查看更多
密码过期或已经不安全,请修改密码
修改密码
壹生身份认证协议书
同意
拒绝
同意
拒绝
同意
不同意并跳过
基本资料
性别:女
年龄:66岁
于2014-10-07转入我院
主诉:腹痛腹胀伴排气排便减少1月
既往史:无特殊
辅助检查
专科查体:
腹稍隆,全腹散在压痛,右侧腹为重,无反跳痛及肌紧张,未及明显包块
实验室检查:
肿瘤标志物:CEA 39.96 ng/ml,CA199 6.11 U/ml
影像学检查:
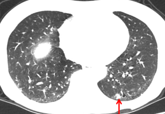
2014-10-08:
肺窗: 多发结节,最大5.99*9.65mm




2014-10-09:
肠镜:升结肠肠腔内肿物,肠腔狭窄,肠镜难以通过

肠梗阻:

治疗经过:
2014年10月10日在我院行“开腹右半结肠切除术”

术后病理:
结肠中分化腺癌,浸润全层至肠壁外
脂肪组织,切缘未见癌,送检17枚淋
巴结未见癌转移
术后病理分期:
pT4aN0Mx(肺M?)
术后于2014-11-10开始行6周期CapeOX(奥沙利铂130mg/m2 ,d1;卡培他滨1000mg/m2 ,d1-d14,Q3W)
每2周期进行疗效评价,均为SD(肺部结节无明显变化,结肠呈术后改变,余未见明显异常)
下一步治疗?
维持治疗的定义
是指mCRC一线治疗一段时间后,达到最佳疗效且处于疾病稳定状态时,采用低强度、低毒性药物持续治疗,以延长患者的PFS、减少不良反应、延缓肿瘤相关症状的复发时间和提高患者生活质量。

OPTIMOX-1:持续治疗VS维持治疗


OPTIMOX-2:维持治疗VS间歇治疗


一线治疗后的维持治疗对于mCRC患者是非常必要的,是适合多数患者的一种治疗策略
维持治疗显著延长DDC、PFS,优于间歇治疗
卡培他滨单药方案:中国研究(III期)


治疗经过:
于2015-4-10开始采用卡培他滨单药维持化疗, 1000 mg/m2,bid,d1-14,q3w
每3周期复查一次
2017-06-16 复查
期间多次复查评价均为SD
胸腹部CT:肺部结节稳定,
余部位未见异常
维持化疗至2017-10-05,



2017-10-12:



肺部结节较前明显增大,肺窗17.23*19.06mm
肝左外叶出现转移瘤
诊断:T4N0M1 IV期
治疗经过:

病理诊断:
(左肺占位穿刺活检组织)腺癌,结合病史及免疫组化结果符合肠癌肺转移
免疫组化:CK20(+),Villin(+),CDX2(+),CK7(-),TTF-1(-)
基因检测: KRAS基因4号外显子发生突变;NRAS、BRAF无突变
MDT
诊断:结肠癌术后化疗后复发(中分化腺癌)
肝转移癌
肺转移癌
治疗方案选择:
1. 肝寡转移灶,为可切除病灶,手术治疗,并予以术后辅助化疗×
2. 先予以全身化疗+分子靶向治疗,控制肝脏及肺部转移瘤,再择期予以手术或肝脏射频或放疗等其他局部治疗
ESMO指南推荐:不可切除的mCRC治疗的最终目标是延长总生存

指南推荐的mCRC一线治疗方案


持续抗血管治疗在转移性结直肠癌中非常必要

贝伐珠单抗维持治疗的优势人群——CAIRO3

CR/PR、同时性转移/原发灶切除患者的获益可能最大
RAS(BRAF)野生型患者中,卡培他滨-贝伐珠单抗维持治疗较观察显著改善PFS2/OS
转移性结直肠癌维持治疗中国专家共识

对于化疗联合靶向药物治疗有效的mCRC患者,推荐靶向联合低毒的化疗药物维持治疗
对于一线治疗阶段仅使用化疗药物的患者,可以用低毒性的单药 维持治疗
卡培他滨单药维持治疗方案在我国mCRC患者人群中得到了充分验证
维持治疗的方案/获益:
治疗经过:
2017-10-28、2017-11-30行2周期化疗
方案:
贝伐珠单抗(7.5mg/kg)d1
奥沙利铂130mg/m2 , d1
卡培他滨1000mg/m2 ,bid,d1-d14,Q3W
2017-10-12:
肺部结节,肺窗17.23*19.06mm

