壹生大学

壹生身份认证协议书

本项目是由壹生提供的专业性学术分享,仅面向医疗卫生专业人士。我们将收集您是否是医疗卫生专业人士的信息,仅用于资格认证,不会用于其他用途。壹生作为平台及平台数据的运营者和负责方,负责平台和本专区及用户相关信息搜集和使用的合规和保护。
本协议书仅为了向您说明个人相关信息处理目的,向您单独征求的同意,您已签署的壹生平台《壹生用户服务协议》和《壹生隐私政策》,详见链接:
壹生用户服务协议:
https://apps.medtrib.cn/html/serviceAgreement.html
壹生隐私政策:
https://apps.medtrib.cn/html/p.html
如果您是医疗卫生专业人士,且点击了“同意”,表明您作为壹生的注册用户已授权壹生平台收集您是否是医疗卫生专业人士的信息,可以使用本项服务。
如果您不是医疗卫生专业人士或不同意本说明,请勿点击“同意”,因为本项服务仅面向医疗卫生人士,以及专业性、合规性要求等因素,您将无法使用本项服务。

同意

拒绝

同意

拒绝

知情同意书

同意

不同意并跳过

工作人员正在审核中,
请您耐心等待
审核未通过
重新提交
完善信息
{{ item.question }}
确定
收集问题
{{ item.question }}
确定
您已通过HCP身份认证和信息审核
(
5
s)

一例多发肺转移HR+/HER2-高龄MBC,一线使用CDK4/6抑制剂病例分享

2024-01-31作者:论坛报小吕资讯

病例提供:浙江大学医学院附属二院 邱福铭
病例点评:浙江大学医学院附属二院 黄 建

主KV.jpg

对于HR+/HER2-晚期乳腺癌,CDK4/6抑制剂联合芳香化酶抑制剂(AI)或氟维司群一线或二线以上治疗均可大幅度降低疾病进展风险和死亡风险,同时内脏转移、仅骨/软组织转移、内分泌敏感/耐药等各亚组患者均有获益,且不良反应可控。在真实世界研究中,同样证实了CDK4/6抑制剂一线联合内分泌治疗能够为HR+/HER2-晚期乳腺癌带来PFS和OS获益,且各个亚组获益一致。因此,无论是NCCN、ESMO、ABC5或CSCO等权威指南均推荐CDK4/6抑制剂作为无内脏危象的HR+/HER2-晚期乳腺癌的首选。本文分享一例初诊HR+/HER2-晚期的高龄老年女性转移性乳腺癌患者,虽原发病灶肿瘤负荷大、伴有多发肺转移,一线治疗使用靶向CDK4/6抑制剂(哌柏西利)联合AI后,总体疗效评价达PR,耐受性良好,未因为不良反应减量或停药,并获得了超过19个月的无进展生存期(PFS),目前仍在持续获益中。 

病例介绍

               
邱福铭
主任医师、博士、博导

浙江大学医学院附属二院肿瘤内科病区副主任

浙江省肿瘤微环境与免疫治疗重点实验室副主任

浙江省高层次卫生创新人才

浙江省免疫学会临床免疫专委会副主任委员兼青年主委

浙江省数理医学会肿瘤支持治疗专委会副主任委员

浙江省抗癌协会乳腺癌专业委员会常务委员

浙江省抗癌协会肿瘤内科专业委员会委员

浙江省医师协会肿瘤精准治疗委员会委员

浙江省数理医学会肿瘤精准诊疗专委会委员

基本情况

患者,女性,76岁,绝经后。因“发现左乳肿块3年余,皮肤破溃加重近1年”于2019-12-06入院。患者3年余前自行触摸发现左乳肿块,蚕豆大小,未予重视,未予治疗。1年前行左乳艾灸,因未注意而致皮肤烫伤,后出现皮肤溃烂,大小约4*5cm,伴瘙痒,溃烂面积逐渐增大。

