查看更多
密码过期或已经不安全,请修改密码
修改密码
壹生身份认证协议书
同意
拒绝
同意
拒绝
同意
不同意并跳过

【病史摘要】
女性,54岁。确诊乳腺癌6个月。


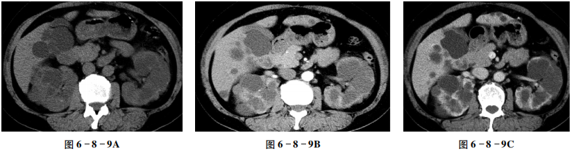
【CT征象】
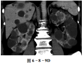
平扫示双肾,体积增大,边缘不规则,肾内见弥漫性大小不等的囊状低密度区,部分为高密度,部分囊壁见点状钙化,肾皮质变薄(图6-8-9A);增强扫描病变未见明显强化,双侧肾盏、肾盂明显受压(图6-8-9B、C);肝内亦可见多发无强化囊性病变,边缘光滑锐利(图6-8-9D)。
【重要征象】
双肾及肝弥漫大小不等囊性病变,边缘光整,无强化。
【CT拟诊】
①多囊肾,多囊肝。②多发肾囊肿。③多囊性肾发育不良。④多房囊性肾瘤。
【最终诊断】
多囊肾,多囊肝,部分囊壁钙化。
【评述】
多囊肾系遗传性囊性肾病,可分为常染色体隐性遗传(婴儿型)和常染色体显性遗传(成人型)两种类型。前者少见,大部分患儿在出生后即死亡,少数活到成年;后者较常见,多有家族史,一般到成年后出现症状,双肾受累,肾内满布大小不等的囊肿,并随着年龄增长而进行性增大,使功能性肾单位日益减少,导致肾功能衰竭。成人型多囊肾是多系统性疾病,常见的症状为腰背及上腹部胀痛、钝痛或绞痛及血尿。40岁以后常有进行性高血压及肾功能衰竭。30%~40%的患者伴有肝囊肿,10%伴有胰囊肿,5%伴有脾囊肿,38%并发结肠憩室。腹股沟疝和脐疝在此型患者中发病率高。
CT表现
①婴儿型:双肾增大,外形保持,肾内布满数毫米大小的囊肿,不伴肾盏、肾盂变形,常合并肝、脾囊肿,少数活到成人者可见门脉高压征象。②成人型:双肾增大,外形呈分叶状,皮髓质内见大小不等的薄壁囊肿,呈蜂窝状,增强扫描囊间肾实质可强化,肾盏、肾盂受压变形,约1/3的病例可合并肝、脾、胰腺囊肿,并常见肾结石。
鉴别诊断
①多房囊性肾瘤:肾体积较大,轮廓光整,由多个大小不等互不交通的囊腔构成,分隔完整粗细不均,无明显结节,增强扫描可有强化。②多囊性肾发育不良:多为单侧,患肾正常形态消失,多发直径为1~3cm的水样低密度,各囊孤立存在,增强扫描囊肿不强化,囊间肾组织强化。③多发肾囊肿:可累及双肾,囊肿数目相对较少,大小不等,位于肾内或突出于肾轮廓外,增强扫描无强化,较多保存正常肾实质。
本文摘选自《CT读片指南》

查看更多