壹生大学

壹生身份认证协议书

本项目是由壹生提供的专业性学术分享,仅面向医疗卫生专业人士。我们将收集您是否是医疗卫生专业人士的信息,仅用于资格认证,不会用于其他用途。壹生作为平台及平台数据的运营者和负责方,负责平台和本专区及用户相关信息搜集和使用的合规和保护。
本协议书仅为了向您说明个人相关信息处理目的,向您单独征求的同意,您已签署的壹生平台《壹生用户服务协议》和《壹生隐私政策》,详见链接:
壹生用户服务协议:
https://apps.medtrib.cn/html/serviceAgreement.html
壹生隐私政策:
https://apps.medtrib.cn/html/p.html
如果您是医疗卫生专业人士,且点击了“同意”,表明您作为壹生的注册用户已授权壹生平台收集您是否是医疗卫生专业人士的信息,可以使用本项服务。
如果您不是医疗卫生专业人士或不同意本说明,请勿点击“同意”,因为本项服务仅面向医疗卫生人士,以及专业性、合规性要求等因素,您将无法使用本项服务。

同意

拒绝

同意

拒绝

知情同意书

同意

不同意并跳过

工作人员正在审核中,
请您耐心等待
审核未通过
重新提交
完善信息
{{ item.question }}
确定
收集问题
{{ item.question }}
确定
您已通过HCP身份认证和信息审核
(
5
s)

胃SMT的内镜治疗 | 中日携手・遵医领航⑱

2025-10-13作者:论坛报马山资讯
原创

72c5008d24e925818ec9756bf75ef0f.png

↑↑点击图片进入专题↑↑

亲爱的读者朋友,您的意见对我们非常重要!为了更好地了解您的需求,提升文章内容质量,诚邀您花几分钟参与本次有奖问卷调研。参与者有机会获得精美奖品!

点击填写问卷调研


  • 上期回顾

张华简介.png

PART.01
病史简介


患者女性,45岁。

主诉:腹痛2年,发现胃肿瘤3天。

既往史及个人史:无特殊。

体格检查:无特殊。

辅助检查:凝血功能、肝肾功、电解质等检查未见异常,血常规未见明显异常。


PART.02
入院检查


门诊胃镜检查发现:在胃体上部大弯侧见一黏膜下隆起,表面光滑,直径约1.2 cm,活检钳触之有黏膜下滑动感,考虑间质瘤可能。入院后完善超声内镜检查提示:胃体上部大弯见一低回声病变,切面大小1.1×1.5 cm,边界清晰,内部回声均匀,向腔内外突出,起源于固有肌层,结合中国消化道黏膜下肿瘤内镜诊治专家共识指南,该患者有内镜治疗适应证,无禁忌证,交代手术治疗方案选择及手术风险后进行内镜下治疗。

image.png

image.png


PART.03
手术过程


标记:高频切开刀在肿瘤边缘 5mm 处标记,明确切除范围。

黏膜下注射:在标记点外侧注射 “生理盐水+ 亚甲蓝 + 肾上腺素” 混合液,使黏膜层与固有肌层分离,注射时需分点多次注射,确保黏膜层充分抬起(抬举征阳性)。

切开与剥离:先用高频切开刀切开标记点外侧的黏膜层,再用 IT 刀或 Dual 刀沿黏膜下层缓慢剥离,剥离过程中需保持视野清晰,避开黏膜下血管(遇小血管可直接电凝止血,大血管需用止血夹夹闭后再切断);剥离时若发现肿瘤与固有肌层粘连,需放慢剥离速度,避免误切固有肌层导致穿孔。

本例病变因病变有部分突出胃腔外,需沿肿瘤最深层的边缘切开浆膜,造成“人工穿孔”,进行全层切除病灶及周围组织,术中为避免切除的瘤体落入腹腔,可利用圈套器或抓取钳等方法固定及取出病灶。在全层切开一定的长度后,可以用透明帽的辅助将瘤体尽量推向腔内,使背侧完全显露于视野中,在内镜直视下从浆膜面沿瘤体外侧边缘逐步切除,这样既能保证瘤体包膜的完整性,同时可以在完全直视下处理浆膜面血管,预防瘤体完全游离时落入腹腔。

EFTR 在剥离组织时,已游离的部分会覆盖病灶组织,影响手术视野,增加手术难度,从而增加手术风险,可通过辅助牵引改善 EFTR术中视野,保证在内镜直视下进行有效切除,进而提高手术效率及整体切除率,缩短手术时间。

image.png


创面处理:电凝处理出血部位和裸露血管,特别是靠近浆膜侧血管断端,可以借助透明帽辅助显露浆膜侧。确切处理好周缘的血管断端后,确定无出血或渗血后再进行缝合。根据术后创面的大小选择合适的闭合方法,创面较小可用金属夹,创面较大( 直径>1.5~2 cm) ,可采用尼龙绳钛夹荷包缝合技术。本例穿孔面约1cm,选择金属夹直接夹闭缝合创面。


image.png


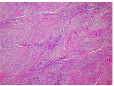
病理结果:提示为梭形细胞肿瘤。


image.png


PART.04
术后管理


术后常规在内镜直视下留置胃管进行胃肠减压。

饮食管理:禁食 48~72 小时,待胃肠功能恢复后(排气、排便),再逐步过渡饮食,2周内避免辛辣、坚硬食物。

药物治疗:术后常规给予 PPI口服 4~8 周,抑制胃酸分泌,促进创面愈合; 若术后出现腹痛,可给予解痉药物,避免使用非甾体类固醇药,防止刺激创面。


SMT在消化道各部位的发病率不均衡,胃是消化道SMT最好发部位。SMT的组织病理学类型复杂,但大多为良性病变,仅少部分SMT表现为恶性。常规白光内镜用以观察病变位置、大小、活动度、隆起部位黏膜的色泽、形态、糜烂出血情况,无法提供病变性质和来源相关信息,EUS可以在常规白光内镜的基础上提供病变的内部回声、来源、异质性、生长方式和血管的关系等,可以初步提供病变的良恶性信息;对于肿瘤直径大于2cm病变,可通过CT和MRI对肿瘤进行分级、治疗和预后评估,没有淋巴结转移或淋巴结转移风险极低、使用内镜技术可以完整切除、残留和复发风险低的病变,有治疗必要的均适合进行内镜下切除。完整切除肿瘤可以最大限度地降低肿瘤残留和复发风险。


因此,内镜切除过程中应遵循无瘤治疗原则,切除过程中应保证瘤体包膜完整。根据肿瘤大小,生长方式,病变深度等选择合适的内镜治疗。



明日预告

十二指肠早期癌的内镜治疗 | 中日携手・遵医领航  

作者:遵义医科大学附属医院 刘吉龙 李红平


640?from=appmsg
点击图片返回专题
image.png
200 评论

查看更多