查看更多
密码过期或已经不安全,请修改密码
修改密码
壹生身份认证协议书
同意
拒绝
同意
拒绝
同意
不同意并跳过
作者:苏州大学附属苏州市第九人民医院 郑昱

那是我的一线夜班,凌晨 3点,值班手机的铃声刺破了夜空,产科半夜来新病人我已经习以为常了,迷迷糊糊地接通了电话,我怎么能想到这会是一个惊心动魄的夜晚。
电话里是急诊内科的一位女医生,她声音里带着疑惑和些许着急:
“这边有个孕妇怀孕 27 周,凌晨 2 点吃了一碗外卖牛肉面,1 小时后肚子痛的不得了(重音),家里呕吐了 1 次,查了腹部 B 超未见异常,只有血像及谷草转氨酶偏高,叫她去产科看看好吗?”
我心说能有多么不得了,宫缩就是很痛啊,内科真是大惊小怪,同时给自己罗列了可能出现的几种情况和应对策略。
03 : 50 患者被平车推了进来,只见她真的如内科所说,蜷缩着身体来回扭动,满头大汗,甚至有些意识不清,手指一直按着剑突下,不停呻吟着“这里好痛,绞着痛”,查体也极不配合。
剑突下压痛反跳痛明显,下腹部扪及强宫缩,有间歇,欠规律。
产科检查:宫高 27 cm,腹围 95 cm,衔接浮,胎膜未破,宫颈长度 1.0 cm,宫口未开,胎心 170 次/分。
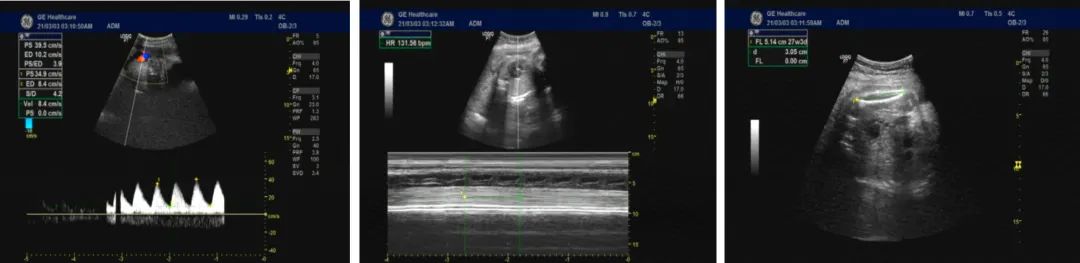
产科 B 超:胎盘厚度:47 mm;脐动脉:S / D:3.2~4.2。宫颈内口呈 Y 型,胎盘测径偏厚。脐动脉测值一过性增高。宫颈内口闭合不全。(图 1)


图1:产科超声,图片来源于作者
急诊检查:
双顶径:74 mm,头围:269 mm;腹围:248 mm,股骨径51 mm;胎心率:140 次/分;
胎盘位置:右侧壁;成熟度:1-级;厚度:47 mm;胎盘下缘距宫颈:>20 mm;羊水指数:83;胎位:ROP;
脐带绕颈:一圈;
血流参数:脐动脉:S/D:3.2-4.2。宫颈内口呈“Y”型。
单活胎(头位),胎盘测径偏厚。
脐动脉测值一过性增高,宫颈内口闭合不全。
这下我彻底相信她真痛得不得了,立刻开放静脉通路,绑好胎心监护,思忖着:明明宫缩很强,但病人为什么一直强调剑突下持续性疼痛,而不是下腹部间歇性疼痛呢?跟那一碗牛肉面有关吗?早产、脂肪肝还是胃肠炎引起了宫缩?
并且向上级发出了「请求支援」的信号。
“测个血压”是上级医生做出的第一条指示。
206 / 147 mmHg !
护士立即推来抢救车,硫酸镁、硝苯地平、地西泮都用上了。就在硫酸镁刚刚挂上,还没滴到 10 mL 时,患者突然四肢僵硬,全身抽搐起来;上下牙齿紧紧咬合着,白沫从青紫的嘴角溢出;我们不停唤着患者的名字,但她丧失了意识,毫无回应!
子痫这种大场面,我可是头一回见,瞬间背后一身冷汗。
大约 1 分钟后,患者停止了抽搐,但神志仍然模糊,意识不清,复查床边 B 超示:胎盘测厚 5.2 cm,回声欠均。胎心也因为无法耐受宫缩,出现了深深的晚期减速。(图 2)

图 2:胎心出现晚期减速,图片来源于作者
早产已不可避免,我们做了立即剖宫产的决定。



患者术后血压逐渐趋于平稳,入重症监护室治疗。
术后第 1 天验血结果显示:血小板,56×109/L,天冬氨酸氨基转移酶 1235 U/L,总胆红素 54.1 μmol/L,丙氨酸氨基转移酶 835 U/L,低密脂蛋白胆固醇 6.81 mmol/L。「溶血、血小板减少、肝酶升高」,这不是典型的 HELLP 综合征(hemolysis,elevated liver enzymes,and low platelets count syndrome)嘛!
我回想起患者来时「剑突下剧烈疼痛」的主诉,伴随「恶心呕吐」的症状,一切都说得通了。
经过解痉、控制血压、保肝、利尿、升血小板、预防感染、抑酸、维持内环境稳定等一系列治疗,患者终于在术后第 6 天转入普通病房。但不幸的是,由于孕周太小,新生儿在产后 3 天夭折。


半年后的一个中午,急诊又来了个上腹痛的孕妇,她按着剑突下,面容痛苦。那个惊心的夜晚闪回脑海,我多了几分淡定从容。
“先量个血压吧!”
情理之外、意料之中,血压计上跳动的数字最后停止在 200 / 162 mmHg。但这次,一定会是大团圆结局。
来源:第一妇产

查看更多