查看更多
密码过期或已经不安全,请修改密码
修改密码
壹生身份认证协议书
同意
拒绝
同意
拒绝
同意
不同意并跳过
作者:周 涵1 余雅真1 张 薇2 徐 峰1 张 炯1
DOI:10.3969/j.issn.1006-298X.2025.05.003
[基金项目] 江苏省卫生健康委科研重点项目(K2024051);东部战区总医院临床专硕研究课题(22LCYY-XH7)
[作者单位] 1南京医科大学金陵临床医学院(东部战区总医院) 硕士研究生(周 涵) 国家肾脏疾病临床医学研究中心(南京,210016);2放射诊断科
[通信作者] 张 炯(E-mail:jiongzhang@live.com)
摘 要 目的:探索功能磁共振体素内不相干运动(IVIM)序列对肾病综合征(NS)患者肾组织水肿的映射识别能力。 方法:回顾性研究2015年6月至2024年12月就诊于国家肾脏疾病临床医学研究中心的NS患者35例(原发病包括微小病变肾病、局灶节段性肾小球硬化、膜性肾病),并选取非NS表现的IgA肾病患者25例作为对照组。所有患者均完成24 h尿蛋白定量、血生化、肾功能、肾脏B超、肾活检病理及肾脏磁共振检查,收集IVIM序列数据[包括标准表观弥散系数(sADC)、纯水分子扩散系数(D)、伪扩散系数(D*)、灌注分数(f)参数]。分析比较两组患者临床、病理及影像学指标的差异特征。 结果:两组患者肾功能无差异,与对照组相比,NS组患者左肾长径增大(114.23±6.05 mmvs106.96±7.18 mm,P<0.001),肾组织水肿程度升高[1(1,2) 分vs0(0,0) 分,P<0.001];对比IVIM序列参数,NS组患者肾脏皮质[2.12(1.95,2.33) ×10-3mm2/svs1.98(1.78,2.17) ×10-3mm2/s,P=0.013]、髓质[1.96(1.87,2.21) ×10-3mm2/svs1.85(1.81,2.02) ×10-3mm2/s,P=0.018] sADC值显著高于对照组,皮质[3.25(1.54,16.56) ×10-3mm2/svs10.87(7.59,14.36) ×10-3mm2/s,P=0.021]和髓质[4.81(1.72,14.90) ×10-3mm2/svs13.80(8.33,20.33) ×10-3mm2/s,P=0.011]D*值则明显低于对照组;两组患者肾脏D、f值则无统计学差异。结论:NS患者肾组织IVIM-sADC值显著升高,D*值显著降低,提示该类序列参数有望表征NS患者肾实质水肿程度。
关键词 肾病综合征 体素内不相干运动 肾间质水肿
ZHOU Han1, YU Yazhen1, ZHANG Wei2, XU Feng1, ZHANG Jiong1
1National Clinical Research Center for Kidney Diseases, Jinling Clinical Medical College, Nanjing Medical University, Nanjing210016, China
2Department of Radiology, Jinling Clinical Medical College, Nanjing Medical University, Nanjing210016, China
Corresponding author:ZHANG Jiong(E-mail:jiongzhang@live.com)
ABSTRACTObjective:To explore the mapping and recognition ability of the intravoxel incoherent motion (IVIM) sequence for renal edema in patients with nephrotic syndrome (NS).Methodology:A retrospective study was conducted on 35 patients with NS (including minimal change nephropathy, focal segmental glomerulosclerosis, membranous nephropathy) in the Department of Nephrology of the eastern theater general hospital, and 25 patients with IgA nephropathy (without NS) were selected as the control group from June 2015 to December 2024. All patients completed 24-hour urine protein quantification, blood biochemistry, renal function, renal B-ultrasound, renal biopsy pathology and renal magnetic resonance imaging, and IVIM sequence data [including standard apparent diffusion coefficient (sADC), pure water diffusion coefficient (D), pseudo-diffusion coefficient (D*), perfusion fraction (f) parameters] were collected. The differences of clinical, pathological and imaging indexes between the two groups were analyzed and compared.Results:There was no difference in renal function between the two groups. Compared with the control group, the left renal length (114.23±6.05mmvs106.96±7.18 mm,P<0.001) and the degree of renal edema[1.00(1.00,2.00) pointsvs0(0,0) points,P<0.001] increased in the NS group. Compared with IVIM sequence parameters, the sADC values of renal cortex[2.12(1.95,2.33) ×10-3mm2/svs1.98(1.78,2.17) ×10-3mm2/s,P=0.013] and medulla[1.96(1.87,2.21 ×10-3mm2/svs1.85 (1.81, 2.02) ×10-3mm2/s,P=0.018] in NS group were significantly higher than those in the control group . and the cortical[3.25 (1.54, 16.56) ×10-3mm2/svs10.87 (7.59, 14.36) ×10-3mm2/s,P=0.021] and medullary[4.81(1.72, 14.90) ×10-3mm2/svs13.80 (8.33, 20.33) ×10-3mm2/s,P=0.011] D*values were significantly lower than those of the control group. There was no significant difference in renal D and f values between the two groups.Conclusion:The IVIM sADC value of renal tissue in NS patients was significantly increased, and the D* value was significantly decreased, which shows promise for characterizing the degree of renal parenchymal edema in NS patients.
