查看更多
密码过期或已经不安全,请修改密码
修改密码
壹生身份认证协议书
同意
拒绝
同意
拒绝
同意
不同意并跳过
重磅活动,免费报名,点击进入:
作者:重庆北部宽仁医院 王乾成
Case & Review
Case 1
女,32岁,因“进行性肢体麻木1周”入院,1周前无明显诱因出现左手指缝痛,逐渐出现左上肢麻木、右下肢麻木,右半身麻木,左下肢及又右上肢无异常,伴有排尿困难。
查体:左上肢肌力4级,右上肢及双下肢肌力正常,右侧T2平面以下痛觉减退,双下肢病理征阳性。
头颅、颈椎、胸椎增强MRI:颈4-6椎体后方脊髓斑片状长T1长T2信号,增强扫描强化明显;双侧额顶叶多发异常信号。

脊髓短节段病灶;
病灶位于脊髓左侧,强化明显;
双侧多发近皮层病灶。
核心临床表现:急性起病的短节段脊髓病变。
起病形式缩小鉴别诊断范围:急性起病
Mariano R. Pract Neurol. 2018.
病灶长短缩小鉴别诊断范围:短节段
Mariano R. Pract Neurol. 2018.
实验室检查:输血前全套、自身抗体谱14项、ANCA相关血管炎等均正常。
脑脊液常规有核细胞数稍高,生化正常。
寡克隆带:Ⅱ型OCB阳性。
脑脊液OCB检测结果可以分为5型,其中Ⅱ型和Ⅲ型为脑脊液OCB阳性,而脑脊液OCB可以作为时间多发性的替代指标。
患者磁共振已满足空间多发(存在皮质或近皮质、脊髓两个区域病灶)。
患者符合2017年McDonald多发性硬化诊断标准,故考虑多发性硬化可能。
诊断多发性硬化需要排除其他中枢神经系统炎性脱髓鞘疾病。
不是所有的中枢神经系统自身免疫性疾病需要同时送检血清和脑脊液,如AQP4、MOG抗体一般送检血清,而GFAP需要脑脊液检测。
中枢神经系统自身免疫性疾病相关抗体检测专家共识2022
血清AQP4抗体阴性,脑脊液GFAP抗体阴性。
血清活体细胞CBA法MOG抗体检测:强阳性。
MS vs MOGAD
局限于鞘内合成的CSF寡克隆带OCB阳性强烈支持MS的诊断。然而,高达20%的MOG-IgG阳性患者也可检测到OCB(尽管可能短暂存在) 。
在临床、放射学和CSF发现符合MS诊断的成人患者中,MOG-IgG检出率为0.3%~2.5%。
尽管大多数多发性硬化患者的血清MOG-IgG为阴性,且大多数MOGAD患者不符合2017年多发性硬化的McDonald标准,但确实有一些患者可能同时满足两者的诊断标准。
Banwell B. Lancet Neurol. 2023.
例如,一位视神经炎患者,MRI特征符合2017年多发性硬化McDonald诊断标准,CSF寡克隆带阳性,以及低滴度MOG-IgG,这种情况更适合诊断MS。相反,一位伴有视盘水肿和纵向广泛视神经受累的双侧视神经炎患者,CSF存在处于临界状态的寡克隆带,MRI病变累及区域符合多发性硬化空间多发性标准,但病变特征并不清晰,血清MOG-IgG滴度明确阳性,理论上该患者诊断可能也符合2017年多发性硬化诊断标准,但诊断MOGAD更为合适。
该患者有一项核心临床发作类型(脊髓炎),且活体细胞CBA证实血清MOG-IgG明确阳性,故可诊断为MOGAD。
Case 2
男,31岁,因“双下肢麻木伴无力6天”入院,伴小便障碍,查体:左下肢肌力0级,右下肢肌力1级,双下肢肌张力减低,T8以下针刺痛觉减退,腹壁反射消失,肛门反射消失, 双上肢腱反射(++),双下肢腱反射(+++),踝阵挛(+),双下肢病理征(+)。
胸椎增强MRI:
胸2-6椎体水平脊髓中央管周围见斑片状长T1、长T2异常信号影,增强无明显强化。
头颅增强MRI:
脑桥及中脑右侧片状异常信号,边缘不清,向上达内囊后肢,增强扫描无明显强化。