2017-12-21;
2周期贝伐珠单抗+化疗,肺部结节较前明显缩小
肺窗:13.97*16.73mm

2017-10-12:
2017-12-23:
2周期贝伐珠单抗+化疗,肝左外叶转移瘤消失
整体疗效评价PR,因腹泻较重,患者拒绝进一步
高强度治疗
治疗经过:
于2018/1/17-2018/11/28共行11周期化疗:贝伐珠单抗+卡培他滨
肺部、肝脏SD
定期随访
2018-12-6肺部、肝门区SD(有进展趋势)
于2018-12-21继续 贝伐珠单抗+卡培他滨 1周期
肺部、肝脏SD
定期随访
2019-02-14
肺门、肝门PD
2018-12-06:SD
2019-02-14:PD

2018-12-07:
2019-02-15:
肝门区淋巴结显著增大
治疗经过:
2019-2-14胸腹盆腔CT:左肺门及纵膈淋巴结较前明显增大,于2019-2-22至2019-3-29完成放疗
计划为:
左肺转移灶50Gy/25F,
肝门淋巴转移灶 50Gy/20F
贝伐珠单抗 跨线 OR 三线 瑞戈非尼?
既往贝伐珠单抗联合化疗首次进展后继续使用贝伐珠单抗联合二线化疗治疗转移性结直肠癌患者:一项随机、III期、组间研究 – TML (ML18147)
D Arnold1, T Andre2, J Bennouna3, J Sastre4, P Österlund5, R Greil6 E Van Cutsem7, R von Moos8, I Reyes-Rivera9, B Bendahmane10, S Kubicka11
on behalf of the AIO, GERCOR, FFCD, UNICANCER GI, TTD, BGDO, GEMCAD and AGMT groups
1Hamburg, Germany; 2Paris, France; 3Nantes, France; 4Madrid, Spain5Helsinki, Finland; 6Salzburg, Austria; 7Leuven, Belgium; 8Chur, Switzerland 9South San Francisco, USA; 10Basel, Switzerland; 11Reutlingen, Germany
ML18147 研究设计 (III期)


PFS:ITT人群

a主要分析方法;b根据一线 化疗 (以奥沙利铂为基础,以伊立替康为基础),一线PFS(≤9个月, >9个月), 自末次贝伐珠单抗给药时间 (≤42天, >42天), 基线ECOG PS (0, ≥1)分层
OS: ITT人群

中位随访: 化疗, 9.6个月 (范围 0–45.5); 贝伐珠单抗+化疗, 11.1个月 (范围 0.3–44.0)
贝伐珠单抗后继续瑞戈非尼治疗生存获益显著
对于接受过化疗联合贝伐的患者,上市后真实世界数据显示
瑞戈非尼治疗后的生存获益与III期研究结果一致, 且不断提高

TTF, Time to treatment failure.
1.Van Cutsem E, et al. Ann Oncol 2015;26(Suppl 4):iv118. Abstr 2139; 2. Adenis A, et al. BMC Cancer. 2016;16:412; 3. Gotfrit J, et al. Curr Oncol. 2017 Aug;24(4):234-239; 4. Komatsu Y, et al. J Clin Oncol 35, 2017 (suppl 4S; abstract 721); 5. Lam KO, et al. Postgrad Med J. 2017;93(1101):395-400; 6.Kopeckova K, et al. Target Oncol. 2017;12(1):89-95. 7.Kopeckova K, et al. 2018 ESMO Abstract 463P. 8. Kopeckova K, et al. 2018 ESMO Abstract 468P
2018 ESMO: CORRECT登记分析
接受过贝伐治疗后瑞戈非尼治疗


2019 ASCO GI : CORRELATE亚组分析瑞戈非尼临床疗效不受肿瘤发生部位的影响


2019-02-14CT:
2019-02-15MRI:
2019-05-27 CT:
2019-05-29 MRI:
放疗同步瑞戈非尼 120mg, QD
肺门、肝门区病灶显著退缩
诊疗过程小结:

查看更多