Key words nephrotic syndrome intravoxel incoherent motion renal interstitial edema
肾病综合征(NS)的特征是大量蛋白尿、低白蛋白血症、水肿、高脂血症,通常肾脏体积肿大,肾脏中组织间隙水肿、微循环容量减少等[1]。弥散加权成像(DWI)和体素内不相干运动(IVIM)是近年来新兴的功能磁共振(fMRI)序列,可观察组织微观结构特征,如组织水分子分布特征,实体组织的微循环灌注,以及组织纤维化程度等[2],在中枢神经、肿瘤等领域可有效鉴别组织水肿、炎症和缺血性改变,如表观扩散系数(ADC)的降低反映脑梗急性期皮质区的细胞毒性水肿,灌注分数(f)的降低可反映脑组织的微循环缺血[3-4];ADC值的高低可区分不同类型的瘤周水肿[5];双指数DWI还可区分前列腺良性增生病变和前列腺炎性水肿[6]。对肾脏疾病的研究主要集中于肾组织纤维化病变的识别诊断[7-9]。本研究利用回顾性队列数据,分析IVIM序列在肾脏水肿性病变中的差异性特征。
研究对象 回顾性收集2015年6月至2024年12月就诊于国家肾脏疾病临床医学研究中心的NS患者。纳入标准:(1)临床表现为NS且肾活检诊断为微小病变肾病(MCD)、局灶节段性肾小球硬化(FSGS)、膜性肾病(MN)的患者;(2)在肾活检同期完成fMRI扫描;(3)患者在肾穿刺前后及功能磁共振扫描期间均无深静脉血栓及肾脏微血管血栓事件发生。排除标准:诊断为慢性肾脏病(CKD)3期及以上的患者。对照组选取同时间段临床表现为非NS范围内蛋白尿且肾活检诊断为IgA肾病的患者。所有患者肾组织活检和功能影像学检查均符合医学伦理要求(伦理编号2024DZKY-053-01),并签署知情同意书。
临床数据资料 收集患者一般资料及肾活检期间尿蛋白定量、血清肌酐、血清白蛋白等数据。肾功能使用估算的肾小球滤过率(eGFR)评估(CKD-EPI公式)。
fMRI成像数据采集 患者禁食、禁饮4~6 h后采用GE公司3.0Tesla MRI仪(型号:750)行IVIM序列扫描。
IVIM使用单次激发平面回波成像序列,具体参数:回波时间(TE)87 ms,重复时间(TR)3 500 ms,矩阵大小为224×128,视野38 cm×30.4 cm,层厚6 mm,层间距1 mm,扫描层数为15层。共使用11个b值进行弥散信号采集,分别是0、10 s/mm2、30 s/mm2、50 s/mm2、70 s/mm2、100 s/mm2、150 s/mm2、200 s/mm2、400 s/mm2、800 s/mm2、1 000 s/mm2。呼吸触发扫描,扫描时间与呼吸频率有关,呼吸频率为20次/min,时间约为4 min。
IVIM图像处理 使用Functool软件包的MADC软件对患者的原始图像进行后处理。选取左侧肾脏上、中、下极共三个层面勾画感兴趣区域(ROI),每一层手动勾画1个覆盖皮质区域的ROI,并使用圆形工具勾画3个同样大小的髓质区ROI,每个ROI都尽量避开囊肿和伪影区域。将所有b值纳入单指数模型可得到标准ADC(sADC):Sb/S0=exp(-b×sADC),其中b为梯度因子,Sb为给定b值时的信号强度,S0为b=0时的信号强度。然后使用IVIM双指数模型计算组织的纯水分子扩散系数(D)、伪扩散系数(D*)、灌注分数(f),公式为:Sb/S0=(1-f)×exp(-b×D)+f×exp(-b×[D*+D]),首先通过b>200的b值计算出D,继而计算出D*和f。计算左肾三个层面皮质、髓质区ROI的平均值作为左肾皮、髓质的sADC、D、D*、f值(为保持数据一致性,fMRI分析采用左肾数据)。