血清固定细胞CBA法MOG抗体1:32,滴度<1:100。血清AQP4抗体阴性。
固定细胞CBA检测血清MOG-IgG结果呈低滴度弱阳性(滴度<1:100),需要至少一项支持性临床或MRI特征方能诊断为MOGAD。对于脊髓炎,需要纵向广泛脊髓炎/脊髓中央病变或可见“H”征/脊髓圆锥病变三种之一,该患者满足纵向广泛脊髓炎和脊髓中央病变两项,故可诊断为MOGAD。
MOGAD的诊断标准
MOG-IgG associated disorders
MOGAD目前被认为是免疫介导的中枢神经系统炎性脱髓鞘疾病,一种独立疾病谱。
其临床表型包括视神经炎、脊髓炎、急性播散性脑脊髓炎(ADEM)及其他特殊类型。
其他少见的临床症状包括大脑皮质脑炎(常伴癫痫发作)、瘤样脱髓鞘病变、脑干和小脑脱髓鞘发作、脱髓鞘病变相关的脑部单灶或多灶性CNS功能缺损、颅神经病变、进行性脑白质损害(脑白质营养不良样模式)等。
抗髓鞘少突胶质细胞糖蛋白免疫球蛋白G抗体相关疾病诊断和治疗中国专家共识2020
MOGAD病灶可广泛累及中枢神经系统,临床表现多样,包括视神经炎、脊髓炎、脑干或小脑症状或大脑皮质脑炎等,可为单一症状或以上症状的多种组合,仅从临床症状上,MOGAD既可符合非典型MS、AQP4-IgG阴性NMOSD、ADEM的诊断标准,又可表现为局限性的视神经炎和横贯性脊髓炎,是一种独特的中枢神经系统脱髓鞘疾病。
MOGAD的临床特征
MOGAD无明显性别或种族间差异,儿童中较成人更常见,在所有儿童(<18岁)急性脱髓鞘性疾病表现中占40%,在所有成年脱髓鞘疾病中占1.2%~6.5%,可呈单相或复发病程。
MOGAD最常出现的3种临床表现,即ADEM、视神经炎、脊髓炎。
Banwell B. Lancet Neurol. 2023.
视神经炎是到目前为止最常见的起病症状,尤其是成人;儿童多数为ADEM样表现,特别是11岁之前。
Reindl M. Nat Rev Neurol. 2019.
视神经炎是MOGAD最常见的临床表现,发生率为80%。发病部位可累及双侧视神经,特别是视神经前段,导致视盘水肿多见(90%)。诊断MOGAD的支持性特征:
①双侧同时临床受累;
②视神经纵向广泛受累(>视神经长度的50%) ;
③视神经周围视神经鞘强化;
④视盘水肿。
抗髓鞘少突胶质细胞糖蛋白免疫球蛋白G抗体相关疾病诊断和治疗中国专家共识2020
Banwell B. Lancet Neurol. 2023.
A:视神经周围视神经鞘强化(伴弥漫性眼眶脂肪受累和视神经强化);
B:右侧视神经肿胀和强化(冠状位);
C:双侧纵向广泛视神经T2高信号;
D:放射学可见的视盘肿胀;
E-F:眼底镜检查可见视盘水肿。
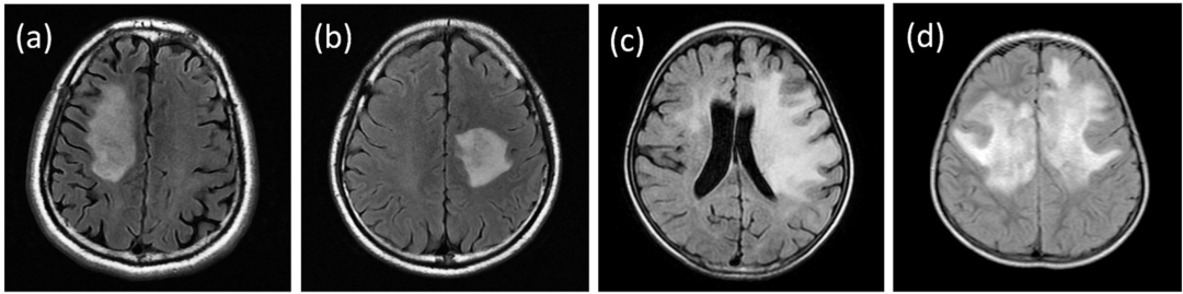
ADEM或ADEM样综合征(ADEM伴视神经炎、多相性播散性脑脊髓炎)在儿童中常见,仅有5%为成年MOGAD患者,典型MRI表现为大的、边界不清的双侧病灶,易累及皮质和深部灰质结构,亦可累及皮质下白质和胼胝体,常伴长节段横贯性脊髓炎。
Banwell B. Lancet Neurol. 2023.
累及幕上白质大面积边界不清的T2高信号病变
Baumann M. Mult Scler. 2016.
34%的MOGAD患者病灶可累及脑干或小脑,其中1/3为无症状型病灶。
脑干脱髓鞘最常见的临床表现为共济失调与复视,伴Ⅲ、Ⅳ、Ⅵ脑神经麻痹,并发展为Ⅶ脑神经麻痹与眩晕,少见症状包括顽固性恶心和呕吐。
López-Chiriboga AS. JAMA Neurol,2018.