体格检查:左乳腺表面溃烂,可见12*7cm破溃,可见脓性分泌物,其下可触及10cm硬块,边界不清,位置固定;左侧腋窝可触及5cm大小肿大淋巴结,位置固定。右侧乳腺无殊,右侧腋窝未触及明显肿大淋巴结。双侧颈部及锁骨上未触及肿大淋巴结。

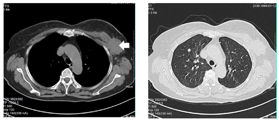
胸部CT:两肺多发类结节,考虑转移瘤。附见:左乳肿块;左锁骨上、双侧腋下淋巴结肿大,考虑恶性肿瘤,请结合专项检查。

图片1.png

基线胸部CT

全身骨显像:右侧胸锁关节、L3-5椎体代骨谢异常增强;左侧膝关节骨代谢增强,退行性改变或炎症考虑。

全腹增强CT及头颅MRI未见明确转移灶。

穿刺活检:(左乳腺穿刺)浸润性癌;(左腋下淋巴结穿刺)转移性癌。免疫组化:ER(90% 3+),PR(20% 3+),c-erbB-2(BC浸润性癌1+),Ki-67(平均10%,局灶20%+)。

诊断:左乳腺癌伴肺,淋巴结转移(cT4N3cM1 IV期,Luminal A型)。

一线治疗

根据乳腺癌NCCN指南以及患者的分子分型,给予患者哌柏西利 125mg 3周/停1周联合来曲唑一线治疗内分泌治疗方案,治疗4月后溃疡面愈合,皮肤色泽恢复,影像学检查提示疗效PR。治疗期间,患者出现过2级白细胞减少,2级中性粒细胞减少、2级血小板减少,但无感染性发热事件,也未因不良反应停药或减量。

图片2.png图片3.png

治疗前后,胸部CT

总结

这是一例绝经后的高龄老年女性,初诊为cT4N3cM1 IV期,Luminal A型伴多发肺转移的患者。一线治疗给予靶向CDK4/6抑制剂哌柏西利联合来曲唑。治疗4个月后,患者溃疡面愈合,皮肤色泽恢复,肺部病灶缩小,总体疗效评估为PR,目前患者PFS已经超过19个月,仍在持续获益中。治疗过程中仅出现了2级血液学毒性,总体耐受良好。

专家点评

黄  建.png               
黄建
教授、主任医师、博导

浙江大学求是特聘医师

浙大二院常务副院长,乳腺外科学科带头人

享受国务院特殊津贴

中国抗癌协会和CSCO乳腺癌专委会常委

中华医学会外科分会乳腺学组委员

《中国乳腺癌筛查与早诊早治指南》专家组成员

浙江省抗癌协会乳腺癌专委会前任主委

中国免疫学会理事和省免疫学会临床免疫委员会主委

浙江省肿瘤微环境与免疫治疗重点实验室主任

这是一例绝经后的高龄老年女性,初诊为cT4N3cM1 IV期,Luminal A型伴多发肺转移的患者。考虑到患者为高龄老年女性、晚期初治、原发灶瘤负荷大伴多发肺转移且无内脏危象,因此治疗目的主要是缩瘤、改善生活质量和延长生存时间。经网络Meta分析等多项研究证实,相较于化疗,靶向CDK4/6抑制剂联合内分泌治疗HR+/HER2-绝经后晚期乳腺癌患者生存获益更加明显,且ORR和起效时间不差于化疗方案,能够显著延长患者的PFS,降低患者疾病进展风险50%左右,因此一线治疗首选CDK4/6抑制剂联合内分泌治疗。靶向CDK4/6抑制剂哌柏西利联合内分泌治疗4个月后,总体疗效评估:PR。尽管患者属于高龄老年女性,但治疗过程中仅出现了2级血液学毒性,无感染性发热事件发生,也未因不良反应停药或减量,目前PFS已经超过19个月。在本例患者治疗过程中,有以下几点体会:

1. 原发肿瘤负荷大的HR+/HER2-患者,一线靶向CDK4/6抑制剂联合治疗可快速控制疾病,疗效优于化疗

根据ASCO、ESMO、NCCN和CSCO等国内外权威指南推荐,对于无内脏危象的HR+/HER2-晚期乳腺癌患者,一线治疗首选靶向CDK4/6抑制剂联合内分泌治疗。PALOMA-2研究中,靶向CDK4/6抑制剂联合内分泌治疗的ORR为55.3%,而对于接受一线哌柏西利+来曲唑治疗的HR+/HER2-转移性乳腺癌患者,非内脏转移和内脏转移患者的首次肿瘤缓解时间分别为2.9个月和4.3个月[1]。Young-PEARL研究作为第一个评估CDK4/6抑制剂哌柏西利联合内分泌治疗对比卡培他滨单药化疗用于HR+/HER2-绝经前晚期乳腺癌患者的研究,证实了哌柏西利联合内分泌治疗对比卡培他滨单药化疗可以显著改善患者的PFS(20.1个月 vs. 14.4个月),同时哌柏西利联合内分泌治疗的ORR高于卡培他滨单药化疗(51% vs 45%),且持续缓解时间也长于卡培他滨单药化疗。因此,相对于化疗而言,CDK4/6抑制剂联合方案的肿瘤缓解率更高,持续缓解时间更长,且首次肿瘤缓解时间不亚于化疗方案[2]

结合本例患者,患者初诊为高龄晚期,原发肿瘤负荷大,伴有肺多发转移,若一线治疗选择化疗,患者中断治疗的可能性极大,而靶向CDK4/6抑制剂联合内分泌治疗无论是PFS,还是ORR均优于化疗,因此一线治疗首选CDK4/6抑制剂哌柏西利联合内分泌治疗。患者在接受一线靶向CDK4/6抑制剂联合方案后,4个月即出现原发灶溃疡面,肺部转移灶达到PR,充分证实了上述的观点。

2. 无论是否伴有肺转移,HR+/HER2-内脏转移患者一线治疗选择靶向CDK4/6抑制剂联合内分泌治疗均可显著改善PFS和OS

PALOMA系列研究证实了哌柏西利对于总人群及内脏转移患者的疗效和安全性。在PALOMA-1研究中,共纳入了80例内脏转移的患者,其中CDK4/6抑制剂联合治疗方案的中位PFS为12.8个月,而内分泌单药组的中位PFS为7.4个月,联合组疾病进展风险下降45%[3]。在PALOMA-2研究中,共纳入了324例内脏转移的患者,其中CDK4/6抑制剂联合治疗方案的中位PFS为19.3个月,而内分泌单药组的中位PFS为12.9个月,联合治疗组疾病进展风险下降37%;对于内脏转移亚组分析显示,合并肺转移的患者两组中位PFS分别为22.2个月和13.6个月(HR = 0.59,< 0.01),联合治疗组降低41%的疾病进展风险[1]。此外,关于哌柏西利联合来曲唑治疗HR+/HER2-晚期乳腺癌的美国真实世界研究中,哌柏西利联合内分泌治疗相比内分泌单药治疗也可带来生存获益,根据PSM分析结果显示联合治疗组降低死亡风险42%,降低疾病进展风险46%。同时,亚组分析显示无论患者的年龄、是否伴有内脏转移,是否伴有单纯的骨转移等,均有一致的PFS和OS获益[4]

结合本例患者,患者初诊即伴有多发肺转移,但未出现淋巴管炎伴呼吸困难等内脏危象症状,因此一线治疗首选靶向治疗CDK4/6抑制剂联合内分泌治疗,治疗后患者肺部病灶逐渐缩小,最终达到PR状态。

