壹生大学

壹生身份认证协议书

本项目是由壹生提供的专业性学术分享,仅面向医疗卫生专业人士。我们将收集您是否是医疗卫生专业人士的信息,仅用于资格认证,不会用于其他用途。壹生作为平台及平台数据的运营者和负责方,负责平台和本专区及用户相关信息搜集和使用的合规和保护。
本协议书仅为了向您说明个人相关信息处理目的,向您单独征求的同意,您已签署的壹生平台《壹生用户服务协议》和《壹生隐私政策》,详见链接:
壹生用户服务协议:
https://apps.medtrib.cn/html/serviceAgreement.html
壹生隐私政策:
https://apps.medtrib.cn/html/p.html
如果您是医疗卫生专业人士,且点击了“同意”,表明您作为壹生的注册用户已授权壹生平台收集您是否是医疗卫生专业人士的信息,可以使用本项服务。
如果您不是医疗卫生专业人士或不同意本说明,请勿点击“同意”,因为本项服务仅面向医疗卫生人士,以及专业性、合规性要求等因素,您将无法使用本项服务。

同意

拒绝

同意

拒绝

知情同意书

同意

不同意并跳过

工作人员正在审核中,
请您耐心等待
审核未通过
重新提交
完善信息
{{ item.question }}
确定
收集问题
{{ item.question }}
确定
您已通过HCP身份认证和信息审核
(
5
s)

规范来了!关注《胃黏膜幽门螺杆菌感染病理组织学专家共识》

2023-10-23作者:论坛报小塔资讯
非原创

胃黏膜幽门螺杆菌(HP)感染是引发胃部疾病的主要危险因素之一,HP也被世界卫生组织(WHO)等列为明确致癌物。目前临床常用的非侵入性法检测HP具有一定的限制性,如无法明确HP定植位置,也可能因其处于休眠期而漏诊或误诊。相较而言,病理学方法检测HP结果更为精准,可了解组织病变情况,并指导后续治疗与预后判断。组织学检测HP方法众多,不同地区、不同医院的病理医师在检测方法的选择上尚存在较大差异。

因此,中华医学会消化内镜学分会病理学组根据我国实际情况制定此共识,旨在规范胃组织标本HP感染的病理诊断,为临床医师提供有关胃黏膜HP感染病理组织学的诊断治疗建议,以提高对疾病的认识和提升疾病治疗效果。

以下为共识意见,供大家参考。

(一)HP感染的病理诊断价值



1.HP感染是胃炎治疗前必检指标,如何做到精准诊断是当前临床科室重点关注的问题。HP的检测目前有无创和有创两种方式,在检测方法的选择上,很大程度上取决于检测的成本和操作性,以及检查是用于感染确诊还是根除治疗决策及疗效判断。(证据等级:A;推荐强度:强;共识水平:100%)

2.目前临床常用的非侵入性法检测HP,具有一定的局限性,如无法明确HP具体位置(是否位于胃部或十二指肠等部位),也可能因HP处于休眠期或药物耐药而漏诊或误诊。(证据等级:A;推荐强度:强;共识水平:100%)

3.临床上,胃镜检查已经成为胃肠道疾病诊断的常规手段,取出的活检组织会送病理科出具相应的病理报告,病理学方法检测HP结果更为精准。2022年意大利胃肠病学和胃肠内镜学会联合意大利消化内镜学会发布的指南中明确指出,组织学是诊断HP的金标准。其优点在于可直接检测到致病菌的位置,可明确HP是否处于休眠期,并可对浅表性胃炎、萎缩性胃炎、肠化生、异型增生及胃癌等病理性改变的病变程度进行评估,对指导后续治疗、预后判断及胃癌的早期诊断等方面具有重要意义。(证据等级:A;推荐强度:强;共识水平:100%)

(二)病理学不同检测方法的差异



1.苏木素-伊红(HE)染色:苏木精-伊红染色(HE染色)是病理诊断中首选的常用方法之一,但该染色中HP菌体和背景均呈蓝紫色,肉眼难以区分,检出的菌体数较少,导致检测HP的敏感度和特异度均不高,敏感度为60%~80%,特异度约75%;另外,受质子泵抑制剂等药物影响,HP可转化成球状形式,导致HE染色无法检测出,易造成假阴性现象,据统计,HE染色导致的假阳性和假阴性可达19%。(证据等级:B;推荐强度:强;共识水平:100%)