小脑脱髓鞘可出现小脑症状和小脑T2高信号病灶,而小脑中脚的大病灶通常提示MOG-IgG相关脱髓鞘,因为这种改变在MS或AQP4-NMOSD中罕见。
Banwell B. Lancet Neurol. 2023.
此外, MOGAD还可类似感染性菱脑炎,MRI表现为脑干病灶强化伴软脑膜强化,影像上类似CLIPPERS。
12%的MOGAD患者出现不同程度的脑膜受累表现,包括头痛、恶心、呕吐和脑膜刺激征等,MRI增强扫描可见局灶性或弥漫性软脑膜强化,可伴多发结节样、点状或线样脑实质强化。
Budhram A. JAMA Neurol. 2020.
存在脑膜炎表现的MOGAD常合并颅内压升高,脑脊液白细胞可超过100×10^6/L,并伴随CSF总蛋白水平升高,也称为无菌性脑膜炎临床表型。
MOG抗体相关性脑炎常累及幕上白质、皮质灰质旁白质、小脑、中脑、延髓和胼胝体,而皮质脑炎(cerebral cortical encephalitis,CCE)却十分少见。在2017年Ogawa等首次提出抗MOG抗体皮质脑炎的概念。
Banwell B. Lancet Neurol. 2023.
2019年Budhram等系统性回顾了20例MOG相关性CCE,最常见的症状是癫痫发作(85%),其次是头痛(70%)、发热(65%)和皮质症状(55%)。绝大多数患者至少存在以上两种症状。CCE常局限于一侧,而少见于双侧。30%患者出现邻近脑沟T2 Flair高信号和软脑膜强化,故将其命名为“抗MOG相关脑炎癫痫发作的单侧皮质Flair高信号病变”即“FLAMES”,是诊断MOGAD的支持性临床/MRI特征。
Budhram A. J Neurol. 2019.
已有MOGAD炎性脱髓鞘假瘤表现的报道,常有占位效应,根据假瘤累及部位,患者可出现多种不同的临床表现。
Chen C. J Neurol Sci. 2019.
Shu Y. Ann Clin Transl Neurol.2019.
脱髓鞘病变相关的脑部单灶或多灶性CNS功能缺损、进行性脑白质损害(脑白质营养不良样模式)。
Chen C. J Neurol Sci. 2019.
(a、b)脑MRI示直径>2 cm的大病灶;(c、d)脑MRI中的“脑白质营养不良样”病变。
目前国外报道了5例表现为颅神经受累的MOG抗体病患者,包括前庭蜗神经和三叉神经。MOG抗体病颅神经受累的病理生理机制目前仍不清楚,共存的脑干病灶可能提示中枢神经系统炎症的延伸,MRI增强扫描可见颅神经根或脑池段强化。
Kawakami S. Mult Scler Relat Disord. 2020.
(A,B)患儿左侧动眼神经麻痹(左上睑下垂、左眼内收障碍) ;
(C,D) 颅脑MRI平扫未见幕上和颈髓病灶;
(E-G) 增强扫描可见左侧动眼神经脑池段强化;
(H) T2W CISS序列可见左侧后交通动脉下外侧面动眼神经肿胀。
MOGAD出现脊髓炎者大约占20%~30%。MOGAD脊髓炎可为长节段(60%),也可见短节段(40%),可出现感觉、运动和括约肌功能障碍。MOGAD脊髓炎症的支持性特征为单发或多发纵向广泛病变,灰质受累导致“H”征以及圆锥病变,但中国患者脊髓圆锥病变较为少见。
短节段:
抗髓鞘少突胶质细胞糖蛋白免疫球蛋白G抗体相关疾病诊断和治疗中国专家共识2020
长节段:
Chen C. J Neurol Sci. 2019.
a.长节段脊髓病变
b.颈段长节段脊髓病变 H征
c.胸段长节段脊髓病变
d. 中央管扩张
e.脊髓圆锥病变。
MOGAD、NMOSD、MS的脊髓MRI特征:
Banwell B. Lancet Neurol. 2023.
MOGAD的脊髓MRI特征:
MOGAD的急性横贯性脊髓炎在MRI上通常是纵向广泛的(超过60%的患者病变长度≥3个椎体节段),但也可出现较短的病变,有些患者可见多发脊髓病灶,脊髓圆锥病变较多见。
Sechi E. JAMA Neurol. 2021.
