影像学表现来确诊。病因涉及多种潜在因素,包括感染性疾病、自身免疫性疾病、过敏反应及遗传因素。支气管扩张症治疗的核心目标在于改善患者生活质量、缓解症状,并预防病情加重与疾病进展。



图片

尽管近年来其诊疗水平有所提升,但该疾病仍存在大量未满足的治疗需求。欧洲呼吸学会(ERS)发布的《2025年成人支气管扩张症管理指南》 提出了全新的、更主动的治疗策略,旨在通过早期干预改善患者预后。指南的核心内容围绕8个PICO临床问题和3个叙述性问题展开,涵盖了病因识别、疾病评估、药物治疗(如抗生素、祛痰药物)、非药物治疗(如气道廓清技术、肺康复)以及急性加重期管理等多个关键方面,为临床实践提供了更清晰的指导,以下是该指南的主要更新要点和核心建议。




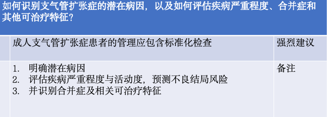
叙述性问题1


图片


01


明确潜在病因




所有支气管扩张患者都要进行常规检查:全血细胞计数、清蛋白电泳、总IgE及曲霉特异性IgE和IgG、血清免疫球蛋白(IgG、IgA、IgM)、痰液非结核分枝杆菌(NTM)检查。


图片



针对性筛查




图片


02


疾病严重程度识别、不良结局风险




核心目标在于识别具有疾病进展、急性加重及死亡风险的患者(快速分层)


图片图片


评估工具仍存在局限性,如果对患者进行错误的分类,可能会导致治疗不足或过度。临床实践中应结合以下特征指导强化监测与管理:频繁急性加重、严重日常症状、铜绿假单胞菌感染以及特定病因学类型与共病状况。


图片


03


识别合并症




图片


图片
图片
图片




PICO问题1:气道廓清


图片

图片




PICO问题2:祛痰药物


图片



未来研究




图片




PICO问题3:吸入抗生素


图片



研究重点




图片




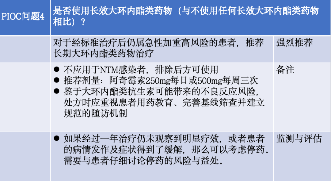
PICO问题4:大环内酯类抗生素


图片



研究重点




图片




PICO问题5:非大环内酯类抗生素


图片



未来研究




图片




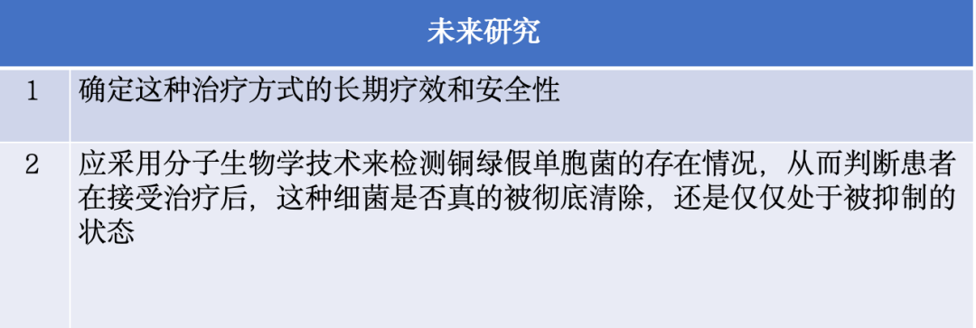
PICO问题6:病原体根除治疗


图片



未来研究




图片




PICO问题7:吸入性皮质类固醇


图片



未来研究




图片




PICO问题8:肺康复


图片



未来研究




图片


叙述性问题2


图片

图片

图片
图片


叙述性问题3


图片

图片



未来的研究




图片


2025年ERS指南的核心转变在于推动支扩的管理从被动应对症状,转向主动、全面、个体化的全程管理。建议患者与呼吸科医生建立长期合作关系,定期评估,共同制定并执行以“可治疗特质”为核心的个人管理计划,以实现最佳的病情控制。


作者简介

图片
张新
河北省胸科医院
  • 呼吸与危重症医学科副主任 副主任医师 

  • 河北省医学会呼吸病学分会青年学组副组长

  • 河北省预防医学会呼吸病预防与控制委员会委员

  • 罕见病联盟/北京罕见病诊疗与保障学会呼吸病分会委员

  • 国家慢性呼吸疾病防治办公室中西医结合工作组副组长

  • 主要研究方向:呼吸系统罕见病和疑难病,在肺部感染、系统性疾病肺受累、慢性气道疾病诊治方面积累了丰富的临床经验。



END




200 评论

查看更多