查看更多
密码过期或已经不安全,请修改密码
修改密码
壹生身份认证协议书
同意
拒绝
同意
拒绝
同意
不同意并跳过
脓毒症的定义为因感染引起的宿主反应失调导致的危及生命的器官功能障碍。该定义可理解为,由病原体(细菌,病毒,真菌,寄生虫等)引起,可发生于不同感染部位,临床表现为危及生命的器官功能障碍(区别于无菌性炎症引起的器官功能障碍)的系统性疾病。由于脓毒症症状的非特异性,常常需与多种疾病进行鉴别。这就给脓毒症早期诊断与治疗带来了巨大的困难。但又因其具有病情凶险、发展迅速和病死率高的特点,使得脓毒症的早期识别、早期预防及早期干预成为改善预后的重要因素。
案例分享
主诉:因“发热伴头痛咳嗽1周余”于2019-07-05 11:25:00入院。
现病史:患者1周前因无明显诱因下出现发热,伴头痛咳嗽,咳少量黄白痰,解黄色稀便3次,未呕吐,胃纳欠佳,自行至药店服用药物(具体不详),自述数日进食少,今日120急救车送至我院就诊,起病来无呕吐抽搐。
既往史:既往体健。有蚊虫叮咬史。发病前3天有吃小龙虾、烧烤史;发病前10余天有节食减肥史。120医生诉可疑笑气吸入(患者否认)。
个人史:工人,否认疫水疫源接触史,否认粉尘、毒物、放射性物质接触史,否认吸烟史,否认饮酒史。否认冶游史。
家族史:否认家族遗传病史。否认家族中有结核、肝炎等传染病。否认家族肿瘤病史。
T:40.6℃,P:157次/分,BP:72/50mmHg
神志清醒,精神软,巩膜黄染,全身浅表淋巴结无肿大,颈软,颈静脉无充盈与怒张,气管居中,双侧甲状腺无肿大。
胸廓正常,无肋间隙增宽,双肺叩诊清音,左下肺呼吸音低,未闻及干湿啰音,未闻及哮鸣音,心界叩诊无扩大,节律齐,心音正常,无杂音。
腹部平坦,有腹部压痛,无腹部反跳痛,肝脏未触及,脾脏未触及,Murphy’S征阴性,肠鸣音正常。
急诊生化类:尿酸927.2 μmol/L,肌酐171.1 μmol/L,尿素17.1 mmol/L,白蛋白29.7 g/L,TBIL90.8 μmol/L,ALT 122 U/L, AST 598 U/L,ALP 206 U/L,肌酸激酶9918 U/L,CKMB 84 U/L。
肌钙蛋白:TNI0.08 μg/L。
血常规+ CRP:WBC 3.9×10^9/L,NE% 81.0%, LY% 17.3%, MO 1.6%, PLT 34×10^9,CRP>220 mg/L。
呼吸道病原体三联检:乙型流感病毒抗原:弱阳性。
血气分析:pH7.479,PaO2 143.6 mmHg,PaCO2 24.6 mmHg,BE-3.93 mmol/L,阴离子间隙16.60 mmol/L,全血乳酸6.0 mmol/L,凝血类:PT 15.0 s,INR 1.27,活动度 60%,FIB 6.0 g/L,APTT 39.0 s,D-D3.43 mg/L。
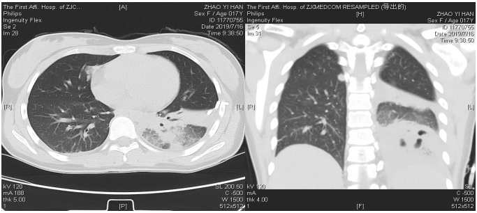
胸部CT:两肺多发斑片状及结节状高密度影,考虑炎性病灶,真菌类感染可能。
头颅CT:平扫未见明显异常。左侧上颌窦囊肿。

年青女性,既往无基础疾病,急性起病;
高热、低血压、血小板减少;
感染血象;
肝损害、心肌损害、肾损害;
影像学见肺部感染病灶;
病前有可疑不洁食物、可疑笑气吸入史。
肺部感染的病原体是病毒?细菌?真菌?
血液系统疾病、自身免疫疾病?
肝功能不全是否为病毒性肝炎、中毒性肝损伤可能?
肌酶升高是否为病毒性心肌炎、肌炎可能?
肾功不全、血小板下降是否存在流行性出血热?
年轻女性、严重感染,是否存在免疫缺陷?
不洁饮食史,是否存在中毒性菌痢可能?
......
完善相关检查;
美罗培南1g q12抗感染;
支持对症补液等。
高关注度指标:人冠状病毒229E、坏死梭杆菌、龋齿罗斯菌、内氏放线菌;金黄色葡萄球菌、肺炎链球菌、白色假丝酵母。
低关注度指标:人疱疹病毒7型、铜绿假单胞菌、热带假丝酵母、近平滑假丝酵母。
CMV、EB、柯萨奇、单纯疱疹IgG+;
PCT:>60ng/ml;
肿瘤指标铁蛋白917ng/ml;
乙肝表面抗体阳性;
其余包括HIV、痰培养、ANA,心超、白细胞等检查均无异常。








无发热,偶有咳嗽。
查体:左肺呼吸音低。
CT:两肺多发感染性病灶,部分病灶脓肿形成,左肺下叶部分膨胀不全版少量积液。
血常规CRP均正常。
脓毒性休克;
Lemierre综合征。
下次探讨病例背后脓毒症的诊断和治疗思路
作者:浙江中医药大学附属第一医院的感染(肝病)科学术主任 朱肖鸿
本文首发自SIFIC感染视界
查看更多