多数脊髓T2高信号病灶位于脊髓横断面中央(见于66-75%的患者),也可局限于脊髓灰质(见于30%~50%的患者),呈“H”征。
大部分MOGAD患者的脊髓MRI可见T2高信号,但高达10%的患者起病时脊髓MRI可完全正常。
MOGAD脑部或视神经受累患者可出现无症状的脊髓病变,而33%-50%的MOGAD临床横贯性脊髓炎患者可发现无症状脑部或视神经病变。
2023诊断标准
如果患者有一项核心临床发作类型,且固定细胞或活体细胞CBA证实血清MOG-IgG明确阳性,则可诊断为MOGAD。
具有MOGAD核心临床发作类型之一的患者在出现下列任何一种情况时仍需至少一项支持性临床或MRI特征方能诊断为MOGAD:
①固定细胞或活体细胞CBA检测血清MOG-IgG结果呈低滴度弱阳性;
②固定细胞CBA检测血清MOG-IgG阳性但无滴度;
③血清MOG-IgG阴性但CSF检测结果明确阳性。
只有在排除其他能更好地解释其特征的诊断后,患者才能被诊断为MOGAD。
Banwell B. Lancet Neurol. 2023.
支持性临床或MRI特征:
通过流式细胞术或显微镜观察定量的活体细胞CBA是临床检测MOG-IgG的首选。
Banwell B. Lancet Neurol. 2023.
活体细胞CBA:保证了构象的完整性,具有目前的最高的敏感性和特异性,是检测MOG-IgG的金标准方法。
Waters PJ. Neurology. 2019.
固定细胞CBA:MOG的构象表位会丢失, 将错过10%~15%的阳性病例,敏感性和特异性均低于活体细胞CBA。
建议对所有接受MOGAD评估的患者进行血清检测,不建议常规评估同时检测血清和CSF。
对于MOGAD诊断,血清MOG-IgG报告至少应包括定性结果(即阴性、弱阳性和明确阳性)和半定量结果。
Banwell B. Lancet Neurol. 2023.
对于活体细胞CBA,明确阳性定义为至少比检测临界值高出2倍稀释,固定细胞CBA明确阳性定义为滴度≥1:100。
如果活体细胞CBA检测位于个体活细胞检测低范围内或固定细胞CBA测定滴度≥1:10,但<1:100,结果为是弱阳性。
小结
MOGAD病灶可广泛累及中枢神经系统,临床表现多样,最常出现的为ADEM、视神经炎、脊髓炎。
短节段脊髓病变在MOGAD不少见(40%) ,但不是支持性MRI特征,需要和MS相鉴别。
活体细胞CBA是临床检测MOG-IgG的首选和金标准,具有目前的最高的敏感性和特异性。
MOG-IgG抗体明确阳性对诊断MOGAD具有更高的阳性预测价值,对于活体细胞CBA,明确阳性为至少比检测临界值高出2倍稀释;固定细胞CBA明确阳性为滴度≥1:100。
血清MOG-IgG结果呈低滴度弱阳性(低滴度时,可能存在假阳性结果),需至少一项支持性临床或MRI特征方能诊断为MOGAD,如脊髓炎,需要纵向广泛脊髓炎/脊髓中央病变或可见“H”征/脊髓圆锥病变。
来源:那些神经病
国家神经系统疾病质控中心脑血管病专业组专家撰稿,21篇脑梗死临床诊疗干货文章,精准提升脑血管临床诊疗能力!
【2023重磅·所有内容12月底下线】北京协和医院朱以诚教授团队撰写临床实用干货,神经科医生必看!
华中科技大学同济医学院附属同济医院NICU王芙蓉教授团队撰写实用文章,解析一线临床神经重症处理难点、要点和常见问题!
华中科技大学同济医学院附属同济医院杨渊教授团队撰写17篇神经心理疾病临床干货文章,神经内科医生需要了解!
国家神经系统疾病质控中心帕金森病专家组倾力打造,2023年度帕金森病规范诊治能力提升培训!
脑血管病影像读图实战训练,跟随天坛医院放射科沈宓老师,练就影像读图火眼金睛!
华中科技大学同济医学院附属同济医院NICU王芙蓉教授团队撰写实用文章,解析一线临床神经重症处理难点、要点和常见问题!
畅销20多年的医学影像品牌图书,汇集七大类480多种经典病例影像资料,轻松读片、准确诊断!
国际经典影像诊断学,从基础解剖到影像解剖和诊断,配图精美,解说翔实,囊括大量累及儿童大脑、颅颈和脊髓的疾病!
神经外科领域国际经典著作,畅销北美20余年,由赵继宗院士携首都医科大学附属北京天坛医院神经外科学系团队翻译,来自作者多年临床经验积累总结!
急性缺血性卒中早期症状加重的识别和处理丨协和神经科基本功第二季
急性缺血性卒中出血转化的评估和治疗原则丨协和神经科基本功第二季
查看更多