查看更多
密码过期或已经不安全,请修改密码
修改密码
壹生身份认证协议书
同意
拒绝
同意
拒绝
同意
不同意并跳过
66岁老年男性,主诉发现肺部阴影1月余,咳嗽伴胸闷1月余。
2023年8月30日当地体检胸部CT提示双肺散在斑片影,彼时患者无咳嗽咳痰、胸闷气促、畏寒发热等呼吸道症状。8月30日至9月7日,患者入住上海某三甲医院,接受莫西沙星联合哌拉西林抗感染治疗,但肺部阴影吸收不明显。同时完善细胞免疫、自身抗体等检查,结果均正常。9月5日行支气管镜检查,镜下未见明显异常,外送NGS提示结核分枝杆菌阳性,结核分枝杆菌序列数245条,据此当时诊断为肺结核,建议转至结核病定点医院进行抗结核治疗。
2023年9月14日至9月19日,患者入住上海市某三甲专科医院(结核病定点医院)。入院后完善风湿免疫全套检查,结果阴性,同时隐球菌、结核T-SPOT.TB及Xpert检测均为阴性。9月15日再次行支气管镜检查,气管及各级支气管黏膜未见明显异常,病理未见恶性肿瘤细胞,Xpert MTB/RIF检测未检出结核分枝杆菌,外院支气管肺泡灌洗液送NGS检测仍提示结核分枝杆菌序列数245条。9月19日起,结核病定点医院给予患者四联诊断性抗痨治疗,并建议出院后1个月随访复查。
2023年10月1日,患者出现咳嗽,为刺激性干咳,无咳痰,伴活动后胸闷气促加重,无伴随畏寒、寒战盗汗、腹痛腹泻等症状。10月7日到10月23日,患者再次入住上海三甲专科医院(结核病定点医院),予以吸氧,再次完善支气管镜检查,镜下见两侧管腔较多泡沫黏痰,吸除后未见明显黏膜异常,遂进行灌洗。10月10日BALF宏基因组测序提示肺炎支原体感染,序列数12590条,且大环内酯类耐药,多次痰查脱落细胞均未见恶性肿瘤细胞,肿瘤标志物等均正常。结合宏基因组测序提示支原体感染,予莫西沙星联合多西环素抗感染,同时甲强龙抗炎治疗。考虑重症肺炎,动脉血气示Ⅱ型呼吸衰竭,不除外真菌感染,治疗过程中加用卡泊芬净抗真菌治疗。然而,患者经上述治疗后,症状未缓解,仍进行性加重。
2023年11月8日为行进一步诊治转至我院。入院时患者咳嗽、咳白黏痰为主,伴胸闷、气促,活动后加重,无畏寒、发热,无胸痛,无咯血,无头晕、头痛,无腹痛、腹泻,无恶心、呕吐。自患病以来,精神软,胃纳可,睡眠可,大便通畅,小便正常,近期体重无明显变化。

新冠感染共1次 (2022.12),接种3针疫苗。2023.07上旬接种肺炎疫苗。
配偶罹患“肺结核”,目前抗结核已半年(2023.03-2023.10),已停药2周余。
查体:

实验室检查:



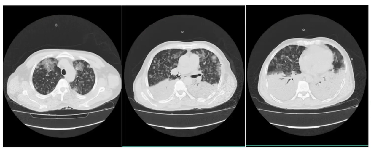
2023年8月30日胸部CT(外院):

2023年9月15日胸部CT(外院):

2023年10月31日胸部CT(外院):

胸部CT(本院):两肺散在磨玻璃影。

病理检查:未见恶性肿瘤细胞,表现为少量灶性炎症病变。

11.10外送血检肺癌65基因:未检测到基因突变。
多次痰找脱落细胞均未见明确肿瘤细胞。
(1)初步诊断思考
1)肺结核?

2)OP?

3)RP-ILD(MDA5等)?

4)黏液腺癌?