2.吉姆萨(Giemsa)染色:Giemsa染色的背景颜色和待检测的HP颜色一致,对比度差,当标本中HP含量很少时,很难被检测出。并且Giemsa染色无法区分球状HP和其他球菌,易导致假阴性结果。此外,传统Giemsa染色检测费用高,耗时长。改良Giemsa染色,虽然染色时间缩短,但仍受炎症程度、菌体密度和菌体活跃程度的影响较大。研究发现Giemsa染色的敏感度跨度较大,当HP菌体较活跃时Giemsa染色的敏感度可达60%~83%,当菌体活跃度下降时其敏感度可降低至33.6%。(证据等级:B;推荐强度:强;共识水平:100%)

3.银染:银染检测中,附着在菌体上的银染颗粒呈棕黑色,背景呈棕褐色,较易区分,但常因银染颗粒太多,与菌体混在一起,造成假阳性结果。研究显示,银染检测HP的假阳性率约为6.9%。此外,银染还存在配制染色液烦琐、需要严格把控染色时间、染色过程中需要使用水浴箱、染色时间较长以及试剂不稳定等缺点。(证据等级:B;推荐强度:强;共识水平:100%)

4.甲苯胺蓝染色:甲苯胺蓝染色中HP和背景均呈蓝色,肉眼难以区分,需在高倍镜下仔细辨认,检测出的菌体数较少。研究显示,该方法检测HP的敏感度约80%,但由于可同时染色其他革兰阴性菌,因此特异度较差。(证据等级:B;推荐强度:强;共识水平:100%)

5.免疫组化染色:免疫组化染色是通过HP的特异性抗体检测组织当中的HP分布,该方法中,着色菌体与组织色差明显,即使在低倍镜下观察,也可见棕褐色阳性信号,且不受菌体活跃度和球形变的影响。多项研究表明,免疫组化染色的特异度、灵敏度及准确率均高于HE、Giemsa、银染和甲苯胺蓝染色,均可达98 %以上。2896例胃活检的单中心诊断结果评估显示,免疫组化染色较Giemsa染色阳性率更高(27.5% 比23.7%),这意味着免疫组化染色敏感度更高,可以提高诊断准确率。与常规HE和改良Giemsa染色相比,免疫组化染色在极少菌体感染的情况下能够准确检测出HP的存在。此外,由于在常规HE切片上,即可有效区分HP与Hh,免疫组化染色的应用,在提高诊断准确率的同时,并不会带来新的误判。(证据等级:B;推荐强度:强;共识水平:100%)

6.免疫荧光染色:免疫荧光染色采用抗原与抗体结合荧光染料定位检测HP,与免疫组化染色具有很好的一致性,有高敏感度与特异度,并可使用该方法检测克拉霉素耐药性。但该检测方法非特异性着色的问题尚未解决,同时需在暗室用荧光显微镜观察,且无法长期保存标本。(证据等级:B;推荐强度:强;共识水平:100%)

7.PCR-荧光探针法:PCR-荧光探针法检测HP具有简单、准确、快速、自动化、高效等优点,准确的引物设计和正确的基因选择是qPCR反应成功的关键。但其无法与组织形态学相结合,且可能存在敏感度过高的现象。结果的准确性很大程度上还取决于实验人员的操作、仪器、反应试剂和分析数据所用软件的选择。此外,qPCR还存在较多不便之处,如使用的材料在提取DNA前要超低温保存和运输、原材料不能长期保存、微生物DNA提取试剂盒费用昂贵、提取的DNA保存不当会影响实验结果等。(证据等级:B;推荐强度:强;共识水平:100%)

不同病理方法学检测HP对比分析见表1。

表1 不同病理方法学检测幽门螺杆菌(HP)对比分析

(三)HP病理诊断内容



HP感染胃黏膜是需要根除治疗的病理学依据。

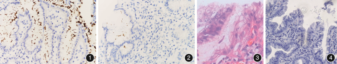
1.确定HP定植位置:如前所述,综合HP病理诊断方法的优缺点,众多病理诊断方法中,首推免疫组化染色。该方法具有定位可靠、判断准确、简单易学、可重复性强等优点(图1)。

图1 免疫组化染色示胃黏膜上皮细胞表面幽门螺杆菌(HP)成堆出现(克隆号MX014 HP抗体)×200;图2 免疫组化染色胃黏膜上皮细胞表面小球状幽门螺杆菌(HP)散在(克隆号MX014 HP抗体)×200;图3 HE染色显示胃黏膜表面黏液内幽门螺杆菌(HP)伴上皮细胞坏死脱落及增生 ×200;图4 免疫组化染色在胃黏膜上皮细胞增生背景中发现幽门螺杆菌(HP)(克隆号MX014 HP抗体)×200