肾脏超声 采用LOGIQ E9超声诊断系统(GE,美国),因患者肾活检部位为左肾,为保持数据一致性,肾脏体积分析采用左肾长径数据(肾脏肿大一般为均质性,其长径可反映体积变化)。
肾活检组织病理学 患者在完成fMRI扫描3 d内接受超声引导下经皮肾活检穿刺术,收集患者肾组织活检病理的球性硬化比例、间质纤维化和水肿程度的数据。
肾间质纤维化评估使用《Image J》软件对Masson-Trichrome染色后的肾组织进行图像分析,量化肾活检组织皮质区纤维化程度。肾间质水肿程度评估[10]:采用半定量方法,根据活检组织间质水肿面积占皮质面积比例分为无(0%,评分 0 分)、轻度(1%~25%,评分 1 分)、中度(26%~50%,评分 2 分)和重度(>50%,评分 3 分)4个等级。
统计学方法 应用《SPSS 25.0》软件进行统计分析,《Graphpad prism(10.1.2版)》用于绘图。正态分布的计量资料用均数±标准差表示,偏态分布的计量资料用中位数(四分位间距)表示,计数资料用频数和频率表示。计量资料组间比较采用独立样本t检验或Mann-Whitney U检验,计数资料组间比较采用χ2检验,等级资料组间比较采用秩和检验,肾间质水肿与临床、影像指标间关系采用Spearman等级相关分析。所有检验均为双侧检验,P<0.05为差异有统计学意义。
一般情况 最终纳入患者60例,NS组35例(包括FSGS 14例、MCD 8例、MN 13例)和对照组25例。两组患者年龄和性别构成无统计学差异。
与对照组相比,NS组24 h尿蛋白定量明显升高,血清白蛋白显著降低;左肾长径明显增大;肾组织水肿程度明显升高(P均<0.001)。两组的eGFR、肾小球球性硬化和肾间质纤维化比例无统计学差异(表1)。
表1 两组患者临床及病理资料
eGFR:估算的肾小球滤过率
fMRI参数特征 NS组患者的肾脏皮质[2.12(1.95,2.33) ×10-3mm2/svs1.98(1.78,2.17) ×10-3mm2/s,P=0.013]、髓质[1.96(1.87,2.21) ×10-3mm2/svs1.85(1.81,2.02) ×10-3mm2/s,P=0.018]sADC值明显高于对照组,皮质[3.25(1.54,16.56) ×10-3mm2/svs10.87(7.59,14.36) ×10-3mm2/s,P=0.021]和髓质[4.81(1.72,14.90) ×10-3mm2/svs13.80(8.33,20.33) ×10-3mm2/s,P=0.011] D*值则明显小于对照组,皮、髓质差异类似;同时,两组患者的皮质、髓质D、f值未见统计学差异(表2)。从两组患者典型的肾脏fMRI伪彩图可以看出,与对照组相比,NS组患者肾脏较高的sADC值表现为红色的高信号区域,显示出较高的组织间隙含水量,较低的D*值则表现为蓝绿色的低信号区域,表示较少的肾血流量(图1)。
图1 两组患者典型的肾脏功能磁共振图像
NS:肾病综合征;sADC:标准表观弥散系数;D:纯水分子扩散系数;D*:伪扩散系数;f:灌注分数
表2 两组患者肾脏磁共振检查指标
