壹生大学

壹生身份认证协议书

本项目是由壹生提供的专业性学术分享,仅面向医疗卫生专业人士。我们将收集您是否是医疗卫生专业人士的信息,仅用于资格认证,不会用于其他用途。壹生作为平台及平台数据的运营者和负责方,负责平台和本专区及用户相关信息搜集和使用的合规和保护。
本协议书仅为了向您说明个人相关信息处理目的,向您单独征求的同意,您已签署的壹生平台《壹生用户服务协议》和《壹生隐私政策》,详见链接:
壹生用户服务协议:
https://apps.medtrib.cn/html/serviceAgreement.html
壹生隐私政策:
https://apps.medtrib.cn/html/p.html
如果您是医疗卫生专业人士,且点击了“同意”,表明您作为壹生的注册用户已授权壹生平台收集您是否是医疗卫生专业人士的信息,可以使用本项服务。
如果您不是医疗卫生专业人士或不同意本说明,请勿点击“同意”,因为本项服务仅面向医疗卫生人士,以及专业性、合规性要求等因素,您将无法使用本项服务。

同意

拒绝

同意

拒绝

知情同意书

同意

不同意并跳过

工作人员正在审核中,
请您耐心等待
审核未通过
重新提交
完善信息
{{ item.question }}
确定
收集问题
{{ item.question }}
确定
您已通过HCP身份认证和信息审核
(
5
s)

宝贵的移植肾上长了肿瘤,怎么办?仁济创新:机器人辅助下,完成全国首例移植肾肾肿瘤“排雷术”

2025-09-26作者:CMT琳资讯
非原创
新闻提要

当移植肾遇上肿瘤,切,还是保?这道曾无解的生命难题,如今有了令人满意的答案。日前,上海交通大学医学院附属仁济医院泌尿科成功完成全国首例机器人辅助移植肾-肾肿瘤部分切除术,为一名移植肾长出恶性肿瘤的患者精准“拆弹”,既完整切除肿瘤,又保住了珍贵的移植肾。


“我的肾能保住吗?”


“医生,这是我好不容易等来的肾,我真的不想再回到透析了……”来自河南的56岁李先生(化名)五年前因肾衰竭接受肾移植手术,重获健康。术后,李先生的移植肾功能稳定,肌酐长期维持在100μmol/L左右。


然而,近期体检结果却令他如坠冰窟:移植肾内部竟然长出了肿瘤。更坏的消息是,这种情况非常罕见,鉴于术区粘连程度高、血管解剖变异、免疫受抑制等风险,目前治疗方案仍缺乏专家共识,业内多推荐行传统的肾脏根治性切除术。如果切除整个移植肾,但那意味着他将再度失去肾功能,终身依赖透析。


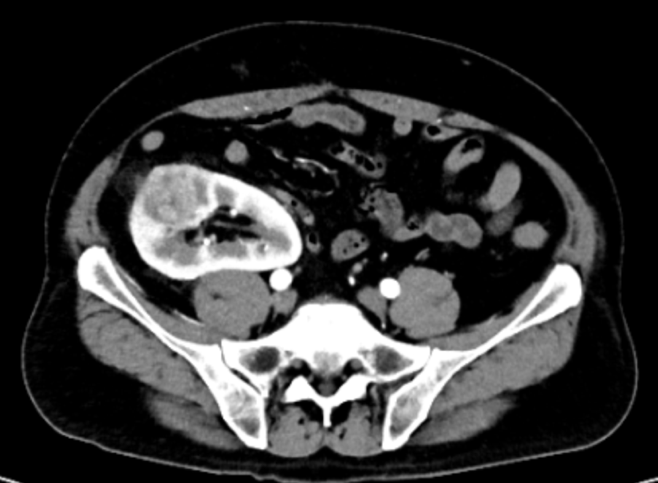
(CT影像:右侧移植肾肿瘤)


带着最后的希望,李先生慕名来到上海仁济医院泌尿科。他哽咽地说:“不只是为了我自己,也为了给我捐肾的人,我想努力保住它。”


“机器人”精准排雷


面对这一极高难度的病例,仁济泌尿科主任潘家骅迅速集结包括泌尿肿瘤领域权威专家、泌尿科主任医师黄翼然教授,主任医师薛蔚教授和主任医师黄吉炜等在内的多学科(MDT)专家团队,全面评估病情,反复推演手术路径。最终,团队制定了“机器人辅助移植肾-肾肿瘤部分切除术”的精准手术方案,并周密准备了开放手术备用预案,决定为李先生保住这颗珍贵的肾脏。



手术由黄吉炜主刀,操作达芬奇机器人为李先生摘除肿瘤。达芬奇机器人系统大显身手:其3D高清视野将术区放大10倍以上,540度灵活旋转的机械臂在狭小空间内精准分离、完整切除肿瘤。团队仅用15分钟精准阻断髂血管,有效控制出血,最大程度保留了正常肾组织,同时确保移植肾血供不受影响。整台手术犹如一场高精度“排雷”,每一步都稳准至极。


移植肾肿瘤的治疗迎来新突破


术后李先生恢复顺利,肌酐值稳定在100μmol/L左右,肾功能未受影响,病理确诊为肾透明细胞癌。


目前李先生已康复出院,出院前他激动地表示:“感谢仁济医院给了我第三次生命!”


据黄吉炜介绍,发生于移植肾的肾肿瘤病例鲜见报道,据国外相关数据披露移植肾的肿瘤发生率仅0.2%-0.4%,而且该类患者的微创手术治疗目前仍面临诸多挑战。因此,本次高难度手术的成功,充分体现了多学科协作(MDT)模式的优势,特别是泌尿科肾移植团队的紧密合作。未来,仁济医院将继续推进肾脏肿瘤微创治疗技术的发展,为更多患者提供精准、安全、高效的诊疗服务。


据悉,仁济医院泌尿科长期以来在肾肿瘤手术领域保持领先地位,年手术量位居上海市第一,尤其在复杂肾肿瘤保肾手术、机器人微创手术等方面具有丰富经验和技术优势。此次成功开展全国首例机器人辅助移植肾-肾肿瘤部分切除术,标志着仁济医院在肾脏外科领域的技术水平再上新台阶,也为移植肾患者后续治疗提供了新思路和新技术支持。


来源:上海交通大学医学院附属仁济医院

200 评论

查看更多