抗生素和质子泵抑制剂等的广泛应用,导致日常所遇标本中HP数量减少,并可表现为球形特征,更可能隐藏于小凹深处、腺体深部,甚至迁移到胃近端。基于形态观察的HE染色、甲苯胺蓝染色和银染等难以判断球状HP及胃上皮和间质中的少量HP,而基于抗原抗体特异性结合的免疫组化染色,除了能够容易地观察到小凹腺腔及黏膜表面中少量的HP外(图2),还可以观察到间质中及上皮细胞内的HP菌体及变形的HP。(证据等级:B;推荐强度:强;共识水平:100%)

2.确定胃黏膜出现表面上皮及腺上皮细胞的损伤与增生:HP感染胃黏膜后导致病理性损伤,首先要突破表面上皮、腺上皮的屏障,表现出上皮细胞退变、坏死、脱落以及修复性增生等病理组织学变化(图3、4)。这是判断是否需要根除治疗的基础。(证据等级:B;推荐强度:强;共识水平:100%)

3.评估胃黏膜炎症反应程度:表面上皮的屏障破损后,HP相关毒素释放导致机体相应的炎症反应属于继发性病理改变,对于病变程度的评估具有参考意义(表2)。(证据等级:B;推荐强度:强;共识水平:100%)

表2 HP阳性患者胃黏膜炎症反应程度组织学表现与是否选择根除治疗的对应关系


(四)胃黏膜HP阳性与病理组织学对应关系



1.免疫组化染色结果分级:观察胃黏膜黏液层、表面上皮、小凹上皮和腺上皮表面的HP,对有肠化的胃黏膜标本仅根据非肠化部位进行观察评估。(1)无:染色片上未见HP;(2)轻度:偶见或小于标本全长1/3有少数HP;(3)中度:HP分布超过标本全长1/3而未达2/3或连续性、薄而稀疏地存在于上皮表面;(4)重度:HP成堆存在,基本分布于标本全长。(证据等级:B;推荐强度:强;共识水平:100%)

2.免疫组化染色结果菌体形态评估:(1)螺旋形:在胃黏膜上皮细胞表面常呈典型的螺旋状、弧形或杆状;(2)非螺旋形:在胃黏膜上皮细胞表面呈球状。(证据等级:A;推荐强度:强;共识水平:100%)

3.HP阳性是否选择根除治疗的病理组织学对应关系见表3。(证据等级:B;推荐强度:强;共识水平:100%)

表3 幽门螺杆菌(HP)阳性是否选择根除治疗的病理组织学对应关系


(五)病理报告内容和规范



1.一般项目:(1)病理号(检索号);(2)患者姓名、出生年月(年龄)、性别、床位号、住院号;(3)手术日期、病理取材日期。(证据等级:A;推荐强度:强;共识水平:100%)

2.标本情况:(1)标本类型(胃镜活检或手术标本);(2)取材位置(胃、十二指肠等)。(证据等级:A;推荐强度:强;共识水平:100%)

3.组织病理学诊断内容:(1)炎症程度(上皮细胞破损/增生,炎细胞浸润,如中性粒细胞、淋巴细胞、浆细胞);(2)菌体形态应注意区分HP和Hh,Hh也呈典型的螺旋状外观,但有4个以上的螺旋,与HP典型的弯曲、杆状或短螺旋形态相比,其具有长(4~10 μm)、直、紧密盘绕的形态。(证据等级:A;推荐强度:强;共识水平:100%)

4.免疫组化:(1)HP阴性(-);(2)轻度阳性(+);(3)中度阳性(++);(4)重度阳性(+++)。请参照前述免疫组化染色结果分级。(证据等级:A;推荐强度:强;共识水平:100%)

5.病理科医师签名、日期。(证据等级:A;推荐强度:强;共识水平:100%)



内容节选自《胃黏膜幽门螺杆菌感染病理组织学专家共识》



好文推荐


▶ 肠镜检查漏诊主要体现在这些地方,身为消化科医生的你知道吗?

▶ 简单三步丨认识并控制脂肪肝

▶ EMR和CSP——内镜医生必备的基本技术

▶ 自身免疫性胃炎的内镜和病理诊断要点

▶ 从腹泻到肠道功能紊乱

▶ 反流性食管炎的联合用药方案

▶ 急性胰腺炎诊疗常规

▶ 肝门静脉解剖


200 评论

查看更多