sADC:标准表观弥散系数;D:纯水分子扩散系数;D*:伪扩散系数;f:灌注分数
肾间质水肿与临床、影像指标相关性 NS组患者的肾间质水肿程度与血清白蛋白水平呈负相关关系,与左肾长径呈正相关关系;同时,与IVIM序列sADC值呈正相关,与D*值呈负相关(表3)。
表3 肾病综合征组患者肾间质水肿程度与临床、影像指标的Spearman相关性分析
sADC:标准表观弥散系数;D:纯水分子扩散系数;D*:伪扩散系数;f:灌注分数
近年来,除了脑神经和肿瘤诊断领域的广泛应用,功能磁共振在肾脏疾病临床应用也有探索,如DWI可识别并评估CKD患者肾脏的间质纤维化程度[7-9],IVIM可无创评估移植肾的功能[11],动脉自旋标记(ASL)和弥散张量成像(DTI)可区分正常人和糖尿病肾病患者的肾脏特征[12]等,但这些研究主要基于fMRI对肾组织纤维化病变的识别能力,对于临床常见的肾组织水肿、微循环变化等病理生理改变仍缺少相关数据。因此,本研究选取NS患者作为观察对象,分析了IVIM序列对其肾组织水肿及微循环变化的识别能力。本研究发现,IVIM-sADC、D*序列能够识别肾间质血管源性水肿的病理生理特征。
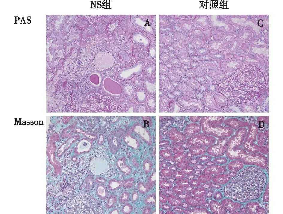
NS患者的肾脏病变显著,解剖可见其颜色苍白、体积肿胀,俗称“大白肾”,肾活检可进一步观察其微观病理生理改变:足细胞及基膜病变导致肾小球滤过屏障受损,大量蛋白从尿液中丢失,血浆胶体渗透压下降,导致组织间隙水肿、有效循环血量减少,肾血流量下降、尿量减少,促进醛固酮和抗利尿激素分泌致水、钠潴留,再次加重肾脏水肿[13],光镜下可见水肿液积聚于小管间质,PAS染色为无色透亮空白区(图2A),Masson染色则为浅绿色区域(图2B)。本研究NS组患者左肾体积明显增大,肾组织水肿程度升高;而对照组患者肾脏体积相对较小,病理生理改变主要为固有细胞或炎症细胞浸润,肾小球、间质细胞外基质含量增多导致的纤维化病变(图2C、D),未见明显组织水肿。
图2 两组患者典型的肾组织病理特征
NS:肾病综合征;A、B:NS患者光镜下肾间质水肿液的积聚,PAS染色为无色透亮空白区(A:×200),Masson染色为浅绿色区域(B:×200);C、D:对照组患者可见少量系膜、间质的增生,PAS染色为紫红色(C:×200),Masson染色为蓝绿色(D:×200),未见明显组织水肿
DWI是一种检测组织水分子运动的fMRI序列,利用单指数模型计算的ADC可量化水分子的组织扩散速度,但DWI也有局限性——不能区分水分子真性扩散和微循环灌注效应,肾脏作为一个高滤过、高灌注的器官,其生理过程会对ADC值产生干扰,如纤维化肾脏ADC下降受到间质纤维化和肾脏灌注下降的双重影响[14]。为突破这种局限性,IVIM序列使用双指数模型得到区分评估水分子扩散和微循环灌注的系列参数[15]:sADC近似于DWI-ADC,D提示细胞密度或细胞膜完整性,D*提示毛细血管血流速度,f提示组织微血管容量。但有研究提出,肾脏非相干运动不仅与肾小球微循环灌注有关,而且与肾小管、集合管中的原尿流量有关[16]。
基于相关理论,对原位肾研究发现,CKD患者肾脏的sADC、f值与间质纤维化程度呈负相关[8],且ADC值与肾功能变化相关[17];肾脏D、f值还可无创评估IgA肾病患者的肾功能和牛津分型[18];糖尿病肾病患者肾皮质ADC、f值低于健康人群[12]。在移植肾方面,肾皮质ADC和D*值可作为移植肾功能评估的早期标志物[11]。可见IVIM对肾组织纤维化病变具有敏感、准确的识别能力,故该类序列能否识别肾脏其他类型病变值得探索。本研究以NS患者为研究对象,观察IVIM序列对其肾组织水肿病变的识别能力。