(2)初步治疗
入院后予以Highflow改善氧合,间断俯卧位通气。先后予以美罗培南针1.0静滴q12h(11.08-11.26),头孢他啶针2.0静滴bid(12.01-12.18)、莫西沙星针0.4静滴qd(12.03-12.18)抗感染。甲泼尼龙针抗炎,静注人免疫球蛋白 (pH4)20g(1.10-11.13)调剂免疫治疗。那屈肝素钙抗凝、抑酸护胃等对症治疗。期间患者Highflow参数渐进性上调,氧合渐进性持续恶化,病情渐进性加重。
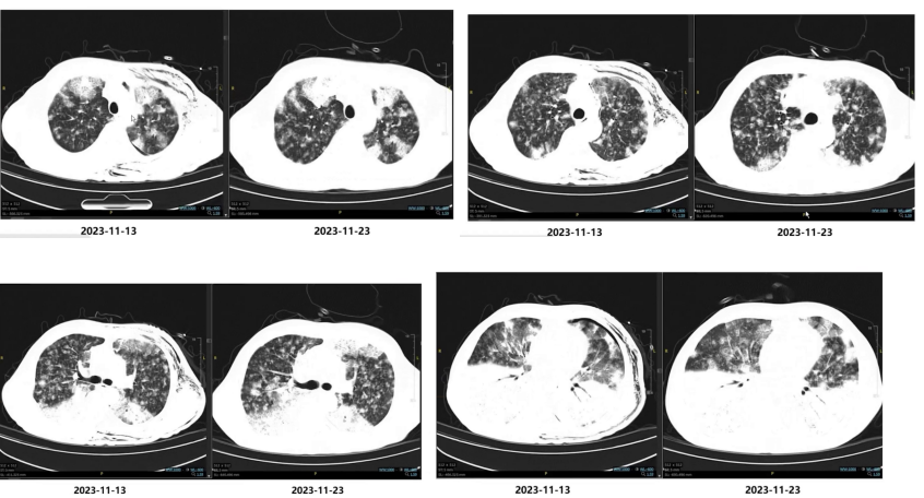
(3)随访影像学变化

(4)查体发现异常
再次仔细查体,左侧颈部触摸一个可疑淋巴结,完善浅表淋巴结B超,提示“左侧颈根部颈动脉旁见10mm×7mm低回声团块,未见淋巴门结构,CDFI未见明显彩色血流”。
(5)病理活检
2023.11.23行超声引导下左锁骨上淋巴结穿刺活检术。
2023.11.27病理:(左锁骨上淋巴结) 穿刺组织于淋巴组织间见腺管状结构,考虑转移性腺癌,部分肿瘤细胞胞浆内含有黏液,参考其临床病史,结合免疫组织化学结果,考虑肺来源黏液腺癌。
2023.12.06肺癌基因检测:KRAS G12D突变,余均未见突变基因。

(6)更改治疗方案
考虑患者PS评分4分,无法耐受化疗,与患者及家属商议沟通,并告知药物风险及获益后:
2023.12.04开始使用安罗替尼12mg口服,d1-d14抗肿瘤治疗;
2023.12.19加用PD-1单抗200mg d1,q3w抗肿瘤免疫治疗,过程顺利;
2024-01-09予以第2周期PD-1单抗200mg,q3w抗肿瘤免疫治疗。后患者胸闷症状较前改善,Highflow仍高参数维持(温度37℃,氧浓度50%,流速50L/min),复查胸部CT后考虑肺内病灶较前部分吸收,患者病情总体相对稳定,予以出院。
(7)随访
2024.10.15电话随访,病情稳定,目前间断家庭氧疗(鼻导管1-3L/min),可正常进行日常活动。
AE:期间AST、ALT增高,中性粒细胞计数降低,均为1-2级,对症治疗后好转。SAE:暂无。
查看更多
专家点评
本病例为一例诊治过程颇具挑战的黏液腺癌,其诊疗经过为我们提供了多方面的启示。
首先,诊断环节存在难点。支气管肺泡灌洗虽为重要诊断手段,但其微生物学结果需审慎解读,必须紧密结合病原体培养、其他实验室检查及临床特征进行综合判断,避免误导。其次,黏液腺癌在影像学上极易与肺炎混淆,无论是表现为肺结节还是大片实变,均可能导致误诊。因此,对于肺部炎性病变经规范抗感染治疗后仍持续不吸收者,应高度警惕黏液腺癌的可能性。最后,在组织学确诊的策略上,选择合适的活检部位至关重要。对于进展迅速、可能仅有一次活检机会的患者,应通过PET-CT等检查精准定位最有可能获取足量诊断组织的靶点。本例患者初期穿刺阴性,后因病情快速进展错失了经皮肺穿刺的机会,最终得益于细致的体格检查发现锁骨上淋巴结肿大,并经由经验丰富的超声科医生行超声引导下穿刺活检,才得以明确病理诊断。
在治疗方面,该患者属于“重症肺癌”,其特点在于肿瘤负荷大、进展快,但并非不可治疗。呼吸重症团队的前期支持治疗为后续抗肿瘤治疗赢得了机会,是患者能够转危为安的重要基础。针对此例驱动基因阴性的患者,后续采用了免疫治疗联合安罗替尼的去化疗方案。对于体能状态较差的患者,此类去化疗模式可作为重要甚至首选的治疗选择。本例患者对该方案反应良好,取得了积极的疗效。