查看更多
密码过期或已经不安全,请修改密码
修改密码
壹生身份认证协议书
同意
拒绝
同意
拒绝
同意
不同意并跳过

第四节
脑感染性疾病
例4 病毒性脑炎
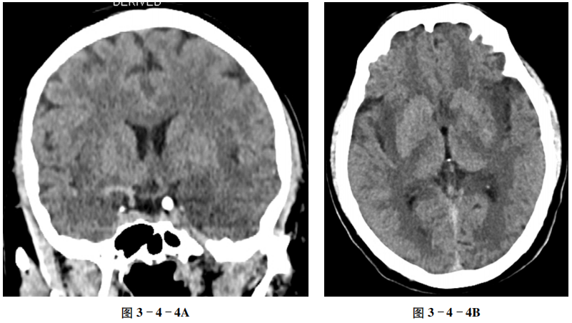
【病史摘要】 男性,46岁。发热9天,意识不清伴频繁抽搐3天。


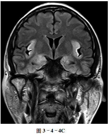
【CT及MRI征象】 CT平扫示双侧颞叶、岛叶片状稍低密度影,边界模糊,局部脑沟变窄(图3-4-4A、B)。MRI T2-FLAIR(液体衰减反转恢复序列)显示双侧病变位于颞叶海马及岛叶,并较对称分布(图3-4-4C)。
【重要征象】 双侧边缘叶稍低密度影,刀切征(与豆状核分界清晰)。
【CT拟诊】 ① 病毒性脑炎。② 弥漫性星形细胞瘤。③ 自身免疫性脑炎。④ 副肿瘤性边缘性脑炎。⑤ 缺血缺氧性脑病。
【最终诊断】 单纯疱疹病毒性脑炎。
【评述】 病毒感染所致的脑炎分为先天性感染和后天性感染两大类。后者主要有单纯疱疹病毒I型脑炎、带状疱疹病毒脑炎等。单纯疱疹病毒I型脑炎好发于单侧或双侧(20%~50%)颞叶、脑岛及额叶眶部。病毒性脑炎在CT上可无异常表现,当出现异常密度时亦多无特异性,诊断必须密切结合临床。
CT表现
① 平扫示脑实质单发或多发斑片状或大片状低密度区,单纯疱疹病毒I型脑炎50%伴有出血,其边缘模糊。
② 可有占位效应,但多较轻。
③ 增强扫描多数有斑片状或脑回状强化,脑膜受累者可出现脑膜强化。
鉴别诊断
① 缺血缺氧性脑病(HIE):成人发病多累及大脑皮质、基底节及丘脑;双侧多对称分布,本例病变主要累及双侧颞叶及岛叶,范围略局限,临床病史也不支持HIE诊断。
② 副肿瘤性边缘性脑炎:多见于小细胞肺癌,以边缘叶受累最常见,大多数为双侧对称性受累,临床以边缘系统受累症状为主,不伴发热。
③ 自身免疫性脑炎:绝大多数容易累及边缘系统,如颞叶、岛叶等,病变边界不清,临床很少表现为发热。
④ 弥漫性星形细胞瘤:好发在额颞岛叶,边界不清,不会出现“刀切征”,临床多以头痛、癫痫为首发症状,慢性起病。
活动页面累计签到4天获半年数字报
活动页面累计签到8天获1年数字报
活动页面累计签到15天同时阅读所有本书荐读章目者获实体书抽奖机会
[抽奖说明:本次活动抽奖名额根据书籍情况不同,本书抽奖限额2名,获奖者免费获赠《CT读片指南》实体书(附赠主编签名照)]

查看更多