NS患者的病因复杂、病理分型多样,为减少观察对象的异质性,我们选取临床常见且典型的原发性NS患者(病理类型为FSGS、MCD、MN,病理表现为肾小球足细胞及基膜病变)作为研究组;并选取临床表现为非大量蛋白尿、病理表现为系膜细胞增生和基质增多的IgA肾病患者作为对照组。对比分析两组患者的数据发现:两组患者的肾脏慢性化病变程度未见组间差异,同时其肾脏皮质、髓质D和f值无差异,与D、f值识别肾间质纤维化病变的意义一致。但与对照组相比,NS患者组的肾间质水肿程度明显升高,肾脏皮质、髓质sADC值显著升高,D*值显著下降,且其肾间质水肿程度与sADC、D*值均有显著相关关系。理论上ADC和D*值反映的是组织水分子扩散及血流灌注的速度,该组患者肾脏病理生理特征为组织间隙血管源性水肿和微循环血量下降,这使得组织间细胞间隙扩大、水分子扩散加快,sADC值升高;同时,肾小球血流量和肾小管滤液流量的双重下降,使得D*值明显降低,与肾脏病理及磁共振参数变化对应一致。
NS的组织水肿与脑转移瘤的瘤周水肿类似,脑转移瘤为膨胀性生长,瘤周无肿瘤细胞浸润,仅为肿瘤因子引起的单纯血管源性水肿,细胞外间隙增加、水分子弥散加剧,ADC值升高;但高级别脑胶质瘤则表现为肿瘤细胞侵袭正常组织引起的瘤周浸润性水肿,肿瘤细胞胞核大、浆液少且排列紧密,细胞外间隙缩小,水分子弥散受限,ADC值降低[5]。同样,在脑梗死急性期,皮质神经元及胶质细胞因缺血缺氧发生细胞毒性水肿,细胞外间隙缩小,ADC值明显降低,如未及时治疗,持续缺血可致血脑屏障受损而引起血管源性水肿,ADC值升高[3,19]。故ADC值可识别不同类型水肿病变,且这种识别能力在脑神经、肿瘤及肾脏组织中均得到验证。
同时,NS发病时症状严重且极易复发并反复迁延,肾组织水肿、缺血等病变与其预后密切相关,但临床实践中难以通过反复肾活检明确病情变化,本研究验证了IVIM序列识别肾组织水肿等病变的能力,未来或可作为一种无创监测手段,为判断NS患者病情变化、疗效及预后等提供理论依据。
本研究的局限性在于缺少正常人的肾脏作为对照组,同时缺少足够的样本量以进一步量化肾组织水肿特征对应的fMRI参数变异范围。
综上所述,NS患者肾组织IVIM-sADC值显著升高,D*值显著降低,提示该类序列参数有望表征NS肾实质的水肿和微循环异常性病变。
参考文献
[引用本文]周涵、余雅真、张薇、徐峰、张炯. 功能磁共振体素内不相干运动序列参数与肾病综合征患者肾组织水肿的研究[J]. 肾脏病与透析肾移植杂志, 2025, 34(5): 415-420.
ZHOU Han, YU Yazhen, ZHANG Wei, XU Feng, ZHANG Jiong. Intravoxel incoherent motion sequence for characterization of kidney interstitial edema due to nephrotic syndrome[J]. Chinese Journal of Nephrology, Dialysis & Transplantation, 2025, 34(5): 415-420.

查看更多