3. 高龄老年患者耐受性良好,年龄并不会影响CDK4/6抑制剂联合内分泌治疗的临床获益

目前多项随机对照研究证实了CDK4/6抑制剂联合内分泌治疗对于HR+/HER2-晚期乳腺癌的显著疗效以及良好安全性。靶向CDK4/6抑制剂哌柏西利最主要的不良反应仅有中性粒细胞减少症,是可控可管理的。同时,真实世界研究为临床试验入组相对较少的老年患者使用CDK4/6抑制剂哌柏西利的安全性提供了良好的循证医学证据。在真实世界POLARIS研究中老年患者(≥70岁)使用哌柏西利联合AI的不良事件发生率低于III期临床试验数据,82%的老年患者哌柏西利起始剂量为125mg/d,且无需调整起始剂量[5]。2020年ASCO公布的MADELINE真实世界研究评估靶向CDK4/6抑制剂哌柏西利对于患者生活质量的影响,其进一步证实了随着用药时间的延长,患者发生中性粒细胞减少的风险逐步降低,与中性粒细胞未减少的患者相比,中性粒细胞减少的患者疲劳和疼痛症状并未增加,且生活质量并未降低[6]。这两项真实世界研究证实了一线使用哌柏西利联合AI治疗具有良好的安全性,同时老年患者生活质量也不会受到影响。

结合本例患者,患者为高龄老年女性,一线治疗选择CDK4/6抑制剂联合内分泌治疗,由于既往研究证实了高龄老年女性使用哌柏西利的安全性,所以哌柏西利推荐初始剂量为125mg,患者在治疗过程中仅出现了2级的血液毒性,未出现感染性发热事件,也没有因不良反应降低剂量和中止治疗,总体耐受性良好且获得了良好的疗效。

总体来说,本案例为一例多发肺转移的HR+/HER2-晚期老年乳腺癌患者,一线使用靶向CDK4/6抑制剂哌柏西利联合内分泌治疗后,总体疗效达PR,目前已获得超过19个月的PFS,并持续获益中,体现了CDK4/6抑制剂在高龄老年患者中的良好疗效和安全性。同时,针对原发肿瘤负荷大的晚期患者,靶向CDK4/6抑制剂无论是PFS、ORR和安全性均优于化疗,同样是首选治疗。

参考文献

[1]Finn RS, Martin M, Rugo HS,et al. Palbociclib and Letrozole in Advanced Breast Cancer. N Engl J Med. 2016 Nov 17;375(20):1925-1936.

[2]Park YH, Kim TY, Kim GM, et al. Palbociclib plus exemestane with gonadotropin-releasing hormone agonist versus capecitabine in premenopausal women with hormone receptor-positive, HER2-negative metastatic breast cancer (KCSG-BR15-10): a multicentre, open-label, randomised, phase 2 trial. Lancet Oncol. 2019 Dec;20(12):1750-1759.

[3]Finn RS, Crown JP, Lang I, et al. The cyclin-dependent kinase 4/6 inhibitor palbociclib in combination with letrozole versus letrozole alone as first-line treatment of oestrogen receptor-positive, HER2-negative, advanced breast cancer (PALOMA-1/TRIO-18): a randomised phase 2 study. Lancet Oncol. 2015 Jan;16(1):25-35.

[4]Rugo HS, et al. Palbociclib plus letrozole as first-line therapy in estrogen receptor-positive/human epidermal growth factor receptor 2-negative advanced breast cancer with extended follow-up. Breast Cancer Res Treat. 2019 Apr;174(3):719-729.

[5]Tripathy D, Blum JL, Rocque GB, et al. POLARIS: a prospective, multicenter, noninterventional study assessing palbociclib in hormone receptor-positive advanced breast cancer. Future Oncol. 2020 Nov;16(31):2475-2485.

[6]The effect of neutropenia on patient-reported functioning and quality of life (QOL) among palbociclib participants of the MADELINE study. 2020 ASCO abs 1064.

本篇文章转载自CDK4/6i学院

200 评论

查看更多