查看更多
密码过期或已经不安全,请修改密码
修改密码
壹生身份认证协议书
同意
拒绝
同意
拒绝
同意
不同意并跳过
64岁老年男性,主诉喉裂开部分喉切除+气管切开术后4年半,拔管后造瘘口未愈。
冠心病病史6年,口服他汀类药物、单硝酸异山梨酯、阿司匹林治疗(6年前体检发现血脂高,查冠脉CTA示左前降支狭窄60%-70%,患者无心绞痛症状,自诉可以提两桶水爬3层楼)。
心肺查体无异常,颈部专科查体见颈部正中有0.5cm×1cm的气管造瘘口。
血常规:EOS% 8.9%↑;余未见异常。
ECG:正常心电图。
胸片:心肺隔未见异常。
气管造瘘口未愈、喉癌术后、冠心病
气管瘘修复术,全身麻醉气管插管
ASA分级Ⅱ级;心功能Ⅰ级;Mallampati分级Ⅱ级。
麻醉关注要点:既往喉部手术,解剖结构改变,可能存在困难气道,术前应重点评估;既往冠心病6年,应密切关注患者循环,避免血压过低,影响冠脉灌注;拟行气管瘘修复术,术中操作有扎破气管插管套囊造成漏气的可能,应密切关注气道压及潮气量的变化。
1.麻醉过程:手术当天麻醉诱导及插管顺利,手术进行16分钟,术中循环稳定,补液不到500ml。

2.恢复室危机事件:患者送入恢复室吸氧1分钟后,血氧饱和度降至95%(入室未吸氧时为98%),考虑肌松残余,给予新斯的明1mg+阿托品0.5mg静脉注射,3分钟后血氧饱和度未改善,且出现吸气困难、胸骨上窝凹陷及高调哮鸣音,考虑喉痉挛,立即面罩加压辅助通气并准备气管插管物品及药品。16点08分进行气管插管,插管后听诊双肺满布湿啰音,吸出大量粉红色泡沫样分泌物,考虑发生负压性肺水肿,同时查血气为呼酸合并代酸(pH 7.06,二氧化碳分压78mmHg)。给予呋塞米20mg脱水、5%碳酸氢钠250ml纠酸,并调整呼吸参数(潮气量550ml,呼吸频率14次/分,PEEP 8cmH2O)。后续因患者呛管不耐受,给予顺式阿曲库铵6mg及1%地氟醚维持麻醉,期间出现血压下降,考虑容量不够,给予小剂量去甲肾上腺素泵注。16点50分复查血气,pH 7.30,二氧化碳分压64mmHg,酸已纠正,仅存呼酸。外科联系ICU,患者术中总入量1250ml,尿量300ml。




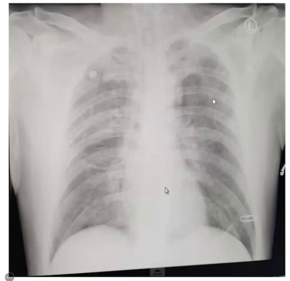
3.术后转归:转入ICU后当天查血气、心肌酶血指标及心脏超声均正常,胸片显示双肺肺水肿表现。术后第2天患者循环稳定,血管活性药停止泵入,下午16点拔除气管插管,第3天返回普通病房,第6天顺利出院。


查看更多
专家点评
急性肺水肿是一种病情凶险的临床急症,其核心病理生理改变在于肺部原本的空气充填区域被液体所替代。临床上,基于病因可将其分为心源性与非心源性两大类。心源性肺水肿常见于左心功能不全,左心室排血量骤降导致血液瘀滞、压力升高,进而使肺泡毛细血管静水压急剧增高,促使液体大量渗入肺泡。而非心源性肺水肿的病因则更为多样,例如在创伤失血或休克患者中,大量、快速的液体复苏可能导致血容量骤增,进而引发肺毛细血管静水压升高,这种情况在临床上也被称为静脉淤血型综合征。
本病例所涉及的负压性肺水肿是一种相对少见的非心源性肺水肿,亦称为梗阻性肺水肿。它特指在解除上气道梗阻后发生的肺水肿,这使得原已缓解的气道梗阻病情突然复杂化。其形成的核心机制主要包含两个方面:其一,在气道阻塞期间,患者为克服梗阻会用力吸气,产生巨大的胸腔内负压,极易造成肺泡毛细血管的机械性损伤,促使液体大量渗出。其二,梗阻期间的呼气动作会形成一种内在的呼气末正压效应,这在一定程度上能对抗液体从毛细血管中外流。一旦梗阻解除,这种保护性压力随之消失,液体向肺泡内流动的速度加快,最终共同导致肺水肿的形成。值得注意的是,此类肺水肿在高大强壮的成年人群中更为多见,儿童等其他人群也有发生的可能。
对于负压性肺水肿,临床工作的重点在于预防。其治疗原则与其他类型肺水肿一致,核心是解除病因,并无特殊之处。关键的预防策略包括:高度重视围术期的疼痛与抗应激管理,推荐采用区域阻滞复合全麻等技术提升患者耐管性,减少喉痉挛发生;精确把控麻醉苏醒顺序,务必确保在肌松作用完全消退、自主呼吸稳定恢复的基础上再恢复患者意识,切忌在呼吸未稳时过度刺激患者导致仓促拔管;加强对肥胖、困难气道等高危患者的识别与管理,严格掌握其拔管时机,并在拔管后加强呼吸监测,以便及时发现并处理呼吸道梗阻。总之,对负压性肺水肿的处置,体现了“预防为主”的麻醉管理精髓,通过极致的细节把控,力求防患于未然,是保障患者围术期安全的重要一环。